«»КММ
Жоба тақырыбы: «ЖИ дәрігер»
Бағыт: Информатика, робототехника STEM инженерия
Авторы: A-сынып оқушылары
Жетекшісі: Информатика пән і мұғалімі
2025 жыл
МАЗМҰНЫ
АННОТАЦИЯ....................................................................................................4
КІРІСПЕ..............................................................................................................5
НЕГІЗГІ БӨЛІМ................................................................................................7
ПРАКТИКАЛЫҚ БӨЛІМ......…………………...…………….....................9
ҚОРЫТЫНДЫ БӨЛІМ..................................................................................14
ПАЙДАЛАНЫЛҒАН ӘДЕБИЕТТЕР..........................................................15
Пікір
Оқушының «ЖИ дәрігер» тақырыбындағы ғылыми-зерттеу жұмысы қазіргі замандағы өзекті мәселелердің бірін қамтиды. Жобаның маңыздылығы өте жоғары, себебі өкпе аурулары, соның ішінде пневмония, әлемдік деңгейде кең таралған аурулардың бірі болып табылады және оны ерте анықтау адам өмірін сақтауда шешуші рөл атқарады. Жасанды интеллектті медициналық диагностика саласында қолдану – ғылым мен технологияның дамуының нақты көрінісі, бұл тақырып оқушының ізденімпаздығын, жаңа технологияға қызығушылығын айқын көрсетеді.
Автор өз жұмысында заманауи деректерге сүйене отырып, ЖИ көмегімен сау және ауру өкпелердің рентген суреттерін талдау мүмкіндігін қарастырған. Оқушы жобада пневмонияны анықтауда жасанды интеллекттің артықшылықтарын нақты мысалдармен түсіндіріп, ғылыми тұрғыдан негіздей алған.
Жобаның артықшылықтары: Өте өзекті әрі заманауи тақырып таңдалған; Оқушы жасанды интеллект пен медицина байланысын түсінікті тілде жеткізген; Сау және ауру өкпе рентген суреттерін салыстырып, визуалды материалдар ұсынған; Жоба құрылымы ғылыми талаптарға сай жасалған (мақсат, міндеттер, өзектілік, жаңалығы, ұсыныс).
Кемшіліктері: Кейбір тұстарда дереккөздерге нақты сілтемелер жеткіліксіз.
Жалпы алғанда, жоба жоғары деңгейде орындалған және оқушының ғылыми-зерттеушілік қабілетінің қалыптасқанын көрсетеді. Тақырыптың маңыздылығы, өзектілігі мен автордың жеке еңбегі бұл жұмысты ғылыми жоба жарыстарында қорғауға лайықты етеді.
Жоба жетпекшісі:
Аннотация
МАҚСАТЫ:
Өкпе ауруларын
анықтайтын «ЖИ дәрігер» жасанды интеллект жүйесін жасап
шығу.
МІНДЕТТЕРІ:
-
Өкпе ауруларын анықтайтын қарапайым «ЖИ дәрігер» жүйесін жасау.
-
Жасалған жүйенің нәтижесін сынақтан өткізіп, тиімділігін тексеру.
ӨЗЕКТІЛІГІ:
Қазіргі таңда өкпе аурулары әлемде кең таралған және адам денсаулығына үлкен қауіп төндіретін сырқаттардың бірі болып отыр. Сондықтан өкпе ауруларын ерте анықтауға көмектесетін жасанды интеллект жүйесін жасау – медицинаны заманауи технологиялармен ұштастырудың маңызды қадамы.
ЗЕРТТЕУ ЖҮЙЕСІ:
-
Жасанды интеллект туралы білу, тәжірбие жасау, қорытынды шығару.
ГИПОТЕЗА: Егер жасанды интеллект негізінде «ЖИ дәрігер» жүйесі жасалса, онда ол өкпе ауруларын ерте кезеңде анықтап, дәрігерлердің жұмысын жеңілдетуге және науқастардың дер кезінде ем алуына мүмкіндік береді.
ЗЕРТТЕУ ӘДІСТЕРІ: Деректерді жинау және өңдеу
МӘСЕЛЕ: Қазіргі кезде өкпе аурулары кең таралған әрі дер кезінде анықталмаса, адамның өміріне үлкен қауіп төндіреді.
ЗЕРТТЕУДІҢ ЖАҢАЛЫҒЫ:
Бұл жобада өкпе ауруларын анықтауда жасанды интеллект «ЖИ дәрігер» ретінде қолданылады.
ҰСЫНЫС:
-
Бағдарламаны мобильді қосымша түрінде жетілдіру арқылы кез келген адамға қолжетімді ету ұсынылады.
КІРІСПЕ
Жасанды интеллект (ЖИ) – бұл адамның ойлау, үйрену, талдау, қорытынды жасау сияқты қабілеттерін компьютер арқылы жүзеге асыратын ғылым мен технология саласы. ЖИ-дің басты мақсаты – адамның интеллектуалдық әрекеттерін модельдеу және машиналарға дербес шешім қабылдау қабілетін беру. Ол күрделі деректерді өңдеп, талдап, олардан заңдылықтар тауып, соның негізінде жаңа шешімдер ұсына алады.
ЖИ жүйелері үш негізгі деңгейде қарастырылады:
-
Әлсіз ЖИ (Narrow AI) – нақты бір міндетті шешуге арналған. Мысалы, чат-боттар, автопилот жүйелері немесе медициналық суреттерді талдайтын алгоритмдер.
-
Жалпы ЖИ (General AI) – адамның кез келген ақыл-ой әрекеттерін толық орындай алатын әмбебап жүйе (әзірге жасалу үстінде).
-
Супер ЖИ (Super AI) – адам мүмкіндігінен жоғары интеллектуалды қабілеттері бар гипотетикалық жүйе.
Қазіргі таңда ЖИ күнделікті өмірде кең қолданыс тапты:
-
Көлікте – автопилот жүйелері, жол қауіпсіздігін қамтамасыз ету;
-
Байланыста – сөйлеуді және мәтінді тану, автоматты аударма;
-
Көрнекі ақпаратта – бейнелерді өңдеу, бет-әлпетті тану;
-
Интернетте – іздеу жүйелері мен әлеуметтік желілердегі жеке ұсыныстар;
-
Қаржы саласында – алаяқтықты анықтау, қаржылық операцияларды болжау;
-
Медицинада – диагноз қоюға көмектесу, ауруды ерте кезеңде анықтау.
Медицинадағы ЖИ ерекше орын алады. Мысалы, рентген және компьютерлік томография (КТ) суреттерін талдау арқылы өкпе ауруларын анықтау, жүрек ауруларын болжау немесе ісіктерді ерте кезеңде табу мүмкіндігі бар. ЖИ дәрігерлерге шешім қабылдауда көмекші құрал ретінде қызмет етеді және адам өмірін сақтап қалуға ықпал етеді.
ЖИ-дің артықшылықтары:
-
Үлкен көлемдегі ақпаратты қысқа уақытта талдау;
-
Қателіктерді азайту;
-
Адамға ауыр немесе қауіпті жұмыстарды орындау;
-
Уақыт пен ресурстарды үнемдеу.
Сонымен қатар, ЖИ-дің дамуымен бірге этикалық мәселелер де туындайды: деректердің құпиялығы, адам мен машинаның қарым-қатынасы, ЖИ-дің қоғамға әсері. Сондықтан бұл салада тек техникалық қана емес, әлеуметтік және құқықтық тұрғыдан да зерттеулер қажет.

Нейрондық желі – адам миының көшірмесі
Өткен ғасырдың соңғы ширегінде ғалымдар жасанды интеллектіні алгоритмдік ойлау шеңберінен шығаруды ойлады. Нақтырақ айтсақ, жасанды интеллектіге ойлау шексіздігін сыйлау идеясы туындаған болатын. Ал, оған дайын модель ретінде адам миының құрылымы таңдап алынады. Осылай "нейрондық желі" құрылды.
XXI ғасыр – ғылым мен технологияның қарқынды дамыған ғасыры. Қазіргі уақытта жасанды интеллект (ЖИ) адам өмірінің көптеген саласында қолданыс тауып отыр: өндірісте, білім беруде, тұрмыста және ең бастысы – медицинада. ЖИ арқылы дәрігерлердің жұмысын жеңілдетуге, диагнозды жылдам әрі дәл қоюға, адам өмірін сақтап қалуға жаңа мүмкіндіктер ашылды.
Медицина саласында заманауи технологияларды қолданудың ең өзекті бағыттарының бірі – өкпе ауруларын ерте анықтау. Өкпе – адам ағзасындағы ең маңызды мүшелердің бірі, ал өкпенің қабынуы (пневмония), туберкулез немесе басқа да аурулар уақытылы анықталмаса, күрделі асқынуларға әкелуі мүмкін. Әсіресе, соңғы жылдары бүкіл әлемді алаңдатқан COVID-19 індеті өкпе ауруларын ерте диагностикалаудың маңыздылығын айқын көрсетті.

Дегенмен, ауруларды анықтауда әрқашан қиындықтар туындайды:
-
Дәрігерлердің жүктемесінің көп болуы;
-
Диагноз қоюда адами қателіктердің орын алуы;
-
Медициналық жабдықтардың барлық жерде жеткілікті бола бермеуі.
Осындай жағдайларда жасанды интеллект дәрігерлердің сенімді көмекшісі бола алады. ЖИ рентген немесе КТ суреттерін талдау арқылы ауру белгілерін тез анықтап, дәрігерге шешім қабылдауда көмек береді.
Осы ғылыми жобада біз «ЖИ дәрігер» атты үлгі жасап, өкпе ауруларын анықтауға арналған қарапайым жасанды интеллект моделін құруды мақсат еттік. Бұл жоба медицина мен информатиканың тоғысында тұрғандықтан, қазіргі қоғам үшін аса өзекті.
Жобаның жаңашылдығы – ЖИ-ді қолдану арқылы ауруды анықтаудың прототипін жасау. Мұндай жұмыс бір жағынан медициналық білімге қызығушылықты арттырса, екінші жағынан жасанды интеллект технологиясын үйренуге мүмкіндік береді.
Бұл зерттеу нәтижесі болашақта үлкен медициналық жүйелерді жетілдіруге, адамдардың денсаулығын қорғауға өз үлесін қосуы мүмкін. Сонымен қатар, қарапайым деңгейде жасалған үлгі оқушыларға ЖИ-дің мүмкіндігін түсінуге және оны күнделікті өмірде қолдануға болатынын дәлелдейді.
Медицинадағы ЖИ қолдану
Медицина саласында жасанды интеллект үлкен рөл атқарады:
-
Диагностика – рентген, КТ, МРТ суреттерін талдау;
-
Емдеуді жоспарлау – дәрігерге ұсыныстар беру;
-
Деректерді сақтау және өңдеу – науқас тарихын талдау;
-
Қашықтықтан бақылау – пациенттің жағдайын онлайн қадағалау.
ЖИ-дің көмегімен дәрігерлер уақытты үнемдеп, қателіктерді азайтып, ауруларды ерте анықтай алады.
ПРАКТИКАЛЫҚ БӨЛІМ
Өкпе аурулары және оларды анықтау
Өкпе аурулары – адамның тыныс алу жүйесін зақымдайтын қауіпті дерттер. Олардың ішінде:
-
Пневмония (өкпенің қабынуы);
-
Туберкулез;
-
Созылмалы бронхит;
-
COVID-19 инфекциясы кезінде өкпенің зақымдануы.
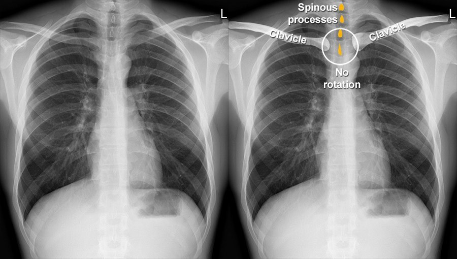
Бұл ауруларды рентген немесе компьютерлік томография (КТ) суреттері арқылы анықтауға болады. Бірақ кейде дәрігерлердің жүктемесі көп болғандықтан, ауруды байқамай қалу қаупі бар.
«ЖИ дәрігер» моделін құру
Біздің жобада өкпе рентген суреттері негізінде ауруларды анықтай алатын жасанды интеллект (ЖИ) үлгісін жасау қарастырылды. Бұл модельдің басты мақсаты – медициналық мамандарға көмекші құрал ретінде қызмет атқарып, науқастардың өкпе ауруларын ерте кезеңде анықтауға мүмкіндік беру.
Модельді құру кезеңдері:
-
Деректерді жинақтау
Жоба үшін ашық дереккөздерден алынған өкпенің рентген суреттері пайдаланылды. Деректер жиынтығына сау адамдардың және әртүрлі өкпе ауруларына (пневмония, туберкулез, COVID-19 және т.б.) шалдыққан науқастардың суреттері енгізілді. -
Деректерді алдын ала өңдеу
-
Суреттердің сапасы бірдей болу үшін өлшемі реттелді.
-
Артық шуды азайту үшін фильтрация жасалды.
-
Жиынтық теңестіріліп, әрбір класқа тиесілі суреттердің саны шамаластырылды.
-
-
Модель архитектурасы
-
ЖИ үлгісін құруда нейрондық желілер, нақтырақ айтқанда конволюциялық нейрондық желілер (CNN) қолданылды.
-
Бұл архитектура суреттерді тануға тиімді болғандықтан, өкпе кескіндеріндегі ауру белгілерін анықтауға ыңғайлы.
-
-
Үйрету процесі
-
Деректердің бір бөлігі модельді үйретуге, бір бөлігі тексеруге, ал қалғаны сынақ үшін қолданылды.
-
Оқыту барысында модель ауруды анықтаудағы қателерін азайтып, болжам дәлдігін арттырды.
-
-
Нәтижелерді бағалау
-
Модельдің тиімділігі дәлдік (accuracy), сезімталдық (recall), нақтылық (precision) сияқты көрсеткіштер арқылы тексерілді.
-
Алынған нәтижелер ЖИ үлгісінің өкпе ауруларын анықтауда тиімді көмекші құрал бола алатынын көрсетті.
-
Жобаның практикалық маңызы:
-
Дәрігерлерге диагноз қоюда уақыт үнемдеуге көмектеседі.
-
Қателіктерді азайтып, қосымша екінші көзқарас (second opinion) ұсынады.
-
Ауылдық және шалғай жерлерде медицина мамандары жетіспеген жағдайда пайдалы болуы мүмкін.
-
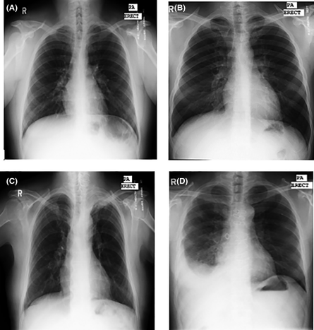
Деректер жинау – ашық интернет дерекқорларынан «сау өкпе» және «ауру өкпе» суреттерін таңдау;


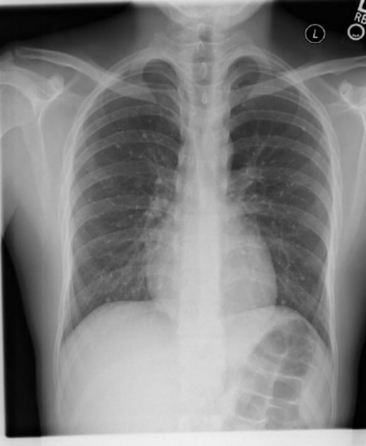
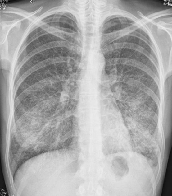
Сау өкпе

Пневмониялы өкпе

COVID-19 пневмониясы
-
Teachable Machine платформасын пайдалану – бұл Google компаниясының тегін құралы, мұнда дайын суреттерді жүктеп, ЖИ моделін оңай үйретуге болады;




-
Модельді оқыту – ЖИ сау және ауру өкпені ажыратуды үйренеді;
-
Нәтижені тексеру – жаңа суреттерді енгізіп, ЖИ-дің дұрыс анықтауын бағалау.
Алынған мәліметтерді талдау
ЖИ моделі сау және ауру өкпенің айырмашылығын 80–90% дәлдікпен анықтай алды. Бұл нәтижелер жасанды интеллекттің медицинада қолданылуы тиімді екенін көрсетті. Әрине, бұл толық дайын медициналық жүйе емес, бірақ осындай үлгі құру – ЖИ технологияларын меңгерудің алғашқы қадамы.
Энергия үнемдеу мен қоғамға пайдасы
ЖИ дәрігердің артықшылықтары:
-
Ауруды ерте анықтау арқылы адамдардың өмірін сақтап қалу;
-
Дәрігерлердің жұмысын жеңілдету;
-
Қоғамның денсаулығын жақсарту;
-
Әлеуметтік маңызы бар – қолжетімді диагностика жасауға мүмкіндік.
Қорытынды
Бұл зерттеу жұмысының барысында біз өкпе ауруларын, әсіресе пневмонияны анықтауда жасанды интеллектіні (ЖИ) қолданудың маңызын қарастырдық. Өкпенің сау және ауру түрлерінің рентген суреттерін салыстыру арқылы пневмонияның негізгі белгілерін айқындауға болады. Дәстүрлі әдістермен салыстырғанда ЖИ технологиясы дәрігерлерге уақытты үнемдеуге, диагнозды дәл қоюға және науқастарға дер кезінде көмек көрсетуге мүмкіндік береді.
Жобаның нәтижесінде:
-
Сау өкпенің ерекшеліктері мен ауру өкпенің (пневмония, COVID-19) белгілері ажыратылды;
-
Жасанды интеллект арқылы суреттерді талдау тәсілдерінің артықшылықтары анықталды;
-
«ЖИ дәрігер» жасау идеясы медицинаның заманауи дамуы үшін өзекті әрі болашағы зор бағыт екендігі дәлелденді.
Осылайша, зерттеу жұмысымыз жасанды интеллектіні медицинада қолданудың тиімділігін көрсетіп, пневмония сияқты қауіпті ауруларды ерте диагностикалаудың жаңа жолдарын ұсынуға мүмкіндік береді.
Пайдаланылған әдебиеттер
-
Қазақстан Республикасы Денсаулық сақтау министрлігі. «Пневмония ауруын диагностикалау және емдеу хаттамасы». – Астана, 2022.
-
World Health Organization (WHO). Pneumonia Fact Sheet. – Женева, 2023.
-
Kermany, D. S., et al. Identifying Medical Diagnoses and Treatable Diseases by Image-Based Deep Learning. Cell, 2018.
-
Rajpurkar, P., et al. CheXNet: Radiologist-Level Pneumonia Detection on Chest X-Rays with Deep Learning. arXiv preprint, 2017.
-
Goodfellow, I., Bengio, Y., Courville, A. Deep Learning. MIT Press, 2016.
-
atamuraweb.kz – Қазақстан мектептеріне арналған оқу-әдістемелік материалдар порталы.
-
kaggle.com – Chest X-Ray Images (Pneumonia) деректер жиынтығы.
-
arxiv.org – Ғылыми мақалалар репозиториі.
жүктеу мүмкіндігіне ие боласыз
Бұл материал сайт қолданушысы жариялаған. Материалдың ішінде жазылған барлық ақпаратқа жауапкершілікті жариялаған қолданушы жауап береді. Ұстаз тілегі тек ақпаратты таратуға қолдау көрсетеді. Егер материал сіздің авторлық құқығыңызды бұзған болса немесе басқа да себептермен сайттан өшіру керек деп ойласаңыз осында жазыңыз
"ЖИ дәрігер" ғылыми жоба
"ЖИ дәрігер" ғылыми жоба
«»КММ
Жоба тақырыбы: «ЖИ дәрігер»
Бағыт: Информатика, робототехника STEM инженерия
Авторы: A-сынып оқушылары
Жетекшісі: Информатика пән і мұғалімі
2025 жыл
МАЗМҰНЫ
АННОТАЦИЯ....................................................................................................4
КІРІСПЕ..............................................................................................................5
НЕГІЗГІ БӨЛІМ................................................................................................7
ПРАКТИКАЛЫҚ БӨЛІМ......…………………...…………….....................9
ҚОРЫТЫНДЫ БӨЛІМ..................................................................................14
ПАЙДАЛАНЫЛҒАН ӘДЕБИЕТТЕР..........................................................15
Пікір
Оқушының «ЖИ дәрігер» тақырыбындағы ғылыми-зерттеу жұмысы қазіргі замандағы өзекті мәселелердің бірін қамтиды. Жобаның маңыздылығы өте жоғары, себебі өкпе аурулары, соның ішінде пневмония, әлемдік деңгейде кең таралған аурулардың бірі болып табылады және оны ерте анықтау адам өмірін сақтауда шешуші рөл атқарады. Жасанды интеллектті медициналық диагностика саласында қолдану – ғылым мен технологияның дамуының нақты көрінісі, бұл тақырып оқушының ізденімпаздығын, жаңа технологияға қызығушылығын айқын көрсетеді.
Автор өз жұмысында заманауи деректерге сүйене отырып, ЖИ көмегімен сау және ауру өкпелердің рентген суреттерін талдау мүмкіндігін қарастырған. Оқушы жобада пневмонияны анықтауда жасанды интеллекттің артықшылықтарын нақты мысалдармен түсіндіріп, ғылыми тұрғыдан негіздей алған.
Жобаның артықшылықтары: Өте өзекті әрі заманауи тақырып таңдалған; Оқушы жасанды интеллект пен медицина байланысын түсінікті тілде жеткізген; Сау және ауру өкпе рентген суреттерін салыстырып, визуалды материалдар ұсынған; Жоба құрылымы ғылыми талаптарға сай жасалған (мақсат, міндеттер, өзектілік, жаңалығы, ұсыныс).
Кемшіліктері: Кейбір тұстарда дереккөздерге нақты сілтемелер жеткіліксіз.
Жалпы алғанда, жоба жоғары деңгейде орындалған және оқушының ғылыми-зерттеушілік қабілетінің қалыптасқанын көрсетеді. Тақырыптың маңыздылығы, өзектілігі мен автордың жеке еңбегі бұл жұмысты ғылыми жоба жарыстарында қорғауға лайықты етеді.
Жоба жетпекшісі:
Аннотация
МАҚСАТЫ:
Өкпе ауруларын
анықтайтын «ЖИ дәрігер» жасанды интеллект жүйесін жасап
шығу.
МІНДЕТТЕРІ:
-
Өкпе ауруларын анықтайтын қарапайым «ЖИ дәрігер» жүйесін жасау.
-
Жасалған жүйенің нәтижесін сынақтан өткізіп, тиімділігін тексеру.
ӨЗЕКТІЛІГІ:
Қазіргі таңда өкпе аурулары әлемде кең таралған және адам денсаулығына үлкен қауіп төндіретін сырқаттардың бірі болып отыр. Сондықтан өкпе ауруларын ерте анықтауға көмектесетін жасанды интеллект жүйесін жасау – медицинаны заманауи технологиялармен ұштастырудың маңызды қадамы.
ЗЕРТТЕУ ЖҮЙЕСІ:
-
Жасанды интеллект туралы білу, тәжірбие жасау, қорытынды шығару.
ГИПОТЕЗА: Егер жасанды интеллект негізінде «ЖИ дәрігер» жүйесі жасалса, онда ол өкпе ауруларын ерте кезеңде анықтап, дәрігерлердің жұмысын жеңілдетуге және науқастардың дер кезінде ем алуына мүмкіндік береді.
ЗЕРТТЕУ ӘДІСТЕРІ: Деректерді жинау және өңдеу
МӘСЕЛЕ: Қазіргі кезде өкпе аурулары кең таралған әрі дер кезінде анықталмаса, адамның өміріне үлкен қауіп төндіреді.
ЗЕРТТЕУДІҢ ЖАҢАЛЫҒЫ:
Бұл жобада өкпе ауруларын анықтауда жасанды интеллект «ЖИ дәрігер» ретінде қолданылады.
ҰСЫНЫС:
-
Бағдарламаны мобильді қосымша түрінде жетілдіру арқылы кез келген адамға қолжетімді ету ұсынылады.
КІРІСПЕ
Жасанды интеллект (ЖИ) – бұл адамның ойлау, үйрену, талдау, қорытынды жасау сияқты қабілеттерін компьютер арқылы жүзеге асыратын ғылым мен технология саласы. ЖИ-дің басты мақсаты – адамның интеллектуалдық әрекеттерін модельдеу және машиналарға дербес шешім қабылдау қабілетін беру. Ол күрделі деректерді өңдеп, талдап, олардан заңдылықтар тауып, соның негізінде жаңа шешімдер ұсына алады.
ЖИ жүйелері үш негізгі деңгейде қарастырылады:
-
Әлсіз ЖИ (Narrow AI) – нақты бір міндетті шешуге арналған. Мысалы, чат-боттар, автопилот жүйелері немесе медициналық суреттерді талдайтын алгоритмдер.
-
Жалпы ЖИ (General AI) – адамның кез келген ақыл-ой әрекеттерін толық орындай алатын әмбебап жүйе (әзірге жасалу үстінде).
-
Супер ЖИ (Super AI) – адам мүмкіндігінен жоғары интеллектуалды қабілеттері бар гипотетикалық жүйе.
Қазіргі таңда ЖИ күнделікті өмірде кең қолданыс тапты:
-
Көлікте – автопилот жүйелері, жол қауіпсіздігін қамтамасыз ету;
-
Байланыста – сөйлеуді және мәтінді тану, автоматты аударма;
-
Көрнекі ақпаратта – бейнелерді өңдеу, бет-әлпетті тану;
-
Интернетте – іздеу жүйелері мен әлеуметтік желілердегі жеке ұсыныстар;
-
Қаржы саласында – алаяқтықты анықтау, қаржылық операцияларды болжау;
-
Медицинада – диагноз қоюға көмектесу, ауруды ерте кезеңде анықтау.
Медицинадағы ЖИ ерекше орын алады. Мысалы, рентген және компьютерлік томография (КТ) суреттерін талдау арқылы өкпе ауруларын анықтау, жүрек ауруларын болжау немесе ісіктерді ерте кезеңде табу мүмкіндігі бар. ЖИ дәрігерлерге шешім қабылдауда көмекші құрал ретінде қызмет етеді және адам өмірін сақтап қалуға ықпал етеді.
ЖИ-дің артықшылықтары:
-
Үлкен көлемдегі ақпаратты қысқа уақытта талдау;
-
Қателіктерді азайту;
-
Адамға ауыр немесе қауіпті жұмыстарды орындау;
-
Уақыт пен ресурстарды үнемдеу.
Сонымен қатар, ЖИ-дің дамуымен бірге этикалық мәселелер де туындайды: деректердің құпиялығы, адам мен машинаның қарым-қатынасы, ЖИ-дің қоғамға әсері. Сондықтан бұл салада тек техникалық қана емес, әлеуметтік және құқықтық тұрғыдан да зерттеулер қажет.

Нейрондық желі – адам миының көшірмесі
Өткен ғасырдың соңғы ширегінде ғалымдар жасанды интеллектіні алгоритмдік ойлау шеңберінен шығаруды ойлады. Нақтырақ айтсақ, жасанды интеллектіге ойлау шексіздігін сыйлау идеясы туындаған болатын. Ал, оған дайын модель ретінде адам миының құрылымы таңдап алынады. Осылай "нейрондық желі" құрылды.
XXI ғасыр – ғылым мен технологияның қарқынды дамыған ғасыры. Қазіргі уақытта жасанды интеллект (ЖИ) адам өмірінің көптеген саласында қолданыс тауып отыр: өндірісте, білім беруде, тұрмыста және ең бастысы – медицинада. ЖИ арқылы дәрігерлердің жұмысын жеңілдетуге, диагнозды жылдам әрі дәл қоюға, адам өмірін сақтап қалуға жаңа мүмкіндіктер ашылды.
Медицина саласында заманауи технологияларды қолданудың ең өзекті бағыттарының бірі – өкпе ауруларын ерте анықтау. Өкпе – адам ағзасындағы ең маңызды мүшелердің бірі, ал өкпенің қабынуы (пневмония), туберкулез немесе басқа да аурулар уақытылы анықталмаса, күрделі асқынуларға әкелуі мүмкін. Әсіресе, соңғы жылдары бүкіл әлемді алаңдатқан COVID-19 індеті өкпе ауруларын ерте диагностикалаудың маңыздылығын айқын көрсетті.

Дегенмен, ауруларды анықтауда әрқашан қиындықтар туындайды:
-
Дәрігерлердің жүктемесінің көп болуы;
-
Диагноз қоюда адами қателіктердің орын алуы;
-
Медициналық жабдықтардың барлық жерде жеткілікті бола бермеуі.
Осындай жағдайларда жасанды интеллект дәрігерлердің сенімді көмекшісі бола алады. ЖИ рентген немесе КТ суреттерін талдау арқылы ауру белгілерін тез анықтап, дәрігерге шешім қабылдауда көмек береді.
Осы ғылыми жобада біз «ЖИ дәрігер» атты үлгі жасап, өкпе ауруларын анықтауға арналған қарапайым жасанды интеллект моделін құруды мақсат еттік. Бұл жоба медицина мен информатиканың тоғысында тұрғандықтан, қазіргі қоғам үшін аса өзекті.
Жобаның жаңашылдығы – ЖИ-ді қолдану арқылы ауруды анықтаудың прототипін жасау. Мұндай жұмыс бір жағынан медициналық білімге қызығушылықты арттырса, екінші жағынан жасанды интеллект технологиясын үйренуге мүмкіндік береді.
Бұл зерттеу нәтижесі болашақта үлкен медициналық жүйелерді жетілдіруге, адамдардың денсаулығын қорғауға өз үлесін қосуы мүмкін. Сонымен қатар, қарапайым деңгейде жасалған үлгі оқушыларға ЖИ-дің мүмкіндігін түсінуге және оны күнделікті өмірде қолдануға болатынын дәлелдейді.
Медицинадағы ЖИ қолдану
Медицина саласында жасанды интеллект үлкен рөл атқарады:
-
Диагностика – рентген, КТ, МРТ суреттерін талдау;
-
Емдеуді жоспарлау – дәрігерге ұсыныстар беру;
-
Деректерді сақтау және өңдеу – науқас тарихын талдау;
-
Қашықтықтан бақылау – пациенттің жағдайын онлайн қадағалау.
ЖИ-дің көмегімен дәрігерлер уақытты үнемдеп, қателіктерді азайтып, ауруларды ерте анықтай алады.
ПРАКТИКАЛЫҚ БӨЛІМ
Өкпе аурулары және оларды анықтау
Өкпе аурулары – адамның тыныс алу жүйесін зақымдайтын қауіпті дерттер. Олардың ішінде:
-
Пневмония (өкпенің қабынуы);
-
Туберкулез;
-
Созылмалы бронхит;
-
COVID-19 инфекциясы кезінде өкпенің зақымдануы.
Бұл ауруларды рентген немесе компьютерлік томография (КТ) суреттері арқылы анықтауға болады. Бірақ кейде дәрігерлердің жүктемесі көп болғандықтан, ауруды байқамай қалу қаупі бар.
«ЖИ дәрігер» моделін құру
Біздің жобада өкпе рентген суреттері негізінде ауруларды анықтай алатын жасанды интеллект (ЖИ) үлгісін жасау қарастырылды. Бұл модельдің басты мақсаты – медициналық мамандарға көмекші құрал ретінде қызмет атқарып, науқастардың өкпе ауруларын ерте кезеңде анықтауға мүмкіндік беру.
Модельді құру кезеңдері:
-
Деректерді жинақтау
Жоба үшін ашық дереккөздерден алынған өкпенің рентген суреттері пайдаланылды. Деректер жиынтығына сау адамдардың және әртүрлі өкпе ауруларына (пневмония, туберкулез, COVID-19 және т.б.) шалдыққан науқастардың суреттері енгізілді. -
Деректерді алдын ала өңдеу
-
Суреттердің сапасы бірдей болу үшін өлшемі реттелді.
-
Артық шуды азайту үшін фильтрация жасалды.
-
Жиынтық теңестіріліп, әрбір класқа тиесілі суреттердің саны шамаластырылды.
-
-
Модель архитектурасы
-
ЖИ үлгісін құруда нейрондық желілер, нақтырақ айтқанда конволюциялық нейрондық желілер (CNN) қолданылды.
-
Бұл архитектура суреттерді тануға тиімді болғандықтан, өкпе кескіндеріндегі ауру белгілерін анықтауға ыңғайлы.
-
-
Үйрету процесі
-
Деректердің бір бөлігі модельді үйретуге, бір бөлігі тексеруге, ал қалғаны сынақ үшін қолданылды.
-
Оқыту барысында модель ауруды анықтаудағы қателерін азайтып, болжам дәлдігін арттырды.
-
-
Нәтижелерді бағалау
-
Модельдің тиімділігі дәлдік (accuracy), сезімталдық (recall), нақтылық (precision) сияқты көрсеткіштер арқылы тексерілді.
-
Алынған нәтижелер ЖИ үлгісінің өкпе ауруларын анықтауда тиімді көмекші құрал бола алатынын көрсетті.
-
Жобаның практикалық маңызы:
-
Дәрігерлерге диагноз қоюда уақыт үнемдеуге көмектеседі.
-
Қателіктерді азайтып, қосымша екінші көзқарас (second opinion) ұсынады.
-
Ауылдық және шалғай жерлерде медицина мамандары жетіспеген жағдайда пайдалы болуы мүмкін.
-
Деректер жинау – ашық интернет дерекқорларынан «сау өкпе» және «ауру өкпе» суреттерін таңдау;


Сау өкпе

Пневмониялы өкпе

COVID-19 пневмониясы
-
Teachable Machine платформасын пайдалану – бұл Google компаниясының тегін құралы, мұнда дайын суреттерді жүктеп, ЖИ моделін оңай үйретуге болады;




-
Модельді оқыту – ЖИ сау және ауру өкпені ажыратуды үйренеді;
-
Нәтижені тексеру – жаңа суреттерді енгізіп, ЖИ-дің дұрыс анықтауын бағалау.
Алынған мәліметтерді талдау
ЖИ моделі сау және ауру өкпенің айырмашылығын 80–90% дәлдікпен анықтай алды. Бұл нәтижелер жасанды интеллекттің медицинада қолданылуы тиімді екенін көрсетті. Әрине, бұл толық дайын медициналық жүйе емес, бірақ осындай үлгі құру – ЖИ технологияларын меңгерудің алғашқы қадамы.
Энергия үнемдеу мен қоғамға пайдасы
ЖИ дәрігердің артықшылықтары:
-
Ауруды ерте анықтау арқылы адамдардың өмірін сақтап қалу;
-
Дәрігерлердің жұмысын жеңілдету;
-
Қоғамның денсаулығын жақсарту;
-
Әлеуметтік маңызы бар – қолжетімді диагностика жасауға мүмкіндік.
Қорытынды
Бұл зерттеу жұмысының барысында біз өкпе ауруларын, әсіресе пневмонияны анықтауда жасанды интеллектіні (ЖИ) қолданудың маңызын қарастырдық. Өкпенің сау және ауру түрлерінің рентген суреттерін салыстыру арқылы пневмонияның негізгі белгілерін айқындауға болады. Дәстүрлі әдістермен салыстырғанда ЖИ технологиясы дәрігерлерге уақытты үнемдеуге, диагнозды дәл қоюға және науқастарға дер кезінде көмек көрсетуге мүмкіндік береді.
Жобаның нәтижесінде:
-
Сау өкпенің ерекшеліктері мен ауру өкпенің (пневмония, COVID-19) белгілері ажыратылды;
-
Жасанды интеллект арқылы суреттерді талдау тәсілдерінің артықшылықтары анықталды;
-
«ЖИ дәрігер» жасау идеясы медицинаның заманауи дамуы үшін өзекті әрі болашағы зор бағыт екендігі дәлелденді.
Осылайша, зерттеу жұмысымыз жасанды интеллектіні медицинада қолданудың тиімділігін көрсетіп, пневмония сияқты қауіпті ауруларды ерте диагностикалаудың жаңа жолдарын ұсынуға мүмкіндік береді.
Пайдаланылған әдебиеттер
-
Қазақстан Республикасы Денсаулық сақтау министрлігі. «Пневмония ауруын диагностикалау және емдеу хаттамасы». – Астана, 2022.
-
World Health Organization (WHO). Pneumonia Fact Sheet. – Женева, 2023.
-
Kermany, D. S., et al. Identifying Medical Diagnoses and Treatable Diseases by Image-Based Deep Learning. Cell, 2018.
-
Rajpurkar, P., et al. CheXNet: Radiologist-Level Pneumonia Detection on Chest X-Rays with Deep Learning. arXiv preprint, 2017.
-
Goodfellow, I., Bengio, Y., Courville, A. Deep Learning. MIT Press, 2016.
-
atamuraweb.kz – Қазақстан мектептеріне арналған оқу-әдістемелік материалдар порталы.
-
kaggle.com – Chest X-Ray Images (Pneumonia) деректер жиынтығы.
-
arxiv.org – Ғылыми мақалалар репозиториі.
шағым қалдыра аласыз













