Сабак такырыбы: Гиподинамия. Сымбаттың бұзылуы және жалпақтабандылықтың пайда болу себептері
|
Бөлім: |
Биофизика |
|
|
Педагогтің аты-жөні: |
Базарова Гулжан Бахауиденовна |
|
|
Күн: 6.03.2025 жыл |
Сыныбы : 8 |
Қатысушылар саны: Қатыспағандар саны: |
|
Тақырыбы: |
Гиподинамия. Сымбаттың бұзылуы және жалпақ жалпақтабандылықтың пайда болу себептері |
|
|
Оқу бағдарламасына сәйкес оқу мақсаты |
8.1.6.7 гиподинамия салдарын атау 8.1.6.8 сымбаттың бұзылуы және жалпақтабандылықтың пайда болу себептерін анықтау |
|
|
Сабақтың
мақсаты: |
гиподинамия салдары мен алдын алу шараларын атайды, сымбаттың бұзылуы мен жалпақтабандылықтың пайда болу себептерін анықтайды. |
|
|
Бағалау критериі: |
Гиподинамия салдары мен алдын алу шараларын атайды Сымбаттың бұзылуы және жалпақтабандылықтың пайда болу себептерін анықтайды |
|
|
Ойлау дағдылары |
Орта денгей |
|
|
Құндылықтар |
Шығармашылық зерттеу жүргізу және ғылыми тәсілді қолдану қабілеті; ақпаратты талдау және бағалау; жаңа идеяларды ұсыну; заманауи цифрлық құралдар мен технологияларды меңгеру; |
|
|
Сабақ барысы |
Мұғалімнің әрекеті |
Оқушының әрекеті |
Бағалау |
Ресурстар |
|
|
Сабақтың басы 3 мин |
І. Ұйымдастыру кезеңі: 1. Мұғалімдер шеңбер бойымен тұрады. Екеу ара жұптасады. «Досымның бейнесі»әдісі 2.«Сиқырлы қорапшалар» әдісі арқылы топқа біріктіру |
«Досымның бейнесі»әдісі арқылы жағымды психология- лық ахуал орнатады. 2.«Сиқырлы қорапша» әдісі арқылы оқушыларды топқа бөлінеді. |
Кері байланыс: Мадақтау арқылы бағаланады. |
Слайд Ақ парақ, маркер, сиқырлы қорапша лар |
|
|
5мин |
ІІ Үй тапсырмасы «Ыстық орындық» әдісі
«Стоп кадр» әдісі
|
«Ыстық орындық» тәсілі арқылы үй тапсырмасы сұралады «Стоп кадр» әдісі арқылы суретті талдай отырып тақырып мазмұнын ашады |
Кері байланыс: Мадақтау арқылы бағаланады. «Жарайсың!», «Керемет» «Тамаша жауап»т .б |
Экран |
|
|
Сабақтың ортасы 15 мин |
Мұғалім жаңа тақырып бойынша қысқаша ақпарат береді. Гиподинамия мен гипокинезияның салдары: иммунитеттің төмендеуі, көрудің нашарлауы, остеохондроз, артық салмақ , геморрой, бұлшықеттің гипотрофиясы. 1.Жүрек қантамырлар жүйесінің аурулары 2.Ағзада зат алмасудың бұзылуы, гормондардың дұрыс бөлінбеуі 3.Ағзаның тұздануы острехондроз 4.Омыртқа мен буындардың ауруы 5.Психологиялық стресс,депрессияға бейім болуы 6,Иммундық жүйенің әлсіреуі Алдын алу шаралары: 1.Физикалық белсенділік 2.Ұзақ уақыт бойы отырмау 4.Дұрыс тамақтану 5.Сұйықтықты көп ішу Себептері: 1.Технологиялардың дамуы 2.Отырықшы өмір салты 3.Уақыттың жетіспеушілігі |
Оқушылар мұғалімнің бағыт беруімен жұмыс жасайды. https://egemen.kz/article/365318-gipodinamiya-%E2%80%93-ozekti-masele?utm_source |
Кері байланыс: «Басбармақ » әдісі арқылы беріледі |
А4 парағы Маркер флипчарт |
|
|
|
1-тапсырма: «Графикалық әлем» әдісі Топтық жұмыс Қазақстандағы гиподинамия статистикасы
Сұрақ: 1. Оқушылар сілтемені пайдалану арқылы, Miecroft –та гиподинамия графикалық кескінін алу (Бұл сұрақтар нақты Қазақстандағы гиподинамияның денгейін анықтауға бағытталған) 2. Қазақстанда балалар мен ересектердегі гиподинамия деңгейі арасындағы айырмашылық анықтаңыз. (Бұл сұрақ деректерді салыстырып, балалар мен ересектер арасындағы гиподинамияның айырмашылығын салыстыру арқылы анықтауға бағытталған Әлемдегі және Қазақстандағы гиподинамия деңгейі
3. Қазақстан мен Шведция мемлекеттерін салыстырмалы түрде талдау жасау Швецияда гиподинамияның төмен болу себептері: 1.Белсенді өмір салты 2.Спорт инфрақұрылымы 3.Денсаулықты сақтау жүйесі 2-тапсырма: «Ізденістік,проблемалық» тәсіл Топтық жұмыс
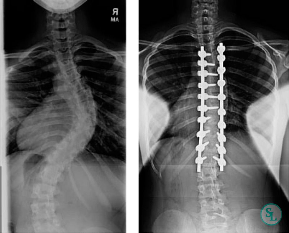
Мәтін: Айгүлдің ұзақ уақыт бойы компьютер алдында отыруынан омыртқа жотасының ауырсынуын сезінетінін айтып, ата-анасына шағымданды. Келесі күні ата-анасы Айгулді дәрігер қарауына апарды. Дәрігер омыртқа жотасының рентгенографиясын жасауды ұсынады.Нәтижесінде денсаулыққа әсер ететін маңызды мәселе бар екені анықталды. Дәрігер, Айгулге арнайы жаттығулар жасап, омыртқа жотасын қалпына қалпына келтіруіне бірнеше дұрыс кеңестер берді. Сұрақ: 1 Білу: Тірек қимыл жүйесі қандай негізгі мүшелерден тұрады?
Дене қалпының дұрыс болмауы тірек-қимыл жүйесіне қалай әсер етеді деп ойлайсыз ? 3 Қолдану: Айгулге омыртқаны нығайтуға арналған қандай жаттығулар ұсынар едіңіз?
4 Талдау: Ұзақ уақыт бойы компьютер алдында дұрыс отырмаудың және бір жақты ауыр жүк көтерудің омыртқаға әсерін талдаңыз ?
Айгулдің жағдайын ескере отырып, омыртқаның қисаюын болдырмау және дене қалпын түзету бойынша ұсыныстар жоспарын құрыңыз? 6. Бағалау: Осы шаралар күнделікті өмірде қолданылса болашақтағы денсаулық пен оқудағы үлгерімге әсері қандай? - Жауапта осы мәселелерді шешуге бағытталған шараларды сипаттаңыз Бұл тапсырмалар оқушылардың денсаулық мәселелеріне назар аударып, өз өмірлерінде дене белсенділігін арттыруға және дұрыс қалыпта отыруға бағытталған іс-шараларды орындау дағдыларын дамытуға көмектеседі.
3-тапсырма: «Ойлан, жұптас, бөліс» Жұптық жұмыс
(
(іі) Жалпақтабандылықтың болу себептерін жазыңдар
|
Жоғарыдағы сілтемеге өтіп, «Miecroft,Excel» бағдарламасы жұмыс жасап, графикалық кескінін құру
Оқушылар деректерге сүйене отырып, гипокинезге шалдыққан ересектер мен балалар және ерлер мен әйелдер арасындағы айырмашылықты салыстыру арқылы анықтайды
https://www.who.int Stat.gov.kz https://stat.gov.kz/ https://www.scb.se Оқушылар деректерге сүйене отырып, гипокинез бойынша Қазақстан мен Шведция мемлекеттеріне салыстырмалы түрде талдау жасайды
Оқушылар рентгенография нәтижесіне қарай дұрыс және ауру түсірімді ажыратады. Дене сымбатының бұзылу себептерін айтады.
Мәтінмен жұмыс Мәтін оқып шығып, «Блум таксаномиясы» бойынша, құрылған сұрақтарға жауап береді 1.Тірек қимыл жүйесі қандай мүшелерден тұратынын айтады 2. Дене қалпының дұрыс болмауы тірек-қимыл жүйесіне қалай әсер ететініне сипаттайды 3.Айгулге омыртқаны нығайтуға арналған бір неше жаттығуларды ұсынады
4. Ұзақ уақыт бойы компьютер алдында дұрыс отырмаудың және бір жақты ауыр жүк көтерудің омыртқаға әсерін талдайды
5. Айгулдің жағдайын ескере отырып, омыртқаның қисаюын болдырмау және дене қалпын түзету бойынша ұсыныстарды жоспарлайды 6.Айтылған шаралар күнделікті өмірде қолданылса, болашақ- тағы денсаулық пен оқудағы үлгерімге әсерін бағалайды
1.Жалпақтабандылықты табады.
2.Жалпақтабандылық тың болу себептерін анықтайды.
|
Дескриптор: 1. «Miecroft, Excel» бағдарламасы арқылы графика кескінін құрады Жалпы балл-1 2. Ересектер мен балалар және ерлер мен әйелдер арасындағы айырмашылықты анықтай алды Жалпы балл-1
3. Қазақстан мен Шведция мемлекеттерін салыстырмалы түрде талдау жасай алды Жалпы балл-1 Дескриптор: рентгенография нәтижесіне қарай дұрыс және ауру түсірімді ажыратады Жалпы балл-1 Дескриптор: 1. Тірек қимыл жүйесінің, мүшелерден атайды Жалпы балл-1 2. Дене қалпының дұрыс болмауы тірек-қимыл жүйесіне әсер етуін сипаттайды Жалпы балл-1 3.Омыртқаны нығайтуға арналған бір неше жаттығуларды ұсынады Жалпы балл-1 4.Компьютер алдында дұрыс отырмаудың және ауыр жүк көтерудің омыртқаға әсерін талдайды. Жалпы балл-1
5.Омыртқаның қисаюын болдырмау және дене қалпын түзету бойынша ұсыныстар жоспарлайды Жалпы балл-1 6, Айтылған шаралар шаралар күнделікті өмірде қолданылса болашақтағы денсаулық пен оқудағы үлгерімге әсерін бағалайды Жалпы балл-1 Дескриптор : 1.Жалпақтабандылықты табады. Жалпы балл-1
2.Жалпақтабан дылықтың болу себептерін анықтайды. 1- балл |
Суреттер А4 парағы Маркер флипчарт 2-косымша Тапсырма жазылған парақтар |
|
|
Сабақтың соңы 5 мин |
Сабақты бекіту: «Кім жүйрік» әдісі Жеке жұмыс «Padlet» интерактивті тақтасы арқылы тақырып бойынша Тест тапсырмаларын орындайды. https://padlet.com/bazarovagulzan634/padlet-45kr43zrwwq2jr8q |
Білім алушы. Бүгінгі сабақты түсінгендерін «Padlet» тақтасындағы тест тапсырмасын орындайды |
Кері байланыс: Бүгінгі сабақты «Padlet» тақтасындағы тест тапсырмасының орындау барысын QR код арқылы кері байланыс жасаймын |
|
|
|
1 мин |
Үй тапсырмасы § 36 оку |
|
|
|
Қазақстан мен Шведция мемлекеттерін салыстырмалы түрде талдау жасау
|
Көрсеткіштер |
Қазақстан |
Швеция |
|
Физикалық белсенділік деңгейі |
|
|
|
Денсаулық сақтау жүйесі |
|
|
|
Қоғамдық көлік және велосипед инфрақұрылымы |
|
|
|
Салауатты өмір салтын қолдау бағдарламалары |
|
|
|
Гиподинамия мен гипокинез ауруларының деңгейі |
|
|
Жауап
|
Көрсеткіштер |
Қазақстан |
Швеция |
|
Физикалық белсенділік деңгейі |
Төмен, қала тұрғындарының көпшілігі физикалық белсенділікті аз қолданады |
Жоғары, барлық жастағы топтар арасында физикалық белсенділік жоғары |
|
Денсаулық сақтау жүйесі |
Даму үстінде, бірақ кейбір мәселелер бар (спортық инфрақұрылымның жетіспеушілігі) |
Дамыған, спорттық инфрақұрылым мен денсаулық сақтау жүйесі күшті |
|
Қоғамдық көлік және велосипед инфрақұрылымы |
Аз дамыған, автокөлікке тәуелділік жоғары |
Жоғары деңгейде дамыған, велосипед жолдары көп | |
|
Салауатты өмір салтын қолдау бағдарламалары |
Жоқ немесе шектеулі |
Мемлекеттік деңгейде қолдау табады, әртүрлі бағдарламалар мен жобалар бар |
|
Гиподинамия мен гипокинез ауруларының деңгейі |
Жоғары деңгейде, жүрек-қан тамырлары және семіздік аурулары көп таралған |
Төмен деңгейде, спорт және физикалық белсенділікке көңіл бөлінеді |
Кесте бойынша қорытынды
Қазақстан мен Швеция арасындағы гиподинамия мен гипокинез аурулары бойынша айырмашылықтар айтарлықтай. Швецияда физикалық белсенділік пен спортқа деген қызығушылық жоғары, бұл гиподинамияның төмен деңгейіне және жалпы денсаулыққа оң әсер етеді. Қазақстанда болса, гиподинамияға байланысты аурулар жиі кездеседі, сондықтан бұл мәселені шешу үшін инфрақұрылымды дамыту және халықтың физикалық белсенділігін арттыру қажет.
жүктеу мүмкіндігіне ие боласыз
Бұл материал сайт қолданушысы жариялаған. Материалдың ішінде жазылған барлық ақпаратқа жауапкершілікті жариялаған қолданушы жауап береді. Ұстаз тілегі тек ақпаратты таратуға қолдау көрсетеді. Егер материал сіздің авторлық құқығыңызды бұзған болса немесе басқа да себептермен сайттан өшіру керек деп ойласаңыз осында жазыңыз
Гиподенамия. Сымбаттың бұзылуы және жалпақтабандылықтың пайда болу себептері.
Гиподенамия. Сымбаттың бұзылуы және жалпақтабандылықтың пайда болу себептері.
Сабак такырыбы: Гиподинамия. Сымбаттың бұзылуы және жалпақтабандылықтың пайда болу себептері
|
Бөлім: |
Биофизика |
|
|
Педагогтің аты-жөні: |
Базарова Гулжан Бахауиденовна |
|
|
Күн: 6.03.2025 жыл |
Сыныбы : 8 |
Қатысушылар саны: Қатыспағандар саны: |
|
Тақырыбы: |
Гиподинамия. Сымбаттың бұзылуы және жалпақ жалпақтабандылықтың пайда болу себептері |
|
|
Оқу бағдарламасына сәйкес оқу мақсаты |
8.1.6.7 гиподинамия салдарын атау 8.1.6.8 сымбаттың бұзылуы және жалпақтабандылықтың пайда болу себептерін анықтау |
|
|
Сабақтың
мақсаты: |
гиподинамия салдары мен алдын алу шараларын атайды, сымбаттың бұзылуы мен жалпақтабандылықтың пайда болу себептерін анықтайды. |
|
|
Бағалау критериі: |
Гиподинамия салдары мен алдын алу шараларын атайды Сымбаттың бұзылуы және жалпақтабандылықтың пайда болу себептерін анықтайды |
|
|
Ойлау дағдылары |
Орта денгей |
|
|
Құндылықтар |
Шығармашылық зерттеу жүргізу және ғылыми тәсілді қолдану қабілеті; ақпаратты талдау және бағалау; жаңа идеяларды ұсыну; заманауи цифрлық құралдар мен технологияларды меңгеру; |
|
|
Сабақ барысы |
Мұғалімнің әрекеті |
Оқушының әрекеті |
Бағалау |
Ресурстар |
|
|
Сабақтың басы 3 мин |
І. Ұйымдастыру кезеңі: 1. Мұғалімдер шеңбер бойымен тұрады. Екеу ара жұптасады. «Досымның бейнесі»әдісі 2.«Сиқырлы қорапшалар» әдісі арқылы топқа біріктіру |
«Досымның бейнесі»әдісі арқылы жағымды психология- лық ахуал орнатады. 2.«Сиқырлы қорапша» әдісі арқылы оқушыларды топқа бөлінеді. |
Кері байланыс: Мадақтау арқылы бағаланады. |
Слайд Ақ парақ, маркер, сиқырлы қорапша лар |
|
|
5мин |
ІІ Үй тапсырмасы «Ыстық орындық» әдісі
«Стоп кадр» әдісі
|
«Ыстық орындық» тәсілі арқылы үй тапсырмасы сұралады «Стоп кадр» әдісі арқылы суретті талдай отырып тақырып мазмұнын ашады |
Кері байланыс: Мадақтау арқылы бағаланады. «Жарайсың!», «Керемет» «Тамаша жауап»т .б |
Экран |
|
|
Сабақтың ортасы 15 мин |
Мұғалім жаңа тақырып бойынша қысқаша ақпарат береді. Гиподинамия мен гипокинезияның салдары: иммунитеттің төмендеуі, көрудің нашарлауы, остеохондроз, артық салмақ , геморрой, бұлшықеттің гипотрофиясы. 1.Жүрек қантамырлар жүйесінің аурулары 2.Ағзада зат алмасудың бұзылуы, гормондардың дұрыс бөлінбеуі 3.Ағзаның тұздануы острехондроз 4.Омыртқа мен буындардың ауруы 5.Психологиялық стресс,депрессияға бейім болуы 6,Иммундық жүйенің әлсіреуі Алдын алу шаралары: 1.Физикалық белсенділік 2.Ұзақ уақыт бойы отырмау 4.Дұрыс тамақтану 5.Сұйықтықты көп ішу Себептері: 1.Технологиялардың дамуы 2.Отырықшы өмір салты 3.Уақыттың жетіспеушілігі |
Оқушылар мұғалімнің бағыт беруімен жұмыс жасайды. https://egemen.kz/article/365318-gipodinamiya-%E2%80%93-ozekti-masele?utm_source |
Кері байланыс: «Басбармақ » әдісі арқылы беріледі |
А4 парағы Маркер флипчарт |
|
|
|
1-тапсырма: «Графикалық әлем» әдісі Топтық жұмыс Қазақстандағы гиподинамия статистикасы
Сұрақ: 1. Оқушылар сілтемені пайдалану арқылы, Miecroft –та гиподинамия графикалық кескінін алу (Бұл сұрақтар нақты Қазақстандағы гиподинамияның денгейін анықтауға бағытталған) 2. Қазақстанда балалар мен ересектердегі гиподинамия деңгейі арасындағы айырмашылық анықтаңыз. (Бұл сұрақ деректерді салыстырып, балалар мен ересектер арасындағы гиподинамияның айырмашылығын салыстыру арқылы анықтауға бағытталған Әлемдегі және Қазақстандағы гиподинамия деңгейі
3. Қазақстан мен Шведция мемлекеттерін салыстырмалы түрде талдау жасау Швецияда гиподинамияның төмен болу себептері: 1.Белсенді өмір салты 2.Спорт инфрақұрылымы 3.Денсаулықты сақтау жүйесі 2-тапсырма: «Ізденістік,проблемалық» тәсіл Топтық жұмыс
Мәтін: Айгүлдің ұзақ уақыт бойы компьютер алдында отыруынан омыртқа жотасының ауырсынуын сезінетінін айтып, ата-анасына шағымданды. Келесі күні ата-анасы Айгулді дәрігер қарауына апарды. Дәрігер омыртқа жотасының рентгенографиясын жасауды ұсынады.Нәтижесінде денсаулыққа әсер ететін маңызды мәселе бар екені анықталды. Дәрігер, Айгулге арнайы жаттығулар жасап, омыртқа жотасын қалпына қалпына келтіруіне бірнеше дұрыс кеңестер берді. Сұрақ: 1 Білу: Тірек қимыл жүйесі қандай негізгі мүшелерден тұрады?
Дене қалпының дұрыс болмауы тірек-қимыл жүйесіне қалай әсер етеді деп ойлайсыз ? 3 Қолдану: Айгулге омыртқаны нығайтуға арналған қандай жаттығулар ұсынар едіңіз?
4 Талдау: Ұзақ уақыт бойы компьютер алдында дұрыс отырмаудың және бір жақты ауыр жүк көтерудің омыртқаға әсерін талдаңыз ?
Айгулдің жағдайын ескере отырып, омыртқаның қисаюын болдырмау және дене қалпын түзету бойынша ұсыныстар жоспарын құрыңыз? 6. Бағалау: Осы шаралар күнделікті өмірде қолданылса болашақтағы денсаулық пен оқудағы үлгерімге әсері қандай? - Жауапта осы мәселелерді шешуге бағытталған шараларды сипаттаңыз Бұл тапсырмалар оқушылардың денсаулық мәселелеріне назар аударып, өз өмірлерінде дене белсенділігін арттыруға және дұрыс қалыпта отыруға бағытталған іс-шараларды орындау дағдыларын дамытуға көмектеседі.
3-тапсырма: «Ойлан, жұптас, бөліс» Жұптық жұмыс
(
(іі) Жалпақтабандылықтың болу себептерін жазыңдар
|
Жоғарыдағы сілтемеге өтіп, «Miecroft,Excel» бағдарламасы жұмыс жасап, графикалық кескінін құру
Оқушылар деректерге сүйене отырып, гипокинезге шалдыққан ересектер мен балалар және ерлер мен әйелдер арасындағы айырмашылықты салыстыру арқылы анықтайды
https://www.who.int Stat.gov.kz https://stat.gov.kz/ https://www.scb.se Оқушылар деректерге сүйене отырып, гипокинез бойынша Қазақстан мен Шведция мемлекеттеріне салыстырмалы түрде талдау жасайды
Оқушылар рентгенография нәтижесіне қарай дұрыс және ауру түсірімді ажыратады. Дене сымбатының бұзылу себептерін айтады.
Мәтінмен жұмыс Мәтін оқып шығып, «Блум таксаномиясы» бойынша, құрылған сұрақтарға жауап береді 1.Тірек қимыл жүйесі қандай мүшелерден тұратынын айтады 2. Дене қалпының дұрыс болмауы тірек-қимыл жүйесіне қалай әсер ететініне сипаттайды 3.Айгулге омыртқаны нығайтуға арналған бір неше жаттығуларды ұсынады
4. Ұзақ уақыт бойы компьютер алдында дұрыс отырмаудың және бір жақты ауыр жүк көтерудің омыртқаға әсерін талдайды
5. Айгулдің жағдайын ескере отырып, омыртқаның қисаюын болдырмау және дене қалпын түзету бойынша ұсыныстарды жоспарлайды 6.Айтылған шаралар күнделікті өмірде қолданылса, болашақ- тағы денсаулық пен оқудағы үлгерімге әсерін бағалайды
1.Жалпақтабандылықты табады.
2.Жалпақтабандылық тың болу себептерін анықтайды.
|
Дескриптор: 1. «Miecroft, Excel» бағдарламасы арқылы графика кескінін құрады Жалпы балл-1 2. Ересектер мен балалар және ерлер мен әйелдер арасындағы айырмашылықты анықтай алды Жалпы балл-1
3. Қазақстан мен Шведция мемлекеттерін салыстырмалы түрде талдау жасай алды Жалпы балл-1 Дескриптор: рентгенография нәтижесіне қарай дұрыс және ауру түсірімді ажыратады Жалпы балл-1 Дескриптор: 1. Тірек қимыл жүйесінің, мүшелерден атайды Жалпы балл-1 2. Дене қалпының дұрыс болмауы тірек-қимыл жүйесіне әсер етуін сипаттайды Жалпы балл-1 3.Омыртқаны нығайтуға арналған бір неше жаттығуларды ұсынады Жалпы балл-1 4.Компьютер алдында дұрыс отырмаудың және ауыр жүк көтерудің омыртқаға әсерін талдайды. Жалпы балл-1
5.Омыртқаның қисаюын болдырмау және дене қалпын түзету бойынша ұсыныстар жоспарлайды Жалпы балл-1 6, Айтылған шаралар шаралар күнделікті өмірде қолданылса болашақтағы денсаулық пен оқудағы үлгерімге әсерін бағалайды Жалпы балл-1 Дескриптор : 1.Жалпақтабандылықты табады. Жалпы балл-1
2.Жалпақтабан дылықтың болу себептерін анықтайды. 1- балл |
Суреттер А4 парағы Маркер флипчарт 2-косымша Тапсырма жазылған парақтар |
|
|
Сабақтың соңы 5 мин |
Сабақты бекіту: «Кім жүйрік» әдісі Жеке жұмыс «Padlet» интерактивті тақтасы арқылы тақырып бойынша Тест тапсырмаларын орындайды. https://padlet.com/bazarovagulzan634/padlet-45kr43zrwwq2jr8q |
Білім алушы. Бүгінгі сабақты түсінгендерін «Padlet» тақтасындағы тест тапсырмасын орындайды |
Кері байланыс: Бүгінгі сабақты «Padlet» тақтасындағы тест тапсырмасының орындау барысын QR код арқылы кері байланыс жасаймын |
|
|
|
1 мин |
Үй тапсырмасы § 36 оку |
|
|
|
Қазақстан мен Шведция мемлекеттерін салыстырмалы түрде талдау жасау
|
Көрсеткіштер |
Қазақстан |
Швеция |
|
Физикалық белсенділік деңгейі |
|
|
|
Денсаулық сақтау жүйесі |
|
|
|
Қоғамдық көлік және велосипед инфрақұрылымы |
|
|
|
Салауатты өмір салтын қолдау бағдарламалары |
|
|
|
Гиподинамия мен гипокинез ауруларының деңгейі |
|
|
Жауап
|
Көрсеткіштер |
Қазақстан |
Швеция |
|
Физикалық белсенділік деңгейі |
Төмен, қала тұрғындарының көпшілігі физикалық белсенділікті аз қолданады |
Жоғары, барлық жастағы топтар арасында физикалық белсенділік жоғары |
|
Денсаулық сақтау жүйесі |
Даму үстінде, бірақ кейбір мәселелер бар (спортық инфрақұрылымның жетіспеушілігі) |
Дамыған, спорттық инфрақұрылым мен денсаулық сақтау жүйесі күшті |
|
Қоғамдық көлік және велосипед инфрақұрылымы |
Аз дамыған, автокөлікке тәуелділік жоғары |
Жоғары деңгейде дамыған, велосипед жолдары көп | |
|
Салауатты өмір салтын қолдау бағдарламалары |
Жоқ немесе шектеулі |
Мемлекеттік деңгейде қолдау табады, әртүрлі бағдарламалар мен жобалар бар |
|
Гиподинамия мен гипокинез ауруларының деңгейі |
Жоғары деңгейде, жүрек-қан тамырлары және семіздік аурулары көп таралған |
Төмен деңгейде, спорт және физикалық белсенділікке көңіл бөлінеді |
Кесте бойынша қорытынды
Қазақстан мен Швеция арасындағы гиподинамия мен гипокинез аурулары бойынша айырмашылықтар айтарлықтай. Швецияда физикалық белсенділік пен спортқа деген қызығушылық жоғары, бұл гиподинамияның төмен деңгейіне және жалпы денсаулыққа оң әсер етеді. Қазақстанда болса, гиподинамияға байланысты аурулар жиі кездеседі, сондықтан бұл мәселені шешу үшін инфрақұрылымды дамыту және халықтың физикалық белсенділігін арттыру қажет.
шағым қалдыра аласыз





і)













