Мазмұны
І. Кіріспе
-
«Қымыз емге дауа
дертке шипа»0
ІІ.Зерттеу бөлімі
2.1.Туберкулез ауруының басталуы
2.2.Туберкулез ауруын анықтау
2.3.Туберкулез емінің түрлері
2.4.Туберкулез – ем қонатын ауру
2.5.Қымызбен туберкулез ауруын емдеу жолдары
2.6.Қымыздың әлдендіретін қасиеті.
ІІІ. Қорытынды
3.1 Қымыздың туберкулезге емдік қасиеті
Аннотация
Бұл ғылыми жұмыстың тақырыбын «Қымыздың туберкулезге емі» деп атаған.Бұл жобаның кіріспе бөлімінде қымыз емге дауа, дертке шипа екендігі талқыланған. Негізгі бөлімде туберкулез ауруының басталуы , туберкулез ауруын анықтау , туберкулез ауруын түрлері ,қымызбен туберкулезді емдеу жолдары қарастырылған .
Қортынды бөлімде қымыздың қасмеиі туралы Қазақстанда туберкулезбен ауратын адамдар санының азая бастауы аитылған Ғылыми
Жұмыстың тілі , шұрайлы мазмұнды жазылған.
Аннотация
Это научную тему работы "Кумыса туберкулезный средство для лечения" назвал.В этом отделе введения проекта кумыс средству для лечения профилактика, болезни целебность обсуждался.В основном отделе начало больного туберкулеза, туберкулез больного выявлять, туберкулез виды средства для лечения, рассматривал строки туберкулез лечением кумысом.
В заключительном отделе о качестве кумыса и числа людей, которое болеет туберкулезным в Казахстане, уменьшаясь о начинании говорился.Научный язык работы был плодородное, содержание написанным.
Аннотация
Это научную тему работы "Кумыса туберкулезный средство для лечения" назвал.В этом отделе введения проекта кумыс средству для лечения профилактика, болезни целебность обсуждался.В основном отделе начало больного туберкулеза, туберкулез больного выявлять, туберкулез виды средства для лечения, рассматривал строки туберкулез лечением кумысом.
В заключительном отделе о качестве кумыса и числа людей, которое болеет туберкулезным в Казахстане, уменьшаясь о начинании говорился.Научный язык работы был плодородное, содержание написанным.
І. Кіріспе
Қымыздың адам организмін әлдендірумен қоса, оған емдік әсері де бар екендігі ғылыми тұрғыдан анықталып отыр. Емдеу жұмысы күллі санаториялық – курорттық шарттарды тиімді пайдаланып және қымызбен емдеудің нормасын анықтағанда әр адамның жеке ерекшеліктерін ескере отырып жүргізіледі.
Әсіресе қымызбен өкпе туберкулезін емдеу ойдағыдай нәтиже береді. Бұл ауруға шалдыққан адамның белгілі бір дәрежеде зат алмасу процесінің бұзылғаны, тамаққа тәбеті нашарлағаны, кейде шек – қарын жолдары мен жүрек-қан тамырлары жүйелерінің қызметі бұзылғаны байқалады. Ал қымыз болса, осындай функциясы нашарлаған организмдерге қолайлы әсер етеді.
Жалпы емдеу жұмыстарында қымыз айрықша орын алады, дегенмен белгілі бір режим сақтаудың, яғни дұрыс тамақтанудың, бір мезгіл демалып, бір мезгіл серуендеудің де айтарлықтай тиімділігі бар.
Қымызбен емделе бастағанда, оны алғаш аз мөлшерде ішкен жөн. Алғашқы күндері тәулігіне 0,5 литрден артық ішпеу керек.
Егер қымыз жақсы сіңе бастаса, онда оның мөлшерін бірте-бірте көбейтеді. Әсіресе әлсіз адамдарға қымызды аз-аздан көбейтіп берген жөн. Қымызды күнделікті, немесе күнара 0,2-0,5 литрден көбейтіп, кейіннен бойына жақсы сіңетін болса, ауру адамға тәулігіне 2-3 литрге дейін беруге болады.
Әрбір адамның ауруының түріне қарай, оған қымызбен емдеудің режимі жасалады. Ауру асқынған кезде қымызды байқап беру керек. Қымызбен емдейтін курортқа тұрақты қызу температурасы бар (37,50 және одан да жоғары) адамдар жіберілмеуі тиіс. Температурасы көтеріліп, жалпы жағдайы нашарлап жүрген (демігу, әлсіздік, қатты қақырып жөтелу) адамдарға қымыз ем болмайтынын атап көрсеткен жөн.
Туберкулезбен ауырған адамдарды қымызбен емдеу режимінде дәрігердің бақылауымен бір қалыпты дене жаттығуларын жасатудың айрықша маңызы бар. Кей жағдайда ғана болмаса, ауру адамға дене жаттығуларын жасату емдік шара ретінде мұқият жүргізіліп отырылуы қажет.
Туберкулезге шалдыққан, тамаққа зауқы соқпай жүрген адамдар курортқа келіп қымыз іше бастасымен бірнеше күнде-ақ өзінің күндік нормасын түгел тауысып жей бастағанын жиі байқауға болады. Мұндай адамдардың тамаққа тәбеті жақсарумен қатар, олар салмақ қосып, оңала бастайды. Ал кейбір ауру адамдар екі айдай қымызбен емделгеннен кейін 8-12 килограммдай, тіпті одан да артық салмақ қосып қайтады.
Қымыз туберкулезбен ауырған адамның тәбетін жақсартуға, жақсы ұйықтауға және көңіл-күйіне әсер етумен қатар, жүрек-қан тамырлары жүйесі мен өкпенің жұмысына да қолайлы әсер етеді.
Туберкулезбен ауырмайтын мүше жоқтың қасы. Дегенмен ең жиі ауыратын мүше өкпе (90%). Ал, сүйек – буын 4-6 проценттей ауырып, қалғаны бүйрек, ішек, тері, орталық нерв жүйесінде кездеседі. Сонда өкпе неге жиі ауырады екен деген ой әркімді-ақ толғандырады. Бұл жөнінен ғалымдар арасында әртүрлі болжаулар бар. Біріншіден, өкпе нәзік мүше, яғни басқа мүшелердей сырттан келген зиянды заттарды қорытып, қарсы күресу қабілеті нашар, екіншіден, өкпеге ауа арқылы бармайтын зат жоқ, соның ішінде, әсіресе, туберкулез микробактериялары.
Туберкулезбен өкпенің барлық бөлігі бірдей ауырмайды, 70-80 процент мөлшерінде оның жоғары бөлігі ауырады. Мұның себебі өкпенің жоғары бөлігі төменгі бөлігіне қарағанда тыныс алу жұмысына баяу қатысып, сондықтан ауамен келген оттегімен толық қамтамасыз етілмеуінен деп саналады.
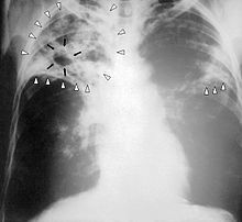
Өкпе туберкулезі алғашқы асқынбаған кезінде рентген арқылы қарағанда қарайған дақ (очаговый, инфильтративный) құсап көрінеді.
Аурудың бұл кезінде адамның өңі қашып, тамаққа тәбеті шаппай, сөйтсе де бұл белгілерге жөнді көңіл бөлмей жүре беруі мүмкін. Осылай жүре келе өкпедегі дақ үлкейіп немесе қуысқа (кавернаға) айналып кетсе, адам түнде терлейді, жөтеледі, қақырады. Әлсіздік пен тамаққа тәбет шаппау онан сайын ұлғайып, кешкі мезгілде дененің қызуы 37,2-37,5 градусқа дейін көтеріліп, кейде қақырықпен бірге қан тастағанда бір-ақ біледі.
Дене қызуы бірден 38-39 градусқа дейін көтеріліп белгі беруі ауру асқынбай-ақ жоғары айтылған қарайған дақ түрінде де, аурудың басқа түрлерінде де байқалуы мүмкін. Әрине, бұл организмнің қабілетіне байланысты. Организм неғұрлым жас болса, туберкулез ауруын солғұрлым қабылдағыш келеді деп айтып кеттік. Мысалы, жас балаларға туберкулез жұққаннан кейін өкпе бездері шошып (бронхоаденит) ауырғанның өзінде өңі қашып, бала жүдеп, тамаққа тәбеті болмайды. Ересек адамдарға қарағанда баланың организміне түскен туберкулез микобактериялары өкпеден қан, лимфа тамырлары арқылы буын-сүйек, ми (менингит), бүйрек сияқты мүшелерге тез тарайды. Тіпті екі өкпенің өзіне де тегіс тарап қара дақтанып гемотогенно – диссеминированный немесе аса қауіпті милиарный деген түріне айналып кетуі ғажап емес. Алайда, қуатты дәрілердің шығуы арқасында аурудың милиарный түрі өте сирек кездесетін болды.
ІІ. Зерттеу бөлімі
Біз адамның көпшілігі туберкулез ауруын әсіресе жас кезінде жұқтырады, бірақ солардың бәрі бірдей ауыра бермейді дедік. Бұл жерде организмнің күш-қуаты, қабылдағыш жағдайы жөнінде сөз еттік. Енді сол организмге ауру жұққан – жұқпағандығын, яғни туберкулез микобактериясының бар-жоқтығын қалай тексеріп білуге болатыны туберкулез ауруын сол белгі бермей жүрген кезінде ертерек анықтау үшін қандай шаралар істеліп жатқаны жөнінде түсінік берелік.
Туберкулез ауруын таяу жылдар ішінде негізінен жою үшін елімізде көптеген шаралар қолданылып жатыр. Коммунистік партия мен өкіметіміздің бұл жөнінде халыққа деген қамқорлығы айрықша.
Туберкулез – әлеуметтік ауру. Сондықтан да жалпы тұрмыс пен мәдениеттің жақсаруымен қатар туберкулез жөнінде құпия жатқан сырларды ашудың үлкен маңызы бар. Туберкулез микобактерияларының организмде бар-жоғын және организмнің қандай жағдайда екенін білу үшін түрлі әдістер бар. Ол сол жас организмді тексеруден басталады.
Қазірде ясли, балалар бақшасында, мектепте Пирке, Манту сияқты (қолдың терісіне) жасалынып жүрген өзімізге белгілі реакциялар жөнінде жоғарыда айтып кеттік. Бұл реакцияларды жасағанда шала-жансар туберкулез микобактерияларды терінің ішіне белгілі бір шамамен жұқтырып, жас организмнің туберкулез ауруына деген қабылдағыш қасиетін тексереді. Егер баланың терісі екінші күндері қызарып ісе бастаса, дәрігерлер сол қызарған жердің көлемін өлшеп, баланың организмінде микобактерияның тірілу қаупі барлығын анықтап береді. Мұндай балаларды ерте бастан режимге дағдыландырып, қажет болса, санаторийға жатқызған жөн. Алайда, алдын-ала қолданған шараларға қарамастан бірлі-жарым балалар туберкулезге шалдығып қалады.
Туберкулезді неғұрлым ерте анықтаудың маңызы зор. Бұл жөнінде көптеген туберкулез диспансерлері мен кабинеттері, поликлиникалар жұмыс істейді.
Егер туберкулезді жаңа басталып келе жатқан кезінде емдей бастаса, ол бірнеше ай ішінде тәуірленіп, екі – үш жылдан кейін мүлдем сауығып, есептен шығуы мүмкін.
Қазіргі жағдайда ерте анықтау үшін негізгі құрал рентген болып есептеледі.[1]
Бізде рентгенге түсудің зияны бар деген ұғым ертеден осы кезге дейін сақталып келеді. Жылына бір-екі рет, кейде одан да көбірек жылдам қарап немесе слюда қағазына түсіріп алғанның адам организміне ешқандай
етпейтіндігі анықталып отыр. Халықты жаппай аз уақыттың ішінде тексеріп шығу үшін көшпелі рентген аппараты – флюрограф іске қосылды. Мысалы, бұл аппараттың көмегімен бір сағаттың ішінде 100 адамның өкпесін суретке түсіріп алуға болады. Егер осындай тексерудің арқасында күмәнді болып шыққан адамдардың диагнозын жете анықтап ашу әрі емдеу үшін диспансерге жібереді.
Сонымен флюрограф аппаратының көмегімен бүкіл халқымызды жыл сайын тексеруден өткізіп тұруға қазір толық жағдай бар.
Туберкулезге қарсы жұмсалатын күшті дәрі-дәрмектер табылғанша сырқат адамды емдеудің негізгі жолы жақсы тамақ, таза ау ғана болатын. Рас, халық арасында басқа да емдер, мысалы, борсық майы, сулема, тұз ерітіп ішу сияқтылар істеліп жүрді. Бұл емдер шынында ерте кездегі медицинаның әлсіздігінен халықтың амалсыздан қолданған емі болатын. Алайда халық емінің кейбір пайдалы түрлерін медицина қазір де қуаттайды. Туберкулез ауруын емдеуде құнарлы ас, таза ауа, қымыз, шұбат, балық майын ішу сияқты дәстүрлі емдерге емдеу мекемелерімізде дәрімен бірдей мән беріліп отыр. Соңғы жылдары жаңа шығып жатқан дәрілердің көмегімен туберкулез ауруынан өлім саны айтарлықтай азайды. Бұрын халыққа айықпас індет болып танылған (құрт ауруы қазірде өзінің мәнін өзгертіп, дәрігердің емін ұқыпты түрде пайдаланса жазылып кететін ауру деп жұрт сенетін болды. Емделіп жазылудың түйіні бірінші жылда, әсіресе жаңадан ауырғандар үшін осы бірінші жылғы емнің маңызы өте зор. Өйткені фтивазид, тубазид, стрептомицин, ПАСК сияқты дәрілерді үзбестен жыл бойы пайдаланғаннан кейін туберкулез микобактериясы дәрілерге бойын үйретіп алып, олардан өле қоймайды.
Туберкулезге қарсы күрес Совет өкіметінің алғашқы жылдарынан бастап-ақ қолға алынды. Денсаулық сақтау халық комиссариатының жанынан туберкулезге қарсы сектор ашылды. Алғашқы совет денсаулық сақтау жұмысының ұйымдастырушыларының бірі З.П.Соловьев: «Туберкулезбен күресу үшін еңбекші халыққа жағдай енді туды» деп жазды. Көп кешікпей туберкулезді емдейтін маман дәрігерлер, фтизиатрлар дайындалып шығарылды. Арнаулы диспансер, санаторийлердің саны көбейіп, 1923 жылдан бастап туберкулез ғылыми зерттеу институттары ұйымдастырыла бастады. Қазақстанда туберкулезге қарсы емдеу мекемелері 1930 жылдардан бастап жұмысқа кірісіп, ал кейіннен ғылыми – зерттеу институты ашылды. Алғашқы кезде туберкулез ауруымен тікелей шұғылданған Морозов М.Е, Төлемісов Д.Ө, Задворных А.М, Барлыбаев А, Зюзин В.И сияқты және басқа көптеген дәрігерлеріміз болды. Бұл дәрігерлеріміздің көпшілігі осы кезге дейін туберкулез ауруына қарсы аянбай еңбек етіп келеді.
Туберкулез ауруына қарсы дәрілердің немесе нәтижелі көмек көрсететін хирургиялық жәрдем болмауы дәрігерлерді өткен ғасырлардан бастап-ақ ойландырды. 1842 жылы Россия дәрігері Зейдлид К.К тұңғыш рет плеврааралық қуысқа (өкпе мен қабырға аралық қуысқа) ауа жіберіп (пневоторакс) емдеу әдісін тапты («Пневмо»- грек тілінде ауа, «торакс» - кеуде деген сөзден шыққан). 1882 жылы Италияның дәрігері Форланини осы әдіспен бірнеше адамды емдеп, пневмоторакс әдісінің әрі қарай дамуына себепші болды. Сөйтіп, 1960 жылдарға дейін пневмоторакс әсіресе біздің республикамыздың жағдайында жиі қооданылып келді. Дегенмен пневмоторакс бір ғасыр бойы бірнеше мыңдаған адамның өміріне арашашы болып келе жатыр. Пневмоторакспен емдеу әдісінің негізгі мақсаты – өкпені ауамын қысып, яғни уақытша (бір-екі жылдай) көлемін кішірейтіп, өкпенің өзгеріске ұшыраған жерін тыныштандырып, жазылуына жағдай туғызу. Егер өкпенің ішінде қуыс (каверна) болса пневмоторакс әдісінің көмегімен және оған қосымша таза ауа, күшті тамақ, дәрілер қолданса, қуыстың орны тыртық болып бітуі мүмкін, осыдан кейін ауа жіберуді тоқтатса өкпе жазылып қайта орнына барады.[2]
Туберкулез жұқпалы ауру болғандықтан қазіргі денсаулық сақтау жұмысында басты мәселелердің бірі болып отыр. Мұның тарихы ертеден белгілі. Ертедегі мысырлықтар мен үнділердің, қытайлықтар мен вавилиондықтардың шежірелерінде адам жүдеп-жадап, жөтеліп қақырық тастап ауыратындығы жөнінде көп айтылған. Бұл ауруды «Фтизио» (чахотка) деп атаған.
Грецияның атақты ғалымы Гиппократ, Рим дәрігері Гален бұл ауруды жұқпалы деп санап, одан жазылу үшін құнарлы тағам, таза ауаның және басқа біреуге жұқпауы үшін ауру адам жеке басының тазалығын мұқиятты сақтауы керек деп есептеген.
1819 жылы бұл ауруды туберкулез деп тұңғыш атаған Француз ғалымы Лаэннек болды. Оның айтуынша туберкулезбен ауырған мүше безденіп, кішкентай бұдырлар пайда болады.
1882 жылы неміс ғалымы Роберт Кох туберкулез ауруының қоздырғышын тапты. Ғалымның бұл еңбегі туберкулез ауруымен күрестің жолын ашып берді. Алғашқы кезде Кох таяқшасы деп аталып, кейін, 1957 жылдан бастап туберкулез ауруының микобактериясы деп аталатын болды. Бұл бактерияны микроскоппен қарағанда ұзындығы 0,8 микроннан 5 микронға дейін, жуандығы 0,2 микорннан 0,5 микронға дейін, түрі таяқша тәрізді болып көрінеді. Суыққа өте төзімді, көлеңке жердегі қар астында үш айға дейін өмір сүріп 80 градустан жоғары температурада 5 минутқа дейін өлмейді. Туберкулез микобактреиясының мұндай шыдамдылығы сыртындағы қабығының қаттылығынан. Осының салдарынан бірқатар басқа микроб, вирус, бактерияларға әсер ететін түрлі қышқылдар Кох таяқшасына әсер ете алмайды.
Міне, туберкулез микрбактериясының осы ерекшелігін ескергенде жақсы сақтану және алдын-ала түрлі шараларды мұқият қолдану керек болады. [3]
Туберкулез көбінесе адамға ауру адамнан жұғады. Адам сөйлегенде, түшкіргенде микроб 1,5-2 метр жерге дейін ұшып баруы мүмкін. Ауыздан шашыраған түкірік шашырандысы тозаңмен араласып, бөлмені сыпырғанда жоғары көтеріліп, тыныс мүшелеріне қайта қонады.
Туберкулез тек адамнан ғана жұғып қоймайды. Соңғы жылдары сүтпен еттен де туберкулез микобактериялары табылып отыр. Сол сияқты асыранды құстардың жұмыртқасы мен етінде де туберкулез микобактериялары кездесетіні анықталды.
Осыған қарағанда, сүт, ет, жұмыртқа секілді азықтарды пісірмей ішіп жеу қауіпті деп білеміз. Әрине, туберкулезбен ауырған малды дер кезінде анықтап, оларды емдеп, бақылау мал-дәрігерлік мамандарының ең басты міндеті.
Туберкулезбен ауырған адамдардың бәрі бірдей маңайындағыларға қауіпті деп қорытынды жасауға болмайды. Ол сырқат адамның түкірігінде туберкулез микобактериясы болса ғана қауіпті. Ол әсіресе жас балаларға тез жұғады. Өкпе ауруын қазақтың ертеден тұқым қуалағыш ауру деп санауының өзі де осы жұғудан шыққан. Кейбір семьяларда туберкулезбен ауыратын адамы бола тұрсада басқалары ауырмайды. Мұның себебі, біріншіден, сырқат адамның үй ішінде өзінің тазалығын сақтап, аурудың алдын алып емделуінен, екіншіден, семьядағы басқа адамдардың организмі қуатты болып, ауру қабылдағыш қасиетінің аздығынан деп білеміз. Туберкулез микобактериясы сау адамдардың да өкпесінен де кездеседі. Бұлар адам организмі әлсіреген кезде немесе үстеп жұқтырған жағдайда ғана бас көтеріп әрекет етеді.
Халық арасында қымызды адамның денсаулығын сақтайтын және жасын ұзартатын сусын деп атайды. Халықтық медицинада оны ежелден бері өкпе ауруына қарсы ем ретінде және созылмалы аурулардан арықтағанда әлдендіретін сусын ретінде қолданып келеді.
Қазақ халқы қымызды қарапайым пеште қыздыру арқылы, ерте кезде одан спирт алған. Сөйтіп қымыз спиртін қызба ауруына және жөтелге қарсы ем ретінде қолданған. Сондай-ақ оны қол-аяқтың ауырған жеріне жаққан. Жайлауға шыққанда ем ретінде етпен, әсіресе қазымен ішкен.
Ягмин қазақ арасында қымыздың шипалы сусын ретінде кеңінен тарағанын атап көрсетті. Оны туберкулезге, құрқұлаққа, қан аздыққа, ас қорытуы бұзылғанда, сондай-ақ басқа да ауруларға қарсы әлдендіретін дәрі-дәрмек ретінде қолданды. Емдеу белгілі бір жүйемен жүргізіледі, ауырған адамға алғаш тәулігіне 5-6 кесе қымыз береді, сосын біртіндеп оны 10-20 кесеге дейін көбейтеді.[4]
Ауру адамның көңіл-күйі мен тұрмыс жағдайы жақсаруы, күнделікті режимді бұлжытпай орындауы қымызбен емдеудегі басты шарт болып саналады.
Қымыздың шипалық қасиеті және емдік мәні жөнінде жазылған алғашқы еңбектердің бірі – Эдинбург корольдік қауымындағы (1784) орыс армиясында қызмет еткен ағылшын дәрігері Хеберлейн болды. Ол туберкулез ауруына ауруына шалдығып, емделу үшін 13 жыл бойы қымыз ішкенде құлантаза жазылып кеткен. Алайда оның байқаулары ХVІІІ асырдың аяқ кезіне жатса да, тек 1811 жылы ғана латын тілінде басылып шықты.
Қымызды емдік мақсатта қолдану жөніндегі алғашқы орыс деректері жазушы С.Т.Аксаковтың «Семья хроникасы» кітабында баяндалды. С.Т.Аксаковтың шешесі Уфа дәрігерлерінің, оның ішінде доктор Авенариустың ұсынысы бойынша 1781 жылы башқұрттың Ұзынтамақ деревнясында қымыз ішіп туберкулезден емделген. С.Т.Аксаков қымызбен емдеуді былай сипаттап жазады: алғашқы кезде дәрігер қымызды аз мөлшерде ішуді ұсынды. Ауру адам күндіз біраз сағат көлеңкеде жатып, орман-тоғайдың хош иісті ауасымен тыныстап, кейде ұйқыға бөленді. Үш аптадан кейін ол түрегеп жүре алатын халге жетті. Енді дәрігер Авенариус қымызды беру мөлшерін көбейтті, ал қымызды бойға сіңіруі үшін салт атпен серуендеуді ұсынды. Мұнымен қоса, ауру адамға басқа тағам – семіз қой еті берілді.
Қорытындысында Аксаков былай деп жазды: «Дәрігер Авенариус қымыз ішуді тұңғыш рет ұсынып, емдеу барысын басқарған адам, оның қуанып, мақтануына толық хақы бар».
Сонымен, С.Т.Аксаковтың 1781 жылға жататын бұл жазбасы қымызбен емдеудің отандық тарихшы шет елдік дәрігерлер – шотландық Грив пен ағылшындық Хеберлейннің еңбектерінен емес, ХVІІІ ғасырдың екінші жартысында қымызбен емдеуді ұйымдастыру жөніндегі Уфа дәрігерлерінің тәжірибесінен басталған деп жорамалдауға толық мүмкіндік береді.
Қымыздың емдік қасиеті жөнінде ХІХ ғасырдың бірінші жартысында орыстың медициналық журналдары жазып тұрды. Онда Н.Шванскийдің, П.Скворцовтың, В.Дальдің мақалалары жарияланды. Мәселен, П.Скворцов 1841 жылы былай деп жазды: «Қымыз, басқа да дәрі-дәрмек сияқты, қатты қабынып зақымданған өкпені жаза алмайды. Бірақ ауруды емдейтін табиғат күшін арттыра түсетіндей жағдайда ғана қымыз маңызды шипалы көмегін бере алар еді. Бұл жағдайдың өзінде қымыз аса бағалы шипалы дәрі екендігін табиғат және тәжірибе бізге көрсеткенін тым әсерлемей-ақ айтуға болады».
Орыс дәрігері В.И.Даль де осындай пікірде болды. Ол қыстан екі жағы сорайып жүдеп-жадап шыққан көшпелілердің көктемнің алғашқы аптасында-ақ қымызға аузы тиісімен өзгеріп кететіні сондай – тіпті өз таныстарыңды тану мүмкін еместігін айтады. «Қыстан жүдеп шыққан адамды әлдендіретін және қанша ішсе де тәбетін қайтармайтын қымыздың орнына жүретін сусын ойлап таба қою, сірә, қиын шығар» деп жазды Даль.[5]
Өткен ғасырдағы орыстың ұлы ақындары мен жазушылары қымыздың қасиетін өте жоғары бағалады. Лев Николаевич Толстойдың 1870 жылы Самара даласында қымызбен емделгені жөнінде деректер бар. Жазушының баласы С.Л.Толстой өзінің естеліктерінде былай деп жазды: «оған қымыздың шипалық әсері өте күшті болды». Әкем өзінің башқұрт киіз үйіндегі робизондық өмірін шаттана айтып отыратын. Әкем мұндай ортада болғанына мейлінше риза еді. Ол өзінің башқұрттық ескі досын үнемі қымыз ішуге шақырып тұратын. Бір күні сол башқұрт киіз үйін және он шақты сауын биесін ала келді».
Г.а.Захарин қымыз тек туберкулезге ғана емес, тамаққа зауқы соқпай жүдеген адамдарға да шипалы деп есептеді. Сонымен қоса, оның пікірінше, қымызды нерв жүйелерінің әлсіреуіне қарсы да ойдағыдай пайдалануға болады. Бірақ оның пікірінше қымызбен емдеуді дала жағдайында өткізген жөн, өйткені оны қалаларда пайдалану онша көп нәтиже бермейді.
Н.В.Склифосовскийдің пікірінше, қымыз көкірек ауруларын ойдағыдай емдеумен қатар, оны созылмалы ауруға шалдығып, қаны азайған әрі тамаққа зауқы соқпаған адамға да берген пайдалы.
Әдебиеттерде Қазақстанның солтүстігіндегі Ақмола, Көкшетау, Семей облыстарында қымызбен емдеу ісі ұйымдастырылғаны айтылады. 1913 жылы дәрігер Гогниев Бурабай курортында қымызды торсықта ашыту әдісін толық сипаттап жазды. Ол Бурабай қымызын Сібірдегіге қарағанда әлдеқайда жақсы деп есептеді, өйткені онда жұмысқа пайдаланылмайтын биелер көп, мал жайылымы да жеткілікті.
Қымызбен емделуді жақтаушылардың жаппай насихаттауы және оның емдік қасиетінің толық анықталуы нәтижесінде жыл сайын қымызбен емделетін жерлерге туберкулезбен ауырған адамдар ағылып келе бастады. Емделушілер, Уфаға, Орынбор, Самара даласына келіп, көшпелілердің киіз үйіне орналасты, қой етін жеп, тоя қымыз ішіп, атқа мініп серуендеді. Алайда мұның өзі жөнді ұйымдастырылмағанды, сондықтан да оның біраз көлеңке жақтары бар еді.
Қымызбен емдейтін алғашқы санаторий 1858 жылы Самарадан (қазір Куйбышев қаласы) алты километр жерде ашылды. Оны ұйымдастырған және үзбей 55 жылдай басқарған доктор Н.В.Постников болды.[6]
Нестор Васильевич Постников (1821-1913) 1846 жылы Москва университетінің медицина факультетін бітірді. Алғаш ол университетте прозектор, сосын Петербургтегі жұмысшылар емханасының дәрігері болып істейді. 1854 жылы диссертация қорғап, медицина докторы атағын алды. Жас ғалым бірнеше жыл бойы қымыз және онымен емдеу жөніндегі мәселелермен тынбастан шұғылданды. Ол «Қымыздың, оның қасиеті мен адам организміне тигізетін әсері» деген кітапшасында бұл сусынның шипалық қасиетіне толық тоқталып, емдік рөлі жөнінде: «қоректендіреді, қуаттандырады, өзгертеді» деп қысқаша сипаттап берді.
Қазақстанда қымызбен алғашқы емдеу орны дәрігер П.Н.Емельяновтың басшылығымен 1910 жылы Бурабайда ашылды. Мұнда қазақтар қымызды сабада ашытты және оны Сібірдегі ең жақсы қымыз деп есептеді. Сол 1910 жылы темір жол қызметкерлеріне арнап Торғай облысында қымызбен емдейтін Бершүгір емханасы ашылды.
Қазіргі кезде республикада қымызбен емдейтін 10 санаторий жұмыс істейді. Қымызбен емдеу ісі арнайы құрылған санаторий мекемелерінде гигиеналық – диеталық режимдерді және жаңа емдеу әдістерін ғылыми тұрғыда қолдана отырып жүргізіледі. Қымызбен емдейтін санаторияларға жіберілетін адамдарға қымыздың тигізетін пайдасы мен зияны клиникалық байқау арқылы жете зерттелді, сондай-ақ қымыз ашытудың технологиясы мен механизациясы жетілдірілді.
Сүт пен сүт тағамдарының адамды әлдендіретіні белгілі. Адам организміне сиыр сүтіндегі белоктың шамамен 92 проценті, майдың 95 проценті және көмірсудың 100 проценттейі сіңеді. Әсіресе сүт тағамдарындағы белок толық құнды келеді, өйткені онда организмге қажетті амин қышқылдары (триптофон, метионин, лизин т.б.) бар екендігі белгілі.
Осыдан жарты ғасырдай бұрын орыстың көрнекті ғалымы И.И.Мечников адамның қартаюына шек уларынан организмнің улануы басты себеп болады деп алғашқы пікір айтқан еді. У негізінен көптеген шіріткіш бактериялары бар тоқ шекте пайда болады. И.И.Мечников көптеген халықтардың тұрмысын бақылай отырып, Балқан елдерінің тұрғындары ұзақ өмір сүретіндігін атап өтті. Өйткені бұл елдердің адамдары сүт тағамдарын, соның ішінде айранды көп пайдаланады. Ол болгар айранын зерттегенде, онда қышқыл құрайтын қасиеті бар сүт қышқылы таяқшаларының басым екендігін байқады. Мечников оны «болгар таяқшасы» деп атады. Ол осы табыл,ан болгар сүт қышқылды бактериясының шіріткіш микрофлоралардың өсуін тежейтіндігін және айранды өне бойы ішіп тұрғанда шектегі шіру процесінің тоқталатындығын дәлелдеді. Адамның жасын ұзартып кәрілікке қарсы күресу үшін И.И.Мечников болгар айранын үзбей ішіп тұруды ұсынды. Өйткені болгар айранындағы сүт қышқылдары жоғарыда айтқандай, шектегі шіріткіш бактериялардың өсуін тежейді.[7]
Осыдан кейінгі зерттеулерде болгар таяқшасының адам шегінде ұзақ тіршілік ете алмайтындығы анықталды. Сондықтан ғалымдар оның басқа түрлерін іздестіруді ойлады. Ақыры, 1903 жылы дәрігер – микробиолог И.О.Подгаецкий емшектегі баланың шегінен жаңа бактерия таяқшасын тапты. Бұл өзінің қасиеті жөнінен болгар таяқшасына жақын келеді, оны ацидофиль таяқшасы деп атады. Ол дүние жүзіне кеңінен тарап, қышқыл сүт тағамдарын даярлауға пайдаланылды.
Сүттің қоректілігі әсіресе оны ұйыту және ашыту нәтижесінде арта түсетіндігі белгілі. Бұл жағынан алғанда қымыздың басқа қышқыл сүт тағамдарынан елеулі айырмашылығы бар.Табиғи қымыздың өзі – құрамында тіршілікке қажетті элементтері бар ашитын сусын, бұл қоректі заттар организмге едәуір сіңімді боп әзірленген. Сонымен қоса, бие сүтінде әртүрлі витаминдер болғандықтан, одан даярланған қымыз нәрсіз тамақтардан болатын аурулардан сақтандырады.
Тамақта витаминдердің жеткіліксіздігінен және мүлде болмауынан құрқұлақ, мешел, нервтің кеселденуі, суқараңғы және басқа да аурулардың пайда болатыны белгілі. Организмде В тобына жататын витаминдердің жеткіліксіздігі тез шаршау, жөнді ұйықтай алмау, тітіркену сияқты әр түрлі нерв кеселдерін қоздырады. Орыс дәрігері В.И.Даль ХІХ ғасырдың бірінші жартысында-ақ қымыздың құрқұлақ ауруына қарсы әсері бар екендігін аңғарған. Бұл витаминдердің анықталуынан 80 жыл және бие сүтінен С витаминінің табылуынан 100 жыл бұрын болған.
Қымыздың биологиялық құндылығына, ондағы толық құнды белоктар, липоидтар, жеңіл сіңетін майлар, В тобындағы витаминдер, сүт және көмір қышқылдары, ең бастысы С витаминдерінің көп болуы көп әсер етеді. 1 литр қымызда 200-260 мл С витамині бар. Ал бұл витаминнің дені сау адамға ең аз тәуліктік нормасы 50 мг. Соңғы жылдары совет ғалымдары қымыздан ежелден белгілі А,В,С витаминдерімен қоса В2,В12, РР витаминдерін де тапты.
Қымыз құрамындағы витаминдердің туберкулез ауруын емдеуде айрықша маңызы бар. Туберкулезбен ауырған адамдарда витамин алмасуы бұзылатындығы анықталған. Сондықтан дені сау адамға белгіленген витамин нормасы ауру адамға жеткіліксіз.
Қымыз организмге жан-жақты әсер етеді. Оның ас қорыту органдарының қызметіне, жүрек-қан тамырлары аппаратына, нерв жүйелеріне және басқа да органдарға қолайлы әсері бар. Қымыздың әсерінен күллі организм жаңарады, оның физиологиялық және биохимиялық процестері жанданады немесе зат алмасуы қалпына келеді.
Сиыр немесе бие сүтіне қарағанда қымыздың ас қорыту жолдарындағы бездердің шырын бөлуіне өте күшті әсер ететіндігі қазіргі кезде толық анықталып отыр. Мәселен, тамақтанар алдында, немесе тамақ үстінде аз мөлшерде (50-100мл) ішкен қымыздың өзі, тамақтанғаннан кейінгі 20-30 минуттан соң ішкенге қарағанда, ас қорыту бездерінің шырын бөлуін едәуір күшейтеді. Осыған сүйене отырып, қарын шырынында бос тұз қышқылы жоқ не жеткіліксіз, ауру адамға тамақтанар алдында немесе тамақ үстінде аз мөлшерде (100-200мл) қымыз ішкізу ұсынылады.[8]
Алайда, қымыз қышқылдығы бір қалыпты немесе төмен адамдарға ғана қолайлы әсер етеді, ал қышқылдығы жоғарыларға бергенмен жөнді сіңбейді. Алайда қарын шырынының қышқылдығы жоғары адамдарға қымыз мүлде ем болмйды деген пікір тумауы тиіс. Кейде мұндай адамдарға да қымыз беруге болады.
Қарынның шырын бөлуіне қымыз әсер етумен қатар, оның жиырылып-созылуына, яғни ондағы қорытылған астың дер кезінде шекке түсуіне ықпал етеді.
Мәселен, қарын сөлінің секрет бөлуі мен оның қышқылдылығын күшейту үшін, қымызды тамақ ішердің алдында немесе тамақ ішерден жарты сағат бұрын ішу, ал қарын сөлінің секрет бөлуі мен қышқылдылығын азайту, үшін қымызды тамақтанардан бір жарым –екі сағат бұрын ішу ұсынылады. Қымыз ішудің осындай нормасы мен диэтін бұлжытпай орындаса, мұның өзі қарын сөлінің қышқылдылығын қалпына келтіруге айырықша ықпал етеді. Сондай-ақ қымыз қарын мен ішектің секрет бөлуін қоздырып, сүтке қарағанда, оргаизмге тез сіңетін болғандықтан, белгілі бір дәрежеде қарын сөліндегі жетіспейтін тұз қышқылын да толықтыратындығы толық дәлелденді деуге болады.
Қымыздағы сүт қышқылдары тағам құрамына жататын белоктардың, майлардың, әр түрлі қанттардың жақсы сіңуіне әсер етеді. Ал ондағы көмірқышқылы мен алькоголдың аз мөлшерінің өзі ас қорыту бездеріне әсер етіп, қарын шырынының бөлінуін күшейтеді. Сол себепті қымыз ішкен адамның тәбеті ашылып, шек қарын жолдарының қызметі жақсара түседі. «Тәбет дегеніміз – қарын шырыны» - деп атады орыстың көрнекті физиологы И.П.Павлов. Қазақтың халықтық емінде ежелден бері қымызды іш қаталағанда және өткенде қолданып келді. Қымыздың шамалы ашығаны іш жүргізеді, ал күшті ашығаны іш өтуін тыйады. Минералды сумен емдейтін курорттарда шек қарын ауруларын емдеуге қымыз жақсы сусын, дәрі-дәрмек болып саналады. Мұндай жағдайда құрама емдеу әдісін яғни қымызбен минерал суды бірге ішкен тиімді келеді.
Адамды қымызбен емдегенде, оның жүрек-қан тамырлар жүйесіне едәуір күш түседі. Қымызды іше салысымен адамның тамыр соғуы жиілеп, қан қысымы жоғраылайды. Байқауларға қарағанда қымызбен емдеу мерзімі біткеннен кейін тамыры баяу, бірақ толық соғады, жүрек әдеттегі физикалық физикалық қалыпты ауырлықты жеңіл көтереді. Сонымен қоса, қымызбен емдеу қанның құрамына және қан құрауға да қолайлы әсер етеді, атап айтқанда, ақ және қызыл қан түйіршектерінің мөлшері артады.[9]
Қымыздың нерв жүйесіне жақсы әсер ететін себебі онда алькоголь, сүт қышқылы және көмірқышқыл газы бар. Қымызды ішкеннен кейн алғашқы сәтте аздаған қызу пайда болып, адам ептеп мас болады, сосын (1-2 сағат өткен соң) ол айығып, ұйқы келеді. Қымыздан болған қызудан адамның жүрек айнуы, құсуы т.б. белгілері болмайды. Ал қымыз ішкеннен кейін ұйықтап тұрған адам өзін өте сергек сезінеді, тек кейде бойы дел-сал тартады.
Нерв жүйесі тез қозатын, әрі спиртті ішімдіктерді көтере алмайтын адамдарда, кей жағдайда, қымыз ішкенде мазасы кетіп, ұйқысы қашуы, басы ауруы, басы айналуы, қолайсыз белгілер байқалуы мүмкін. Мұндай белгілер байқалғанда ауру адамға қымыз беруді дереу тоқтату керек.
Адамның бұрын қандай індетке шалдыққанына, операция жасалғанына қарамастан қымызды күрт жүдеп арықтағандарға, қаны азайғандарға және әлсірегенде оргаизмнің жалпы күйін ескере отырып қолдану ұсынылады.
Т
уберкулез (лат. tuberculum – төмпешік), ескіше: құрт
ауру, көксау – адам мен жануарларда болатын созылмалы жұқпалы ауру.
Туберкулездің қоздырғышы – микробактерияны
(“Кох таяқшасын”) неміс
микробиологы Р.Кох (1843 – 1910) ашты (1882). Туберкулез
микобактериялары жіңішке, түзу не сәл иіліп келген таяқшалар,
ұзындығы 1 – 10, ені 0,2 – 0,6 мкм.
Туберкулез ауруы көне заманнан белгілі. Ауру белгілері бұдан 7 мың жылдай бұрын неолит кезеңіндегі адам сүйегін зерттегенде табылған, біздің заманымыздан бұрын 3 – 2-мыңжылдықта египет мумияларынан анықталған. Туберкулездің клиникасы туралы алғашқы деректер 2 ғасырда өмір сүрген каппадокиялық дәрігер Аретейдің (Aretaіos) еңбектерінде кездеседі. Одан кейін Гиппократ, Гален, т.б. ғалымдардың еңбектерінде де Туберкулез ауруы еске алынады. Бірақ олар Туберкулезді жұқпалы ауру қатарына жатқызбаған. Ал Әбу Әли ибн Сина өзінің “Дәрігерлік ғылымның каноны” деген еңбегінде Туберкулезді тұқым қуалайтын аурулар қатарына жатқызған. Туберкулездің жұқпалы ауру екенін бірінші рет италиялық ғалым Дж.Фракасторо (1478 – 1553) дәлелдеді.[10]
Жұқпалы аурудың тарайтын негізгі көзі – науқас адамнан түскен микробтары бар қақырық. Сау адамға ол негізінен Туберкулезбен ауырған адам түкірген қақырықтың ұсақ сұйық тамшылары арқылы не кепкен түйіршіктерін ауамен бірге жұтқанда; сирек жағдайда – Туберкулезбен ауырған үй жануарларының сүтін шикілей ішкенде, етін шала пісіріп жегенде жұғады. Организмге Туберкулез таяқшасының енуі ауруға себепші болғанымен, оның толық дамуы үшін жеткіліксіз. Адамдар Туберкулезбен бұрын науқастанып, организмнің иммунитеті төмендегенде, дұрыс қоректенбегенде (әсіресе мал өнімдерінің белоктары, витаминдер тапшы болғанда), санитарлық-гигиеналық жағдайлар дұрыс сақталмағанда, сондай-ақ аурумен ұзақ уақыт бойы араласқанда ауырады. Туберкулез көбінесе 3 жасқа дейінгі балаларда пайда болады, өйткені оларда ауруға қарсы иммунитет әлі де нашар дамыған, сондай-ақ жасөспірімдерде жыныстық жетілу кезеңінде пайда болады. Туберкулез негізінен тұқым қуаламайды. Туберкулезбен ауыратын адамдардың, әдетте, балалары ауру болып тумайды. Бірақ Туберкулезбен ауыратын ата-ана дер кезінде емделмесе, аурудан сақтану ережелерін дұрыс сақтамаса, дертті баласына жұқтырып, баланың Туберкулезбен ауруы мүмкін.
Туберкулездің ашық және жабық түрлері болады. Ашық түрінде қақырықта Туберкулез таяқшалары болады, сондықтан Туберкулездің мұндай түрімен ауыратын адамдар өте қауіпті деп есептелінеді. Ал жабық түрінде қақырықта Туберкулез таяқшалары болмайды, бірақ дерт асқынатын болса, Туберкулездің мұндай түрімен ауыратын науқастар да ауру жұқтырады. Туберкулез таяқшалары әр түрлі органдарды, көбінесе өкпені зақымдайды. Аурудың біліну сипаты Туберкулездің түріне, науқастың жасына, организмнің жалпы жағдайына байланысты. Аурудың ортақ белгілері: дене қызуының көтерілуі, түнге қарай көп терлеушілік, ұйқының қашуы және тәбеттің нашарлауы. Науқас жүдеп, ашуланшақ келеді, жұмысқа қабілеті төмендейді. Туберкулез таяқшалары түскен жердің тінінде кішкентай төмпешіктер пайда болады. Адам организмі сауыға бастаса мұндай төмпешіктер жойылып кетеді. Кейде бұл төмпешіктердің сырты қатты затпен қоршалып, беріштенеді. Мұны некроз ошағы деп атайды. Адам организмі әлсіреп, некроз ошағына қолайлы жағдай туса, сол жерде каберна (қуыс) пайда болады. Осы қуыста Туберкулез таяқшалары дамып, кеңірдек арқылы өкпенің басқа бөліктерін зақымдайды. Мұндай науқастардың қақырығында микобактериялар мол болып, қақырыққа қан араласуы, тіпті қан кетуі де мүмкін.
Ауруды әр түрлі әдіспен анықтайды. Туберкулезді ертерек анықтау мақсатымен балаларға тері астына дәрі жіберіп, жаппай тексеру жүргізіледі (Манту реакциясы). Халықты жаппай флюорографиялық (рентгенологиялық жолмен) тексерудің маңызы зор.
Туберкулезге қарсы арнайы егу (БЦЖ) жүргізіледі, ол сәби дүниеге келгеннен 3 – 5 күннен кейін іске асырылады. Ауруды емдеудің терапиялық, хирургиялық, т.б. әдістері табылып, күнделікті дәрігерлік жұмыста қолданылатын болды. Санаторийлерде емделу өте пайдалы. Қазақстанда Туберкулезге қарсы жұмысты Туберкулез мәселері ұлттық орталығы үйлестіріп отырады. Әрбір облыс орт-нда арнаулы диспансер, жергілікті жерлерде олардың бөлімшелері жұмыс істейді. Республика Туберкулезге қарсы қажетті дәрі-дәрмекпен, емдеу орындары төсек-орынмен жеткілікті қамтамасыз етілген.
ТУБЕРКУЛЕЗ
- Бұл aғзағa туберкулез бактериялары түсіп дамитын жұқпалы ауру.
- Ең алдымен өкпе залалданады, кейде ми мен оның қабықшалары, омыртқа, бүйрек, лимфа туйіндері, буын, жыныс мүшелері және басқалары залалданады.
- Жұқтыру негізі туберкулезге шалдыққан адам болып табылады.
ТУБЕРКУЛЕз НЕЛІКТЕН КАУІПТІ АУРУ БОЛЫП ТАБЫЛАДЫ.
- Жылсайын 8,8 миллион адам туберкулезбен аурады
- Ем қабылдамайтын әp6ip наукас 10 адамнан 15 адамға дейін ауруын жұктырады
- Туберкулезге шалдыққандардың 75% 20 - 40 жастағы адамдарды кұрайды
- Жылсайын 2 миллион адам қайтыс болады
- Туберкулезді дуниежүзінде әр секундта 1 адам жұктырады
- Жұқтырғандардың тек 5 -10%-ында ғaнa ауру дамуы мумкін
Егер ауру адам жөтеліп түшкірсе, туберкулез қоздырушысы ayaғa түседі. Залалданған ауамен айналадағы адамдар демалатын болса, бактериялар тыныс алу жолдарымен өкпеге түседі. Туберкулезді осылайша жүқтыруға болады.
ТУБЕРКУЛЕЗ БАКТЕРИЯЛАРЫ ҰЗАҚ САКТАЛАДЫ:
- қалыпты жағдайда күннің көзінің болмауы - бірнеше ай;
- жарық тapaлғaн болса - 1-1,5 ай;
- көше шаңында - 10 күн;
- кiтan беттерінде - 3 ай;
- суда - 5 ай;
- сүт тағамдарында - 8 ай.
ТУБЕРКУЛЕЗ БАКТЕРИЯЛАРЫ ӨЛЕТІН ЖАҒДАЙ:
- күн сәулесіне шалдығу - 1,5 сағат;
- ультракүлгін сәулесінің әcepi - 2-3 мин.;
- сүтті қайнатқанда;
- күнсайын бөлмені желдеткенде;
- ылғалды шүберекпен бөлмені сүрткенде.
АДАМ АҒЗАСЫНА ТУБЕРКУЛЕЗ БАКТЕРИЯСЫНЫҢ ТҮСУ БАРЫСЫНДАҒЫ НЕГІЗГІ МӘНДІ БОЛАТЫНЫ:
- Жұқпаның көптігі, мөлшері, адам ағзасына туберкулез бактериялары түcyiнің ұзақтығы.
- Иммунитет туберкулез бактерияларынан қорғануға қaншaлықты дaйын.
Туберкулез бактериялары кез келген мүшеде көбейеді, 6ipaқ. өкпенің жоғарғы бөлігінде жиі кездеседі. 2 - 10 аптада ағзаның иммундық жуйесі көбеюмен микробактериялардын әpi қарай таралуын тоқтатады.
АУРУДЫҢ ДАМУЫНА ӘСЕР ЕТУШІ ФАКТОРЛАР
- Жүргізілетін фактор-иммунитеттің әлсізденуі. Жеткіліксіз тамақтану;
- Қосымша ауыр түрдегі ауру (АҚТҚ, қант диабеті, ойық жара ауруы және т.б.);
- Қатты тоңазу;
- Зиянды әдеттер;
- Созылмалы күйзелу жағдайлар.
ЗИЯНДЫ ӘДЕТТЕР МЕН БАСҚА ДА ЖАҒДАЙЛАР ТУРАЛЫ
Кез келген зиянды әдеттер-темекі шегу, ішімдік iшy, наша шегу, дені cayaғзaғa да әcepi нашар.
Туберкулезге шалдыққандар аурудан айығып кетуі қиындыққа түседі.
ТУБЕРКУЛЕЗДІҢ ДАМУ БАРЫСЫНДА ТӨМЕНДЕГІДЕЙ БЕЛГІЛЕР ПАЙДА БОЛУЫMYMKIH:
- екі аптадан артық уақытқа созылған жөтел,
- әлсіздік,
- дене қызуының көтepiлуi,
- тершендік,
- тәбеттің нашарлауы,
- жүдеу,
- шаршағыштық,
- кеуде тұсының ауыруы.
- қан аралас қақырықтын түсуі,
Ағзаның жаксы қорғану күші барысында туберкулез бактериялары салауатты ұлпалардан жекеленеді, айнала тығыз қабықша дамып, аурудың дамуы токтатылады.
АУРУДЫҢ БЕЛГІЛЕРІН БАЙҚАҒАН ЖАҒДАЙДА НЕ ІСТЕУ КЕРЕК
1. Тексерілу үшін тұғылықты және оқу орны бойынша медицина мекемесіне бару.
2. Бұл қалалық емханалар, ОДА, студенттер үшін - №3 емхана.
3. Уақытында анықталған туберкулез - ойдағыдай айығып кетудің кепілдігі.
ТУБЕРКУЛЕЗДІ ЕМДЕУГЕ БОЛАДЫ
ТУБЕРКУЛЕЗ ТЕГІН ЕМДЕЛЕНЕДІ
ТУБЕРКУЛЕЗДІҢ АЛДЫН АЛУ СПЕЦИФИКАЛЫҚ ЖӘНЕ СПЕЦИ-ФИКАЛЫҚ ЕМЕС TYPЛЕРI
Спецификалық:
- вакцинация және БЦЖ ревакцинациясы
Спецификалық емес:
- салауатты өмір салты
- тиімді тамақтану
- дене шынықтыру белсенділігі
- зиянды әдеттерден бас тарту
Астана қаласы туберкулезге қарсы диспансердің 2011-2012жж. туберкулезге қарсы қызметті жетілдіруі.
Астана қаласы «Туберкулезге қарсы диспансері» МКҚК 2012 жылдың қаңтар айынан бастап:
1. Ересектер және балалар диспансер бөлімшесінің емханалық қызметі қайта құрылымдалды. Туберкулез дертімен ауыратындармен қатынаста болмау мақсатында Астана қаласының барлық емханаларында фтизиопедиатрлар қабылдауы енгізілді;
2. Омыртқа және ірі буындар туберкулезіне, перифериялық лимфа түйіндеріне операция жасап қайтадан қалпына келтіретін остео- хирургиялық бөлімше ашылды. Бөлімше 20 төсекке есептелген.
Остео - хирургиялық бөлімше меңгерушісі медицина ғылымдарының кандидаты, жоғары санатты дәрігер, Н.Ә.Назарбаев атындағы степендиат Дүйсенбаев Әділет Қизатұлы шетелден алған тәжірибесіне сүйене отырып, туберкулезбен зақымданып операция жасалған кез келген жастағы пациенттерді қайта қалпына келтіру мақсатында жоғары технологиялық шұғыл емдеу әдісін енгізді.
Бұл араласудың басты мақсаты тек қана патологиялық сүйек ошағын алып тастау ғана емес, тірек қабілетін, буын қимылын қалпына келтіріп, пациент өмірін сапалы жақсарту. Омыртқа мен ірі буын туберкулезі стадиясы процессіне диагностикалық және декомпрессивті араласудың жаңа әдісі енгізіліп, кеңінен пайдаланылуда. Омыртқаның барлық бөліктеріне, зақымданған омыртқа денесінің алдыңғыбөлігіне инплантант қолданып ауыстыруға қолайлы операция жасау тұрақталды (трансторкальді, жамбастантыс).
Бөлімшеде қосымша омыртқаның арт жағын ілгекпен жүйелеп бекіту әдісі енгізіліп қолданылуда бұл зақымданған омыртқа бөлімін тұрақтандырып,науқастың белсенділігін ерте арттырады.
3. Диспансердің клиникалық зертхнасында туберкулезді микробиологиялық диагностикалаудың заманауи тәсілдері қолданылады:
1) Туберкулезді микробиологиялық диагностикалаудың жылдамдатылған тәсілі және МБТ туберкулезге қарсы препараттарға (ВАКТЕК) сезімталдығын тездетіп анықтайды (микобактерияның детекциясы үшін және оның дәрілік препаратқа сезімталдығын анықтайтын толық автоматтандырылған жүйе ):
- жылдам және нақты нәтиже
- сезгіштігі жоғарыфлуоресцентті технология
- эксплуатациялаудың қарапайымдығы және ыңғайлылығы
- бактериологиялық зерттеу стандартизациясы
- дәріге сезімталдық нәтижесінің автоматты интерпретациясы (ЛЧ)
- 1- және 2- қатардағы препаратқа дәрілік сезімталдықты аықтау мүмкіндігі
- бір уақытта 960 үлгіні зерттеу ( жылына 8000тест )
- жұмыс кезінде персоналдың жоғары дәрежедегі қауіпсіздігі
- компьютерлік мәлімет базасына және зертханалық ақпарат жүйесіне қосылу мүмкіндігі
2
) Туберкулезді молекулярлы - генетикалық диагностикалау
әдісі (Наіn
-
тест). НаіnLіfescenіce тест - жүйесінің
артықшылығы:
- жұмыстың қарапайымдылығы
Реагент жұмысы үшін қажет барлық набор қосылады
- әсіл үмітті
Спецификалық процедура комбинациясы амплификация және гибридизациясы жұмыс кепілділігіне үміт арттырады
- нәтиже шапшаң алынады 1-2күн ішінде
- сезімталдық және тек өзіне тәндік жоғары екенін тәуелсіз мамандар бүкіл әлемде дәлелдеген.
Туберкулез - адам ағзасына туберкулез таяқшаларының енуінен пайда болатын жұқпалы ауру. Сондай-ақ туберкулез ге ми, ми қабықшасы, сүйек, буын, лимфа бездері, бүйрек , жыныс ағзалары, көз, ішек және басқа ағзалармен мүшелер шалдығады. Туберкулез бен ауырғандардың 75% 20-40жас аралығындағы еңбекке жарамды және балалы болатын жастағылар. Бүгінде туберкулез ге шалдыққандардың басым көпшілігін аурудан толық айықтыруға болатыны дәлелденген. Егер ауруды анықтау, емдеу жұмыстары дұрыс ұйымдастырылып, үзіліссіз жүргізілсе бұл ауру толық жазылады.
Туберкулез таяқшалары ауа арқылы тарап, оны жұқтырып алған адамдардың өкпесінде өсіп жетіліп, көбейеді. Алғашқы өкпе тіні қабынып, ыдырайды да орында қуыстар пайда болады. Осында қуыстарда сақталған миллиондаған таяқшалары ауру адам сөйлегенде, түшкіргенде ортаға шашырап тарайды.
Туберкулез таяқшасы ауада ұзақ
уақыт нашар желденетін орында болса, сол жердің ауасына көп тарап,
басқа адамдардың тыныс ағзасына түседі.
Туберкулез кез келген адамға жұғуы мүмкін, әсіресе балалар мен егде
жастағылар үшін қауіпті.
Туберкулез ауруы қалай басталады?
Бүгінде туберкулезбен ауырғандардың 50% кешігіп анықталуда, ал олардың 10% ауыруын өте асқындырып алғандар, арасында ауруы жазылмайтын түрге өтіп кеткендер кездеседі.
Өкпе тіні – туберкулез
таяқшаларының өсіп жетілуіне ең қолайлы орта. Алғашқыда өкпе
қабынып, онда туберкулез бұдырлары пайда болып, іріңдейді де, ірің
қақырық түрінде кеңірдек, қолқа арқылы сыртқа бөлініп шығады
Туберкулез -баяу дамитын, ұзаққа созылатын ауру. Бірақ оның жылдам
басталатын жедел түріде бар. Туберкулезді дер кезінде анықтап,
дұрыс емдесе, ауруды бастапқы кезде тоқтатуға, өкпені және басқа
ағзаларды үлкен көлемде қабынып бүлінуден сақтап қалуға
болады.
Туберкулез ауруының
белгілері.Туберкулез ауруы басталғанда мынадай белгілер білінеді
жөтел, әлсіздік, дене қызуының көтерілуі, кеуде тұстың ауруы,
тәбеттің, салмақтың, жұмысқа деген қабілетінің төмендеуі. Бұл
белгілердің бәрі үдеп күшейе түссе, науқастың қан түкіруі
мүмкін.
Жөтел туберкулезге тән ең алғашқы белгінің бірі Егер жөтел аптадан
артыққа созылса, міндетті түрде дәрігерге қаралып, туберкулез
ауруына тексерілуі керек. Туберкулезді тез арада қалай тез
анықтауға болады. Туберкулезді анықтаудың ең тиімді, сенімді
тәсілдері: қақырықтан туберкулез таяқшасын микроскоп арқылы
анықтау, рентген, яғни рентгенография, флюрографиялық әдіс,
балалармен жасөспірімдерге туберкулин сынағын, яғни Манту сынағын
қою, Туберкулез дер кезінде анықталса ем нәтижелі
болады
Қымызбен емдеу, қымыздың емдік қасиеті оның құрамындағы химиялық заттарға байланысты.
А
шу процесінде пайда болған сүт қышқылының және әр түрлі ас
қорыту ферменттерінің, т.б.
пәрменді катализаторлардың
әсерінен құрамдық заттардың
сіңімді түрлері пайда болады. Мысалы, сүт
қанты глюкоза мен галактозаға, сүт
белогі әр түрлі ұсақ молек.
қосындыларға, полипептидтерге (альбумоза, пептон) ыдырайды. Сөйтіп, олардың
зат алмасу процестеріне қатысу реакциясы артады. Сонымен қатар, бұл
процестердің нәтижесінде қымыздың дәмін, иісін, т.б. тағамдық
қасиеттерін жақсартатын және тағамға тәбет тарттыратын заттар пайда
болады. Құрамы осыншама бай және жоғары дәрежеде болғанымен
қымыздың энергетикалық қуаттыдығы 100 г-да 40 ккал. Қымыз ежелден
ас қорыту жүйесінің ауруларын, анемия, құрқұлақ, мешел, неврастения
және туберкулезді (құрт ауруларын) емдеуге қолданылып келеді.
Сондай-ақ, қымыз ішектегі іріп-шіру процестерін тежеуге әсер етеді.
Ондағы шіріткіш микробтарға, ішек
таяқшаларына, стафилококк
микробына антибиотиктік
әсері бары дәлелденді. Сол
сияқты, туберкулез таяқшаларының өсіп-өнуіне кедергі жасайтыны
анықталды.Қымызбен емдеу ережесі: алғашқы 3 — 4 күн бойы аз-аздап,
күніне 0,5 л-дей ғана ішіп, кейін 1 л, одан да көбірек ішуге
болады. Сөйтіп, 7 — 8 күнде аурудың асқа тәбеті артып, ас — қорытуы
түзеле бастайды. Қымызды тамаққа дейін 1 — 1,5 сағ бұрын ішу керек.
Жалпы туберкулездің қандай түрін болмасын қымызбен емдеуге болады.
Бірақ оның қайталап өршіп, қозып тұрған кезінде, яғни қан түкіріп,
дене ыстығы көтеріліп кеткен жағдайда Қымызбен емдеуді уақытша
тоқтата тұру керек. Гастрит ауруының қышқылдығы жоғары түріне
ұшырағанда қымыз ішуге болмайды. Қазақстанда қымызбен емдейтін
алғашқы ашылған санаторий — “Бурабай”. Аурудың даму барысына қарай
Қымызбен емдеу әдістерін Қазақ тағамтану академиясы
зерттейді.
Қ
азақтың ұлттық
сусындары – қымыз жайлы, олардың адам денсаулығына келтірер емдік
қасиеттері туралы ой-пікірлер мерзімді басылымдарда аз айтылып, кем
жазылып жүрген жоқ. Өкінішке қарай, бұл мәселе қазіргі таңда толық
шешілді деп ауыз толтырып айта алмаймыз. Тіпті, қымыз бен шұбаттың
сонау ерте заманнан-ақ қазақ халқының ұлттық сусын-тамағы болғанын
әлем жұртшылығына осы күнге дейін мойындата алмай жүргеніміз
көңілге қаяу түсіреді. Ол, сірә, мына біздің кеңдігімізден,
жайбасарлығымыздан болар. Әйтпесе, қазақтың ұлттық тағамы –
жылқының жал-жаясын, қазы-қартасын француздық даяшылар мен
аспазшылар «біздің ұлттық асымыз» деп кафе мен асханаларында
туристерге ұсынбас еді
ғой...
Қазақстандық ғалымдар қымыз бен шұбаттың емдік қасиеті бар екенін және бұл сусындардың өкпе ауруларына, әсіресе, туберкулезге қарсы қолданылатыны ерте кезден-ақ белгілі болғанын, оның құрамында А, В1, В12, Д, Е, С витаминдері бар қымыз адамның бойындағы туберкулез, гастрит, холецистит, энтерит пен энтероколиттің асқынған түрлеріне, жүрек қантамырлары, жүйке және асқорыту жүйелеріне, қан айналымы, тоқішек пен асқазандағы жараға ем екенін анықтағаны белгілі. Бұл бағытта академик Төрегелді Шарманов басқарып отырған Алматыдағы тағамтану ғылыми-зерттеу институтының еңбегі орасан екенін атап өткен жөн.
Ө
кінішке
орай, бүгінде қымыз бен шұбатқа емдеу-сауықтыру шараларымен
айналысатын шетелдік ірі компаниялар қызығушылық танытып
отырғанымен, экспорттауда арнайы күтімді қажет ететін ұлттық өнім,
тасымалдау барысында елеулі қиындықтар туғызып, жөнді шешімін
таппай отырғаны аян. Сондықтан, еліміздің ғалымдары қымыз бен
шұбатты экспорттауда әлемде кеңінен қолданылатын сублимациялық
тәсіл арқылы, яғни ұнтақ (порошок), немесе таблетка ретінде
тасымалдауды ұсынды. Егер бұл ой үкімет тарапынан қолдау тауып,
өнімді сублимациялық тәсілмен экспорттық тауарға айналдыра алсақ,
өте қуанышты жағдай. Осылайша халықаралық нарықта сұранысты
арттыруға септігін тигізері даусыз. Расында, қымыз бен шұбатты шет
елге шығарып, одан халқымыз пайда тауып жатса, қандай
жақсы?!
«Ақылдан жақсы дос бар ма?
Ашудан жаман қас бар ма?
Жиырма бестен артық жас бар ма?
Қымыздан дәмді ас бар ма?» – деп қазақ тауып айтқан. Ал, жүзге келген жыр атасы Жамбыл : «Үйірілген сары алтындай сары қымыз. Ауруға – ем, сауға – қуат, дәрі қымыз» деп ұлттық сусынымызды қадірлеп жырға қосқан. Ақтамберді жырау болса: «Биенің сүті сары бал – қымыздан асқан дәм бар ма?!»,– деп тамсанған.
Қымыз бен шұбаттың емдік қасиетін фармакологиялық химиялық дәрі-дәрмектермен, минералды сулармен және де басқа қышқыл сүттермен еш салыстыруға келмейді. Себебі, олар динамикалық, биологиялық препараттар қатарына жатады. Қымыз бен шұбат асқазан мен ұйқы безінің секрециясына, бауырдан өт бөлінуіне ықпал етеді, қызметін жақсартады. Соның әсерінен ас қорыту, оларды сіңіру процестері реттелінеді. Асқазанның ойық жарасына, гастритке, бауыр және өт жолдары ауруларына, панкреатит, энтерит, колит, қаны аздық ауруларына бие сүтінің емдік қасиеті ерекше екенін баса айтуымыз керек.
Қымыз құрамында С витамині мол болғандықтан өкпе ауруларына, әсіресе туберкулез ауруына таптырмайтын ем. Қант диабеті, атеросклероз және жүрек ауруларына қымыздың пайдасы мол екені көптеген ғалымдардың еңбектерінен белгілі.
Сол қымыз бен шұбаттың адам денсаулығына қаншалықты пайдалы екенін біз осы күнге дейін жалпы жұртқа жеткізе алмай, ішкі нарыққа енгізе алмай жүргеніміз өкінішті. Тіпті, Алматы, Астана сияқты ірі қалаларымызда қымыз бен шұбат ұсынатын, ұлттық ыстық тағамдар даярлайтын кафе мен мейрамхана жоқтың қасы (өз басым оларды кездестірмедім). Қайда бармаңыз «кәріс тағамдары», «дүнген финчозасы», «ұйғыр лағманы», «қытай асханасы», «өзбек палауы» деген сан түрлі жарнамалық жазулар алдыңнан шығады. Ал, енді қазақтың ұлттық ет тамағын келімсектер бір кезде келеке етіп, тамақты қасықсыз ішетінін құбыжық ретінде көрсетпек болып, құлаққа жағымсыз «бесбармақ» деп ат қойып, сол аты осы күнге дейін сақталып келе жатқаны, былай қарасаңыз, біздің ұлтқа деген барып тұрған қиянат емес пе?!
Ұлттық тағамдар мен сусындар жайы оңтүстік астана Алматыда қалай? Қуана алмаймыз. Осыдан 5-6 жыл бұрын Таразда облыстың сол кездегі басшысы ұлтжанды Серік Үмбетовтің қолдауымен қаланың әр тұсынан киіз үйлерде біраз қымызханалар ашылып, қала тұрғындарына бірер жыл қызмет атқарғаны есімізде. Содан көп ұзамай «даладан қалаға келген киіз үйлер» саны қожырап, бірте-бірте олардың барлығы «санитарлық нормаларға сәйкес емес» деген, басқа да әртүрлі сылтаумен жабылып тынғаны белгілі. Сөйтіп, несін жасырамыз, қалалықтар емдік, шипалы сусындардан алыстатылды. Олардың орнына көптеген сыраханалар мен спирттік ішімдіктің мол түрі бар кафелер, тойханалар етек жайды. Алматыда да осы көрініс көз алдыңа келе қалады. Ойлаңызшы, сырттан келген қонақтарды қымызханаларымызға ертіп барып, сусын орнына қымыз, шұбат беріп, қазақтың ұлттық тағамдарымен күтсек несі жаман?
Бір кездері қазақтың ұлттық тамақтары дайындалады деген қала орталығындағы «Жерұйық» мейрамханасының өзінде бұл күндері қымыз бен шұбат бола бермейді. Ал, орталық базарда әркім сатып тұрған қымыз бен шұбаттың сапасына кепілдік жоқ.
Қала түгілі, ауылдық жерлерде де қымыз бен шұбат күрделі мәселе . Әлі есімде, өткен жүзжылдықтың 70-жылдары ауылға жол түсе қалса, үйір-үйір жылқыны, көгенде байлаулы құлындарды көріп «құлын байлап, бие сауған берекелі үй екен, соғып қымыз ішелік» деп атбасын бұрып, сәлем беріп, әңгіме-дүкен құра отырып, сусын қандыратынбыз. Ал, қазір сол бір ауылдағы ұлттық жақсы салт көмескіленіп, жылқы ұстап отырса да бие сауып, қымыз ішпейтін халге жеткені өкінішті.
Таяуда Қаратау жотасындағы шұрайлы Көкжон өңіріндегі туған ауылым Үшбасқа барып қайттым. Қасымда Алматыдан келген біраз қонақтар болатын. Олар бұл өңірдің табиғи сұлулығына сүйсінді. Қонақтарға ұсынған қымыз Жаңатастағы базардан алдырылған болып шықты. Бүкіл ауыл бойынша бие байлап, қымыз сапырып отырған бірде-бір үй болмағаны бізді таңқалдырды.
– Ертеректе қымыз әрбір үйде болатын. Соңғы жылдары қолдарында біраз жылқы болса да, бие байлап, қымыз сапырып отырған ешкім жоқ. Өйткені, бұрындары бие сауып, қымыз пісетін апалар қартайды, бойларынан қуат,
қолдарынан күш кетті. Қазіргі жас келіндер биеге жуымайды. Бие сауып, қымыз піскенді артық жұмыс санайды. Оның барлығы – қазіргі жастардың немқұрайдылығы, еріншектігі, жалқаулығы, тұрмысқа ебедейсіздігінен болар, – дейді ауыл үлкендері.
Өткен жылы Алматы облысының Ақши ауылында өткен семинар-кеңесте төрт түліктің төресі – түйе өсірудің түйткілдері қаралып, аталған саланы дамыту жолдары кеңінен сөз болды. Сонда 1990 жылдары құрылған «Дәулет-Бекет» ЖШС қызметкерлері бұл күндері асыл тұқымды түйе өсіріп, одан алынған өнімдерді өңдеп, халықаралық «Халал» сертификатымен әдемі безендірілген арнайы құтылардағы шұбатты тұтынушыларға ұсынуда. Қазір шаруашылық бір маусымда 317600 литр шұбат өндіруде екен. Ол өнімдер Алматы, Талдықорған қалаларының тұрғындары арасында әрдайым сұранысқа ие. Ал, басқа облыстарда бұл бағытта қандай іс атқаруда? Табиғаты мен жері түйе, жылқы малын өсіруге ыңғайлы қала маңындағы аудандардың шаруашылықтары неге қымыз бен шұбат өндіруге құнтсыз? Мүмкін, Үкімет алдына қымыз бен шұбат өндірісін кластерлік жүйеге енгізуді мәселе ретінде қойып (мәселен, сиыр сүті өндірісі кластерлік жүйеге жатады), жылқы мен түйе өсіруді қолға алған шаруашылықтарға мемлекет тарапынан бірер жыл дотация (көмек) берген жөн болар? Халқымыздың ұлттық сусыны – шұбат пен қымыздың емдік қасиетін айтпағанның өзінде олардың салауатты өмір салтын қалыптастырудағы орны ерекше емес пе?
Қымыз бен шұбаттың, бие сүті мен саумалдың емдік қасиеттері жайлы мәліметтерді қарапайым ел біле бермейді. Сондықтан, көпшілікке арналған әртүрлі ойын-сауық, мәдени іс-шараларында қазақтың ұлттық ойындарымен бірге қымыз бен шұбат сусындарын дәріптейтін шараларды неге дәстүрге енгізбеске? (Осыдан бірер жыл бұрын Алматы облысы, Райымбек ауданында қымызмұрындық берілгені, Түлкібас өңірінде «Саба» фестивалі өткені белгілі). Тіпті, елімізде тамақ мәселесімен ондаған жылдар бойы айналысып келе жатқан тағамтану ғылыми институты мұрындық болып ұлттық сусындар мәселесін елімізде қабылдануға дайындалып жатқан «Салауатты Қазақстан» мемлекеттік бағдарламасына енгізіп, арагідік тиісті мамандар арасында конференциялар, семинарлар өткізіп тұрса, артық болмас еді-ау?!
Бұл бағытта көпшілік болып ойласар мәселе баршылық.
27
ІІІ. Қорытынды
Қазақстанда туберкулезден көз жұматындар саны азая бастады. Ресми мәліметтерге сүйенсек, Қазақстан ТМД мен Еуропа аймағындағы туберкулез кең таралған елдер қатарына жатады. Статистика бойынша, Қазақстанда жылына 25 мың адам туберкулезге шалдығып отыратын көрінеді.
Бұл санды Қазақстанның туберкулез мәселелері жөніндегі ұлттық орталықтың директоры Ғалымжан Рақышев та қуаттайды:
- Ия жыл сайын сол маңайда болып отырады.
Тағы бір мәлімет, Қазақстанда
10 мың адамға шаққанда 153 адам осы ауруға шалдыққан. Дегенмен
мұндай сандар қазақстандық дәрігерлерді аса қобалжыта қоймайды.
Олардың айтуынша, бұл көрсеткіш елдегі туберкулезбен ауыратындардың
өскендігін емес, аурудың Қазақстандағы бұрын белгісіз болып келген
нақты ауқымын көрсетеді.
Ал оны анықтауға, мамандардың айтуынша, дүниежүзілік денсаулық
сақтау ұйымының туберкулезге қарсы DOTS атты стратегиясы
көмектескен. Қазақстан бұл стратегия аясында 1998 жылдан бері жұмыс
істеп келеді және дәрігерлердің айтуынша, бұл уақыт аралығында
туберкулезбен ауыратындардың саны 41,6 пайызға кеміген
көрінеді.
Туберкулезді бақылау және алдын-алу жөніндегі орталықтың Орталық
Азиядағы аймақтық кеңсесінің жетекшісі Михаил Фаворов DOTS
стратегиясы Қазақстанда тұратын ондаған мың адамның өміріне араша
болды дейді:
- Біздің есебіміз бойынша, DOTS бағдарламасы Қазақстанда жүзеге аспаған жағдайда, Қазақстан бүгінге дейін 20 мыңға жуық азаматынан айырылып қалар еді. Қазақстанның 15 миллион тұрғынына шаққанда аталған 20 мың адам елдің 1 пайызынан артығын құрайды. Бағдарламаның тигізген ең басты пайдасы да осы деп білемін.
Туберкулезбен ауыратындардың саны жөнінен Қазақстан ТМД елдерінің арасында алдыңғы орында тұруының себебін ауруды бақылау және алдын-алу жөніндегі орталықтың Орталық Азиядағы аймақтық кеңсесінің жетекшісі Михаил Фаворов, ТМД елдерінің көпшілігінде DOTS стартегиясының қолға алынбағандығымен түсіндіреді.
Михаил Фаворовтың айтуынша,
Ресей немесе Тәжікстанда Қазақстандағыдай туберкулез ауруы туралы
толыққанды ақпарат жоқ.
- Қазір Қазақстанда туберкулезден өлгендердің саны кемісе, 4-5 жыл
өткен соң туберкулезбен ауыратындардың саны да азаяды. Өйткені,
DOTS стратегиясының аясында алдағы уақытта, індеттің тарау
ошақтарының алды алынып отыратын
болады.
Созақ ауданы әкімдігі білім бөлімінің
Т.Әлімқұлов атындағы №14 мектеп
интернат-лицейінің 8х/б-сынып оқушысы Нұрмаханбет Әсия «Қымыздың туберкулезге емі»
тақырыбындағы ғылыми жобасының
жетекшісі Кәрібекова Гүлжан Серікбайқызы.
Пікір
Нұрмханбет Әсия Әбдіманапқызы өзінің ғылыми жобасында көп ізденгендігі байқалады.Алынған тақырыбы бойынша алға қойған мақсатына жеткен.Тақырыбы бойынша қымыздың туберкулез ауруының еміне байланысты тың деректер келтірген.Оқушының шығармашылыққа төселгендігі анықталды. Ғылымға деген ынтасы көрініс тапқан.Мектепшілік ғылыми жобалар жарысында жақсы бағаланып, аудандық ғылыми жобалар жарысында ұсынылды.
Ғылыми жетекші: Биология пәнінің мұғалімі
Кәрібекова Гүлжан Серікбайқызы
1.М.Сисекенов «өкпе аурулары»
Алматы- 1970. 58-76 бет [1]
2.Ә.Хасенов,З.Сейітов, Н Дүйсенбаев «Қымыз және шұбат» Алматы-1971. 52-66 бет [2]
3.Е.Шекенов,Р.Қазыханов «Зоотехния негіздері»
Астана -2007. 302-327 бет [3]
4.Б.Асылбеков «Қымыз шипалы сусын»
Алматы «Қайнар» 1986. 69-89бет [4]
5.К.А.Асқамбаев «Баланың өкпе қабынуы»
Алматы-1979. 4-14 бет [5]
6.А.Тірлікбаев.З.Рыспеков «Тубуркулез туралы не білу керек»
Алматы -1982. 12-18 бет [6]
7.Қалдыбек Сәбенов «Төрт түлік»
Алматы «Қайнар» 2002. 102-108бет [7]
8. Қазақ энциклопедиясы, 8 том [8]
9. Қазақ тілі терминдер сөздігі, 1 том [9]
10. Потологиялық анатомия терминрерінің орысша-латынша-
Қазақша түсініктеме сөздігі [10]
29
жүктеу мүмкіндігіне ие боласыз
Бұл материал сайт қолданушысы жариялаған. Материалдың ішінде жазылған барлық ақпаратқа жауапкершілікті жариялаған қолданушы жауап береді. Ұстаз тілегі тек ақпаратты таратуға қолдау көрсетеді. Егер материал сіздің авторлық құқығыңызды бұзған болса немесе басқа да себептермен сайттан өшіру керек деп ойласаңыз осында жазыңыз
Түбуркулез
Түбуркулез
Мазмұны
І. Кіріспе
-
«Қымыз емге дауа
дертке шипа»0
ІІ.Зерттеу бөлімі
2.1.Туберкулез ауруының басталуы
2.2.Туберкулез ауруын анықтау
2.3.Туберкулез емінің түрлері
2.4.Туберкулез – ем қонатын ауру
2.5.Қымызбен туберкулез ауруын емдеу жолдары
2.6.Қымыздың әлдендіретін қасиеті.
ІІІ. Қорытынды
3.1 Қымыздың туберкулезге емдік қасиеті
Аннотация
Бұл ғылыми жұмыстың тақырыбын «Қымыздың туберкулезге емі» деп атаған.Бұл жобаның кіріспе бөлімінде қымыз емге дауа, дертке шипа екендігі талқыланған. Негізгі бөлімде туберкулез ауруының басталуы , туберкулез ауруын анықтау , туберкулез ауруын түрлері ,қымызбен туберкулезді емдеу жолдары қарастырылған .
Қортынды бөлімде қымыздың қасмеиі туралы Қазақстанда туберкулезбен ауратын адамдар санының азая бастауы аитылған Ғылыми
Жұмыстың тілі , шұрайлы мазмұнды жазылған.
Аннотация
Это научную тему работы "Кумыса туберкулезный средство для лечения" назвал.В этом отделе введения проекта кумыс средству для лечения профилактика, болезни целебность обсуждался.В основном отделе начало больного туберкулеза, туберкулез больного выявлять, туберкулез виды средства для лечения, рассматривал строки туберкулез лечением кумысом.
В заключительном отделе о качестве кумыса и числа людей, которое болеет туберкулезным в Казахстане, уменьшаясь о начинании говорился.Научный язык работы был плодородное, содержание написанным.
Аннотация
Это научную тему работы "Кумыса туберкулезный средство для лечения" назвал.В этом отделе введения проекта кумыс средству для лечения профилактика, болезни целебность обсуждался.В основном отделе начало больного туберкулеза, туберкулез больного выявлять, туберкулез виды средства для лечения, рассматривал строки туберкулез лечением кумысом.
В заключительном отделе о качестве кумыса и числа людей, которое болеет туберкулезным в Казахстане, уменьшаясь о начинании говорился.Научный язык работы был плодородное, содержание написанным.
І. Кіріспе
Қымыздың адам организмін әлдендірумен қоса, оған емдік әсері де бар екендігі ғылыми тұрғыдан анықталып отыр. Емдеу жұмысы күллі санаториялық – курорттық шарттарды тиімді пайдаланып және қымызбен емдеудің нормасын анықтағанда әр адамның жеке ерекшеліктерін ескере отырып жүргізіледі.
Әсіресе қымызбен өкпе туберкулезін емдеу ойдағыдай нәтиже береді. Бұл ауруға шалдыққан адамның белгілі бір дәрежеде зат алмасу процесінің бұзылғаны, тамаққа тәбеті нашарлағаны, кейде шек – қарын жолдары мен жүрек-қан тамырлары жүйелерінің қызметі бұзылғаны байқалады. Ал қымыз болса, осындай функциясы нашарлаған организмдерге қолайлы әсер етеді.
Жалпы емдеу жұмыстарында қымыз айрықша орын алады, дегенмен белгілі бір режим сақтаудың, яғни дұрыс тамақтанудың, бір мезгіл демалып, бір мезгіл серуендеудің де айтарлықтай тиімділігі бар.
Қымызбен емделе бастағанда, оны алғаш аз мөлшерде ішкен жөн. Алғашқы күндері тәулігіне 0,5 литрден артық ішпеу керек.
Егер қымыз жақсы сіңе бастаса, онда оның мөлшерін бірте-бірте көбейтеді. Әсіресе әлсіз адамдарға қымызды аз-аздан көбейтіп берген жөн. Қымызды күнделікті, немесе күнара 0,2-0,5 литрден көбейтіп, кейіннен бойына жақсы сіңетін болса, ауру адамға тәулігіне 2-3 литрге дейін беруге болады.
Әрбір адамның ауруының түріне қарай, оған қымызбен емдеудің режимі жасалады. Ауру асқынған кезде қымызды байқап беру керек. Қымызбен емдейтін курортқа тұрақты қызу температурасы бар (37,50 және одан да жоғары) адамдар жіберілмеуі тиіс. Температурасы көтеріліп, жалпы жағдайы нашарлап жүрген (демігу, әлсіздік, қатты қақырып жөтелу) адамдарға қымыз ем болмайтынын атап көрсеткен жөн.
Туберкулезбен ауырған адамдарды қымызбен емдеу режимінде дәрігердің бақылауымен бір қалыпты дене жаттығуларын жасатудың айрықша маңызы бар. Кей жағдайда ғана болмаса, ауру адамға дене жаттығуларын жасату емдік шара ретінде мұқият жүргізіліп отырылуы қажет.
Туберкулезге шалдыққан, тамаққа зауқы соқпай жүрген адамдар курортқа келіп қымыз іше бастасымен бірнеше күнде-ақ өзінің күндік нормасын түгел тауысып жей бастағанын жиі байқауға болады. Мұндай адамдардың тамаққа тәбеті жақсарумен қатар, олар салмақ қосып, оңала бастайды. Ал кейбір ауру адамдар екі айдай қымызбен емделгеннен кейін 8-12 килограммдай, тіпті одан да артық салмақ қосып қайтады.
Қымыз туберкулезбен ауырған адамның тәбетін жақсартуға, жақсы ұйықтауға және көңіл-күйіне әсер етумен қатар, жүрек-қан тамырлары жүйесі мен өкпенің жұмысына да қолайлы әсер етеді.
Туберкулезбен ауырмайтын мүше жоқтың қасы. Дегенмен ең жиі ауыратын мүше өкпе (90%). Ал, сүйек – буын 4-6 проценттей ауырып, қалғаны бүйрек, ішек, тері, орталық нерв жүйесінде кездеседі. Сонда өкпе неге жиі ауырады екен деген ой әркімді-ақ толғандырады. Бұл жөнінен ғалымдар арасында әртүрлі болжаулар бар. Біріншіден, өкпе нәзік мүше, яғни басқа мүшелердей сырттан келген зиянды заттарды қорытып, қарсы күресу қабілеті нашар, екіншіден, өкпеге ауа арқылы бармайтын зат жоқ, соның ішінде, әсіресе, туберкулез микробактериялары.
Туберкулезбен өкпенің барлық бөлігі бірдей ауырмайды, 70-80 процент мөлшерінде оның жоғары бөлігі ауырады. Мұның себебі өкпенің жоғары бөлігі төменгі бөлігіне қарағанда тыныс алу жұмысына баяу қатысып, сондықтан ауамен келген оттегімен толық қамтамасыз етілмеуінен деп саналады.
Өкпе туберкулезі алғашқы асқынбаған кезінде рентген арқылы қарағанда қарайған дақ (очаговый, инфильтративный) құсап көрінеді.
Аурудың бұл кезінде адамның өңі қашып, тамаққа тәбеті шаппай, сөйтсе де бұл белгілерге жөнді көңіл бөлмей жүре беруі мүмкін. Осылай жүре келе өкпедегі дақ үлкейіп немесе қуысқа (кавернаға) айналып кетсе, адам түнде терлейді, жөтеледі, қақырады. Әлсіздік пен тамаққа тәбет шаппау онан сайын ұлғайып, кешкі мезгілде дененің қызуы 37,2-37,5 градусқа дейін көтеріліп, кейде қақырықпен бірге қан тастағанда бір-ақ біледі.
Дене қызуы бірден 38-39 градусқа дейін көтеріліп белгі беруі ауру асқынбай-ақ жоғары айтылған қарайған дақ түрінде де, аурудың басқа түрлерінде де байқалуы мүмкін. Әрине, бұл организмнің қабілетіне байланысты. Организм неғұрлым жас болса, туберкулез ауруын солғұрлым қабылдағыш келеді деп айтып кеттік. Мысалы, жас балаларға туберкулез жұққаннан кейін өкпе бездері шошып (бронхоаденит) ауырғанның өзінде өңі қашып, бала жүдеп, тамаққа тәбеті болмайды. Ересек адамдарға қарағанда баланың организміне түскен туберкулез микобактериялары өкпеден қан, лимфа тамырлары арқылы буын-сүйек, ми (менингит), бүйрек сияқты мүшелерге тез тарайды. Тіпті екі өкпенің өзіне де тегіс тарап қара дақтанып гемотогенно – диссеминированный немесе аса қауіпті милиарный деген түріне айналып кетуі ғажап емес. Алайда, қуатты дәрілердің шығуы арқасында аурудың милиарный түрі өте сирек кездесетін болды.
ІІ. Зерттеу бөлімі
Біз адамның көпшілігі туберкулез ауруын әсіресе жас кезінде жұқтырады, бірақ солардың бәрі бірдей ауыра бермейді дедік. Бұл жерде организмнің күш-қуаты, қабылдағыш жағдайы жөнінде сөз еттік. Енді сол организмге ауру жұққан – жұқпағандығын, яғни туберкулез микобактериясының бар-жоқтығын қалай тексеріп білуге болатыны туберкулез ауруын сол белгі бермей жүрген кезінде ертерек анықтау үшін қандай шаралар істеліп жатқаны жөнінде түсінік берелік.
Туберкулез ауруын таяу жылдар ішінде негізінен жою үшін елімізде көптеген шаралар қолданылып жатыр. Коммунистік партия мен өкіметіміздің бұл жөнінде халыққа деген қамқорлығы айрықша.
Туберкулез – әлеуметтік ауру. Сондықтан да жалпы тұрмыс пен мәдениеттің жақсаруымен қатар туберкулез жөнінде құпия жатқан сырларды ашудың үлкен маңызы бар. Туберкулез микобактерияларының организмде бар-жоғын және организмнің қандай жағдайда екенін білу үшін түрлі әдістер бар. Ол сол жас организмді тексеруден басталады.
Қазірде ясли, балалар бақшасында, мектепте Пирке, Манту сияқты (қолдың терісіне) жасалынып жүрген өзімізге белгілі реакциялар жөнінде жоғарыда айтып кеттік. Бұл реакцияларды жасағанда шала-жансар туберкулез микобактерияларды терінің ішіне белгілі бір шамамен жұқтырып, жас организмнің туберкулез ауруына деген қабылдағыш қасиетін тексереді. Егер баланың терісі екінші күндері қызарып ісе бастаса, дәрігерлер сол қызарған жердің көлемін өлшеп, баланың организмінде микобактерияның тірілу қаупі барлығын анықтап береді. Мұндай балаларды ерте бастан режимге дағдыландырып, қажет болса, санаторийға жатқызған жөн. Алайда, алдын-ала қолданған шараларға қарамастан бірлі-жарым балалар туберкулезге шалдығып қалады.
Туберкулезді неғұрлым ерте анықтаудың маңызы зор. Бұл жөнінде көптеген туберкулез диспансерлері мен кабинеттері, поликлиникалар жұмыс істейді.
Егер туберкулезді жаңа басталып келе жатқан кезінде емдей бастаса, ол бірнеше ай ішінде тәуірленіп, екі – үш жылдан кейін мүлдем сауығып, есептен шығуы мүмкін.
Қазіргі жағдайда ерте анықтау үшін негізгі құрал рентген болып есептеледі.[1]
Бізде рентгенге түсудің зияны бар деген ұғым ертеден осы кезге дейін сақталып келеді. Жылына бір-екі рет, кейде одан да көбірек жылдам қарап немесе слюда қағазына түсіріп алғанның адам организміне ешқандай
етпейтіндігі анықталып отыр. Халықты жаппай аз уақыттың ішінде тексеріп шығу үшін көшпелі рентген аппараты – флюрограф іске қосылды. Мысалы, бұл аппараттың көмегімен бір сағаттың ішінде 100 адамның өкпесін суретке түсіріп алуға болады. Егер осындай тексерудің арқасында күмәнді болып шыққан адамдардың диагнозын жете анықтап ашу әрі емдеу үшін диспансерге жібереді.
Сонымен флюрограф аппаратының көмегімен бүкіл халқымызды жыл сайын тексеруден өткізіп тұруға қазір толық жағдай бар.
Туберкулезге қарсы жұмсалатын күшті дәрі-дәрмектер табылғанша сырқат адамды емдеудің негізгі жолы жақсы тамақ, таза ау ғана болатын. Рас, халық арасында басқа да емдер, мысалы, борсық майы, сулема, тұз ерітіп ішу сияқтылар істеліп жүрді. Бұл емдер шынында ерте кездегі медицинаның әлсіздігінен халықтың амалсыздан қолданған емі болатын. Алайда халық емінің кейбір пайдалы түрлерін медицина қазір де қуаттайды. Туберкулез ауруын емдеуде құнарлы ас, таза ауа, қымыз, шұбат, балық майын ішу сияқты дәстүрлі емдерге емдеу мекемелерімізде дәрімен бірдей мән беріліп отыр. Соңғы жылдары жаңа шығып жатқан дәрілердің көмегімен туберкулез ауруынан өлім саны айтарлықтай азайды. Бұрын халыққа айықпас індет болып танылған (құрт ауруы қазірде өзінің мәнін өзгертіп, дәрігердің емін ұқыпты түрде пайдаланса жазылып кететін ауру деп жұрт сенетін болды. Емделіп жазылудың түйіні бірінші жылда, әсіресе жаңадан ауырғандар үшін осы бірінші жылғы емнің маңызы өте зор. Өйткені фтивазид, тубазид, стрептомицин, ПАСК сияқты дәрілерді үзбестен жыл бойы пайдаланғаннан кейін туберкулез микобактериясы дәрілерге бойын үйретіп алып, олардан өле қоймайды.
Туберкулезге қарсы күрес Совет өкіметінің алғашқы жылдарынан бастап-ақ қолға алынды. Денсаулық сақтау халық комиссариатының жанынан туберкулезге қарсы сектор ашылды. Алғашқы совет денсаулық сақтау жұмысының ұйымдастырушыларының бірі З.П.Соловьев: «Туберкулезбен күресу үшін еңбекші халыққа жағдай енді туды» деп жазды. Көп кешікпей туберкулезді емдейтін маман дәрігерлер, фтизиатрлар дайындалып шығарылды. Арнаулы диспансер, санаторийлердің саны көбейіп, 1923 жылдан бастап туберкулез ғылыми зерттеу институттары ұйымдастырыла бастады. Қазақстанда туберкулезге қарсы емдеу мекемелері 1930 жылдардан бастап жұмысқа кірісіп, ал кейіннен ғылыми – зерттеу институты ашылды. Алғашқы кезде туберкулез ауруымен тікелей шұғылданған Морозов М.Е, Төлемісов Д.Ө, Задворных А.М, Барлыбаев А, Зюзин В.И сияқты және басқа көптеген дәрігерлеріміз болды. Бұл дәрігерлеріміздің көпшілігі осы кезге дейін туберкулез ауруына қарсы аянбай еңбек етіп келеді.
Туберкулез ауруына қарсы дәрілердің немесе нәтижелі көмек көрсететін хирургиялық жәрдем болмауы дәрігерлерді өткен ғасырлардан бастап-ақ ойландырды. 1842 жылы Россия дәрігері Зейдлид К.К тұңғыш рет плеврааралық қуысқа (өкпе мен қабырға аралық қуысқа) ауа жіберіп (пневоторакс) емдеу әдісін тапты («Пневмо»- грек тілінде ауа, «торакс» - кеуде деген сөзден шыққан). 1882 жылы Италияның дәрігері Форланини осы әдіспен бірнеше адамды емдеп, пневмоторакс әдісінің әрі қарай дамуына себепші болды. Сөйтіп, 1960 жылдарға дейін пневмоторакс әсіресе біздің республикамыздың жағдайында жиі қооданылып келді. Дегенмен пневмоторакс бір ғасыр бойы бірнеше мыңдаған адамның өміріне арашашы болып келе жатыр. Пневмоторакспен емдеу әдісінің негізгі мақсаты – өкпені ауамын қысып, яғни уақытша (бір-екі жылдай) көлемін кішірейтіп, өкпенің өзгеріске ұшыраған жерін тыныштандырып, жазылуына жағдай туғызу. Егер өкпенің ішінде қуыс (каверна) болса пневмоторакс әдісінің көмегімен және оған қосымша таза ауа, күшті тамақ, дәрілер қолданса, қуыстың орны тыртық болып бітуі мүмкін, осыдан кейін ауа жіберуді тоқтатса өкпе жазылып қайта орнына барады.[2]
Туберкулез жұқпалы ауру болғандықтан қазіргі денсаулық сақтау жұмысында басты мәселелердің бірі болып отыр. Мұның тарихы ертеден белгілі. Ертедегі мысырлықтар мен үнділердің, қытайлықтар мен вавилиондықтардың шежірелерінде адам жүдеп-жадап, жөтеліп қақырық тастап ауыратындығы жөнінде көп айтылған. Бұл ауруды «Фтизио» (чахотка) деп атаған.
Грецияның атақты ғалымы Гиппократ, Рим дәрігері Гален бұл ауруды жұқпалы деп санап, одан жазылу үшін құнарлы тағам, таза ауаның және басқа біреуге жұқпауы үшін ауру адам жеке басының тазалығын мұқиятты сақтауы керек деп есептеген.
1819 жылы бұл ауруды туберкулез деп тұңғыш атаған Француз ғалымы Лаэннек болды. Оның айтуынша туберкулезбен ауырған мүше безденіп, кішкентай бұдырлар пайда болады.
1882 жылы неміс ғалымы Роберт Кох туберкулез ауруының қоздырғышын тапты. Ғалымның бұл еңбегі туберкулез ауруымен күрестің жолын ашып берді. Алғашқы кезде Кох таяқшасы деп аталып, кейін, 1957 жылдан бастап туберкулез ауруының микобактериясы деп аталатын болды. Бұл бактерияны микроскоппен қарағанда ұзындығы 0,8 микроннан 5 микронға дейін, жуандығы 0,2 микорннан 0,5 микронға дейін, түрі таяқша тәрізді болып көрінеді. Суыққа өте төзімді, көлеңке жердегі қар астында үш айға дейін өмір сүріп 80 градустан жоғары температурада 5 минутқа дейін өлмейді. Туберкулез микобактреиясының мұндай шыдамдылығы сыртындағы қабығының қаттылығынан. Осының салдарынан бірқатар басқа микроб, вирус, бактерияларға әсер ететін түрлі қышқылдар Кох таяқшасына әсер ете алмайды.
Міне, туберкулез микрбактериясының осы ерекшелігін ескергенде жақсы сақтану және алдын-ала түрлі шараларды мұқият қолдану керек болады. [3]
Туберкулез көбінесе адамға ауру адамнан жұғады. Адам сөйлегенде, түшкіргенде микроб 1,5-2 метр жерге дейін ұшып баруы мүмкін. Ауыздан шашыраған түкірік шашырандысы тозаңмен араласып, бөлмені сыпырғанда жоғары көтеріліп, тыныс мүшелеріне қайта қонады.
Туберкулез тек адамнан ғана жұғып қоймайды. Соңғы жылдары сүтпен еттен де туберкулез микобактериялары табылып отыр. Сол сияқты асыранды құстардың жұмыртқасы мен етінде де туберкулез микобактериялары кездесетіні анықталды.
Осыған қарағанда, сүт, ет, жұмыртқа секілді азықтарды пісірмей ішіп жеу қауіпті деп білеміз. Әрине, туберкулезбен ауырған малды дер кезінде анықтап, оларды емдеп, бақылау мал-дәрігерлік мамандарының ең басты міндеті.
Туберкулезбен ауырған адамдардың бәрі бірдей маңайындағыларға қауіпті деп қорытынды жасауға болмайды. Ол сырқат адамның түкірігінде туберкулез микобактериясы болса ғана қауіпті. Ол әсіресе жас балаларға тез жұғады. Өкпе ауруын қазақтың ертеден тұқым қуалағыш ауру деп санауының өзі де осы жұғудан шыққан. Кейбір семьяларда туберкулезбен ауыратын адамы бола тұрсада басқалары ауырмайды. Мұның себебі, біріншіден, сырқат адамның үй ішінде өзінің тазалығын сақтап, аурудың алдын алып емделуінен, екіншіден, семьядағы басқа адамдардың организмі қуатты болып, ауру қабылдағыш қасиетінің аздығынан деп білеміз. Туберкулез микобактериясы сау адамдардың да өкпесінен де кездеседі. Бұлар адам организмі әлсіреген кезде немесе үстеп жұқтырған жағдайда ғана бас көтеріп әрекет етеді.
Халық арасында қымызды адамның денсаулығын сақтайтын және жасын ұзартатын сусын деп атайды. Халықтық медицинада оны ежелден бері өкпе ауруына қарсы ем ретінде және созылмалы аурулардан арықтағанда әлдендіретін сусын ретінде қолданып келеді.
Қазақ халқы қымызды қарапайым пеште қыздыру арқылы, ерте кезде одан спирт алған. Сөйтіп қымыз спиртін қызба ауруына және жөтелге қарсы ем ретінде қолданған. Сондай-ақ оны қол-аяқтың ауырған жеріне жаққан. Жайлауға шыққанда ем ретінде етпен, әсіресе қазымен ішкен.
Ягмин қазақ арасында қымыздың шипалы сусын ретінде кеңінен тарағанын атап көрсетті. Оны туберкулезге, құрқұлаққа, қан аздыққа, ас қорытуы бұзылғанда, сондай-ақ басқа да ауруларға қарсы әлдендіретін дәрі-дәрмек ретінде қолданды. Емдеу белгілі бір жүйемен жүргізіледі, ауырған адамға алғаш тәулігіне 5-6 кесе қымыз береді, сосын біртіндеп оны 10-20 кесеге дейін көбейтеді.[4]
Ауру адамның көңіл-күйі мен тұрмыс жағдайы жақсаруы, күнделікті режимді бұлжытпай орындауы қымызбен емдеудегі басты шарт болып саналады.
Қымыздың шипалық қасиеті және емдік мәні жөнінде жазылған алғашқы еңбектердің бірі – Эдинбург корольдік қауымындағы (1784) орыс армиясында қызмет еткен ағылшын дәрігері Хеберлейн болды. Ол туберкулез ауруына ауруына шалдығып, емделу үшін 13 жыл бойы қымыз ішкенде құлантаза жазылып кеткен. Алайда оның байқаулары ХVІІІ асырдың аяқ кезіне жатса да, тек 1811 жылы ғана латын тілінде басылып шықты.
Қымызды емдік мақсатта қолдану жөніндегі алғашқы орыс деректері жазушы С.Т.Аксаковтың «Семья хроникасы» кітабында баяндалды. С.Т.Аксаковтың шешесі Уфа дәрігерлерінің, оның ішінде доктор Авенариустың ұсынысы бойынша 1781 жылы башқұрттың Ұзынтамақ деревнясында қымыз ішіп туберкулезден емделген. С.Т.Аксаков қымызбен емдеуді былай сипаттап жазады: алғашқы кезде дәрігер қымызды аз мөлшерде ішуді ұсынды. Ауру адам күндіз біраз сағат көлеңкеде жатып, орман-тоғайдың хош иісті ауасымен тыныстап, кейде ұйқыға бөленді. Үш аптадан кейін ол түрегеп жүре алатын халге жетті. Енді дәрігер Авенариус қымызды беру мөлшерін көбейтті, ал қымызды бойға сіңіруі үшін салт атпен серуендеуді ұсынды. Мұнымен қоса, ауру адамға басқа тағам – семіз қой еті берілді.
Қорытындысында Аксаков былай деп жазды: «Дәрігер Авенариус қымыз ішуді тұңғыш рет ұсынып, емдеу барысын басқарған адам, оның қуанып, мақтануына толық хақы бар».
Сонымен, С.Т.Аксаковтың 1781 жылға жататын бұл жазбасы қымызбен емдеудің отандық тарихшы шет елдік дәрігерлер – шотландық Грив пен ағылшындық Хеберлейннің еңбектерінен емес, ХVІІІ ғасырдың екінші жартысында қымызбен емдеуді ұйымдастыру жөніндегі Уфа дәрігерлерінің тәжірибесінен басталған деп жорамалдауға толық мүмкіндік береді.
Қымыздың емдік қасиеті жөнінде ХІХ ғасырдың бірінші жартысында орыстың медициналық журналдары жазып тұрды. Онда Н.Шванскийдің, П.Скворцовтың, В.Дальдің мақалалары жарияланды. Мәселен, П.Скворцов 1841 жылы былай деп жазды: «Қымыз, басқа да дәрі-дәрмек сияқты, қатты қабынып зақымданған өкпені жаза алмайды. Бірақ ауруды емдейтін табиғат күшін арттыра түсетіндей жағдайда ғана қымыз маңызды шипалы көмегін бере алар еді. Бұл жағдайдың өзінде қымыз аса бағалы шипалы дәрі екендігін табиғат және тәжірибе бізге көрсеткенін тым әсерлемей-ақ айтуға болады».
Орыс дәрігері В.И.Даль де осындай пікірде болды. Ол қыстан екі жағы сорайып жүдеп-жадап шыққан көшпелілердің көктемнің алғашқы аптасында-ақ қымызға аузы тиісімен өзгеріп кететіні сондай – тіпті өз таныстарыңды тану мүмкін еместігін айтады. «Қыстан жүдеп шыққан адамды әлдендіретін және қанша ішсе де тәбетін қайтармайтын қымыздың орнына жүретін сусын ойлап таба қою, сірә, қиын шығар» деп жазды Даль.[5]
Өткен ғасырдағы орыстың ұлы ақындары мен жазушылары қымыздың қасиетін өте жоғары бағалады. Лев Николаевич Толстойдың 1870 жылы Самара даласында қымызбен емделгені жөнінде деректер бар. Жазушының баласы С.Л.Толстой өзінің естеліктерінде былай деп жазды: «оған қымыздың шипалық әсері өте күшті болды». Әкем өзінің башқұрт киіз үйіндегі робизондық өмірін шаттана айтып отыратын. Әкем мұндай ортада болғанына мейлінше риза еді. Ол өзінің башқұрттық ескі досын үнемі қымыз ішуге шақырып тұратын. Бір күні сол башқұрт киіз үйін және он шақты сауын биесін ала келді».
Г.а.Захарин қымыз тек туберкулезге ғана емес, тамаққа зауқы соқпай жүдеген адамдарға да шипалы деп есептеді. Сонымен қоса, оның пікірінше, қымызды нерв жүйелерінің әлсіреуіне қарсы да ойдағыдай пайдалануға болады. Бірақ оның пікірінше қымызбен емдеуді дала жағдайында өткізген жөн, өйткені оны қалаларда пайдалану онша көп нәтиже бермейді.
Н.В.Склифосовскийдің пікірінше, қымыз көкірек ауруларын ойдағыдай емдеумен қатар, оны созылмалы ауруға шалдығып, қаны азайған әрі тамаққа зауқы соқпаған адамға да берген пайдалы.
Әдебиеттерде Қазақстанның солтүстігіндегі Ақмола, Көкшетау, Семей облыстарында қымызбен емдеу ісі ұйымдастырылғаны айтылады. 1913 жылы дәрігер Гогниев Бурабай курортында қымызды торсықта ашыту әдісін толық сипаттап жазды. Ол Бурабай қымызын Сібірдегіге қарағанда әлдеқайда жақсы деп есептеді, өйткені онда жұмысқа пайдаланылмайтын биелер көп, мал жайылымы да жеткілікті.
Қымызбен емделуді жақтаушылардың жаппай насихаттауы және оның емдік қасиетінің толық анықталуы нәтижесінде жыл сайын қымызбен емделетін жерлерге туберкулезбен ауырған адамдар ағылып келе бастады. Емделушілер, Уфаға, Орынбор, Самара даласына келіп, көшпелілердің киіз үйіне орналасты, қой етін жеп, тоя қымыз ішіп, атқа мініп серуендеді. Алайда мұның өзі жөнді ұйымдастырылмағанды, сондықтан да оның біраз көлеңке жақтары бар еді.
Қымызбен емдейтін алғашқы санаторий 1858 жылы Самарадан (қазір Куйбышев қаласы) алты километр жерде ашылды. Оны ұйымдастырған және үзбей 55 жылдай басқарған доктор Н.В.Постников болды.[6]
Нестор Васильевич Постников (1821-1913) 1846 жылы Москва университетінің медицина факультетін бітірді. Алғаш ол университетте прозектор, сосын Петербургтегі жұмысшылар емханасының дәрігері болып істейді. 1854 жылы диссертация қорғап, медицина докторы атағын алды. Жас ғалым бірнеше жыл бойы қымыз және онымен емдеу жөніндегі мәселелермен тынбастан шұғылданды. Ол «Қымыздың, оның қасиеті мен адам организміне тигізетін әсері» деген кітапшасында бұл сусынның шипалық қасиетіне толық тоқталып, емдік рөлі жөнінде: «қоректендіреді, қуаттандырады, өзгертеді» деп қысқаша сипаттап берді.
Қазақстанда қымызбен алғашқы емдеу орны дәрігер П.Н.Емельяновтың басшылығымен 1910 жылы Бурабайда ашылды. Мұнда қазақтар қымызды сабада ашытты және оны Сібірдегі ең жақсы қымыз деп есептеді. Сол 1910 жылы темір жол қызметкерлеріне арнап Торғай облысында қымызбен емдейтін Бершүгір емханасы ашылды.
Қазіргі кезде республикада қымызбен емдейтін 10 санаторий жұмыс істейді. Қымызбен емдеу ісі арнайы құрылған санаторий мекемелерінде гигиеналық – диеталық режимдерді және жаңа емдеу әдістерін ғылыми тұрғыда қолдана отырып жүргізіледі. Қымызбен емдейтін санаторияларға жіберілетін адамдарға қымыздың тигізетін пайдасы мен зияны клиникалық байқау арқылы жете зерттелді, сондай-ақ қымыз ашытудың технологиясы мен механизациясы жетілдірілді.
Сүт пен сүт тағамдарының адамды әлдендіретіні белгілі. Адам организміне сиыр сүтіндегі белоктың шамамен 92 проценті, майдың 95 проценті және көмірсудың 100 проценттейі сіңеді. Әсіресе сүт тағамдарындағы белок толық құнды келеді, өйткені онда организмге қажетті амин қышқылдары (триптофон, метионин, лизин т.б.) бар екендігі белгілі.
Осыдан жарты ғасырдай бұрын орыстың көрнекті ғалымы И.И.Мечников адамның қартаюына шек уларынан организмнің улануы басты себеп болады деп алғашқы пікір айтқан еді. У негізінен көптеген шіріткіш бактериялары бар тоқ шекте пайда болады. И.И.Мечников көптеген халықтардың тұрмысын бақылай отырып, Балқан елдерінің тұрғындары ұзақ өмір сүретіндігін атап өтті. Өйткені бұл елдердің адамдары сүт тағамдарын, соның ішінде айранды көп пайдаланады. Ол болгар айранын зерттегенде, онда қышқыл құрайтын қасиеті бар сүт қышқылы таяқшаларының басым екендігін байқады. Мечников оны «болгар таяқшасы» деп атады. Ол осы табыл,ан болгар сүт қышқылды бактериясының шіріткіш микрофлоралардың өсуін тежейтіндігін және айранды өне бойы ішіп тұрғанда шектегі шіру процесінің тоқталатындығын дәлелдеді. Адамның жасын ұзартып кәрілікке қарсы күресу үшін И.И.Мечников болгар айранын үзбей ішіп тұруды ұсынды. Өйткені болгар айранындағы сүт қышқылдары жоғарыда айтқандай, шектегі шіріткіш бактериялардың өсуін тежейді.[7]
Осыдан кейінгі зерттеулерде болгар таяқшасының адам шегінде ұзақ тіршілік ете алмайтындығы анықталды. Сондықтан ғалымдар оның басқа түрлерін іздестіруді ойлады. Ақыры, 1903 жылы дәрігер – микробиолог И.О.Подгаецкий емшектегі баланың шегінен жаңа бактерия таяқшасын тапты. Бұл өзінің қасиеті жөнінен болгар таяқшасына жақын келеді, оны ацидофиль таяқшасы деп атады. Ол дүние жүзіне кеңінен тарап, қышқыл сүт тағамдарын даярлауға пайдаланылды.
Сүттің қоректілігі әсіресе оны ұйыту және ашыту нәтижесінде арта түсетіндігі белгілі. Бұл жағынан алғанда қымыздың басқа қышқыл сүт тағамдарынан елеулі айырмашылығы бар.Табиғи қымыздың өзі – құрамында тіршілікке қажетті элементтері бар ашитын сусын, бұл қоректі заттар организмге едәуір сіңімді боп әзірленген. Сонымен қоса, бие сүтінде әртүрлі витаминдер болғандықтан, одан даярланған қымыз нәрсіз тамақтардан болатын аурулардан сақтандырады.
Тамақта витаминдердің жеткіліксіздігінен және мүлде болмауынан құрқұлақ, мешел, нервтің кеселденуі, суқараңғы және басқа да аурулардың пайда болатыны белгілі. Организмде В тобына жататын витаминдердің жеткіліксіздігі тез шаршау, жөнді ұйықтай алмау, тітіркену сияқты әр түрлі нерв кеселдерін қоздырады. Орыс дәрігері В.И.Даль ХІХ ғасырдың бірінші жартысында-ақ қымыздың құрқұлақ ауруына қарсы әсері бар екендігін аңғарған. Бұл витаминдердің анықталуынан 80 жыл және бие сүтінен С витаминінің табылуынан 100 жыл бұрын болған.
Қымыздың биологиялық құндылығына, ондағы толық құнды белоктар, липоидтар, жеңіл сіңетін майлар, В тобындағы витаминдер, сүт және көмір қышқылдары, ең бастысы С витаминдерінің көп болуы көп әсер етеді. 1 литр қымызда 200-260 мл С витамині бар. Ал бұл витаминнің дені сау адамға ең аз тәуліктік нормасы 50 мг. Соңғы жылдары совет ғалымдары қымыздан ежелден белгілі А,В,С витаминдерімен қоса В2,В12, РР витаминдерін де тапты.
Қымыз құрамындағы витаминдердің туберкулез ауруын емдеуде айрықша маңызы бар. Туберкулезбен ауырған адамдарда витамин алмасуы бұзылатындығы анықталған. Сондықтан дені сау адамға белгіленген витамин нормасы ауру адамға жеткіліксіз.
Қымыз организмге жан-жақты әсер етеді. Оның ас қорыту органдарының қызметіне, жүрек-қан тамырлары аппаратына, нерв жүйелеріне және басқа да органдарға қолайлы әсері бар. Қымыздың әсерінен күллі организм жаңарады, оның физиологиялық және биохимиялық процестері жанданады немесе зат алмасуы қалпына келеді.
Сиыр немесе бие сүтіне қарағанда қымыздың ас қорыту жолдарындағы бездердің шырын бөлуіне өте күшті әсер ететіндігі қазіргі кезде толық анықталып отыр. Мәселен, тамақтанар алдында, немесе тамақ үстінде аз мөлшерде (50-100мл) ішкен қымыздың өзі, тамақтанғаннан кейінгі 20-30 минуттан соң ішкенге қарағанда, ас қорыту бездерінің шырын бөлуін едәуір күшейтеді. Осыған сүйене отырып, қарын шырынында бос тұз қышқылы жоқ не жеткіліксіз, ауру адамға тамақтанар алдында немесе тамақ үстінде аз мөлшерде (100-200мл) қымыз ішкізу ұсынылады.[8]
Алайда, қымыз қышқылдығы бір қалыпты немесе төмен адамдарға ғана қолайлы әсер етеді, ал қышқылдығы жоғарыларға бергенмен жөнді сіңбейді. Алайда қарын шырынының қышқылдығы жоғары адамдарға қымыз мүлде ем болмйды деген пікір тумауы тиіс. Кейде мұндай адамдарға да қымыз беруге болады.
Қарынның шырын бөлуіне қымыз әсер етумен қатар, оның жиырылып-созылуына, яғни ондағы қорытылған астың дер кезінде шекке түсуіне ықпал етеді.
Мәселен, қарын сөлінің секрет бөлуі мен оның қышқылдылығын күшейту үшін, қымызды тамақ ішердің алдында немесе тамақ ішерден жарты сағат бұрын ішу, ал қарын сөлінің секрет бөлуі мен қышқылдылығын азайту, үшін қымызды тамақтанардан бір жарым –екі сағат бұрын ішу ұсынылады. Қымыз ішудің осындай нормасы мен диэтін бұлжытпай орындаса, мұның өзі қарын сөлінің қышқылдылығын қалпына келтіруге айырықша ықпал етеді. Сондай-ақ қымыз қарын мен ішектің секрет бөлуін қоздырып, сүтке қарағанда, оргаизмге тез сіңетін болғандықтан, белгілі бір дәрежеде қарын сөліндегі жетіспейтін тұз қышқылын да толықтыратындығы толық дәлелденді деуге болады.
Қымыздағы сүт қышқылдары тағам құрамына жататын белоктардың, майлардың, әр түрлі қанттардың жақсы сіңуіне әсер етеді. Ал ондағы көмірқышқылы мен алькоголдың аз мөлшерінің өзі ас қорыту бездеріне әсер етіп, қарын шырынының бөлінуін күшейтеді. Сол себепті қымыз ішкен адамның тәбеті ашылып, шек қарын жолдарының қызметі жақсара түседі. «Тәбет дегеніміз – қарын шырыны» - деп атады орыстың көрнекті физиологы И.П.Павлов. Қазақтың халықтық емінде ежелден бері қымызды іш қаталағанда және өткенде қолданып келді. Қымыздың шамалы ашығаны іш жүргізеді, ал күшті ашығаны іш өтуін тыйады. Минералды сумен емдейтін курорттарда шек қарын ауруларын емдеуге қымыз жақсы сусын, дәрі-дәрмек болып саналады. Мұндай жағдайда құрама емдеу әдісін яғни қымызбен минерал суды бірге ішкен тиімді келеді.
Адамды қымызбен емдегенде, оның жүрек-қан тамырлар жүйесіне едәуір күш түседі. Қымызды іше салысымен адамның тамыр соғуы жиілеп, қан қысымы жоғраылайды. Байқауларға қарағанда қымызбен емдеу мерзімі біткеннен кейін тамыры баяу, бірақ толық соғады, жүрек әдеттегі физикалық физикалық қалыпты ауырлықты жеңіл көтереді. Сонымен қоса, қымызбен емдеу қанның құрамына және қан құрауға да қолайлы әсер етеді, атап айтқанда, ақ және қызыл қан түйіршектерінің мөлшері артады.[9]
Қымыздың нерв жүйесіне жақсы әсер ететін себебі онда алькоголь, сүт қышқылы және көмірқышқыл газы бар. Қымызды ішкеннен кейн алғашқы сәтте аздаған қызу пайда болып, адам ептеп мас болады, сосын (1-2 сағат өткен соң) ол айығып, ұйқы келеді. Қымыздан болған қызудан адамның жүрек айнуы, құсуы т.б. белгілері болмайды. Ал қымыз ішкеннен кейін ұйықтап тұрған адам өзін өте сергек сезінеді, тек кейде бойы дел-сал тартады.
Нерв жүйесі тез қозатын, әрі спиртті ішімдіктерді көтере алмайтын адамдарда, кей жағдайда, қымыз ішкенде мазасы кетіп, ұйқысы қашуы, басы ауруы, басы айналуы, қолайсыз белгілер байқалуы мүмкін. Мұндай белгілер байқалғанда ауру адамға қымыз беруді дереу тоқтату керек.
Адамның бұрын қандай індетке шалдыққанына, операция жасалғанына қарамастан қымызды күрт жүдеп арықтағандарға, қаны азайғандарға және әлсірегенде оргаизмнің жалпы күйін ескере отырып қолдану ұсынылады.
Т
уберкулез (лат. tuberculum – төмпешік), ескіше: құрт
ауру, көксау – адам мен жануарларда болатын созылмалы жұқпалы ауру.
Туберкулездің қоздырғышы – микробактерияны
(“Кох таяқшасын”) неміс
микробиологы Р.Кох (1843 – 1910) ашты (1882). Туберкулез
микобактериялары жіңішке, түзу не сәл иіліп келген таяқшалар,
ұзындығы 1 – 10, ені 0,2 – 0,6 мкм.
Туберкулез ауруы көне заманнан белгілі. Ауру белгілері бұдан 7 мың жылдай бұрын неолит кезеңіндегі адам сүйегін зерттегенде табылған, біздің заманымыздан бұрын 3 – 2-мыңжылдықта египет мумияларынан анықталған. Туберкулездің клиникасы туралы алғашқы деректер 2 ғасырда өмір сүрген каппадокиялық дәрігер Аретейдің (Aretaіos) еңбектерінде кездеседі. Одан кейін Гиппократ, Гален, т.б. ғалымдардың еңбектерінде де Туберкулез ауруы еске алынады. Бірақ олар Туберкулезді жұқпалы ауру қатарына жатқызбаған. Ал Әбу Әли ибн Сина өзінің “Дәрігерлік ғылымның каноны” деген еңбегінде Туберкулезді тұқым қуалайтын аурулар қатарына жатқызған. Туберкулездің жұқпалы ауру екенін бірінші рет италиялық ғалым Дж.Фракасторо (1478 – 1553) дәлелдеді.[10]
Жұқпалы аурудың тарайтын негізгі көзі – науқас адамнан түскен микробтары бар қақырық. Сау адамға ол негізінен Туберкулезбен ауырған адам түкірген қақырықтың ұсақ сұйық тамшылары арқылы не кепкен түйіршіктерін ауамен бірге жұтқанда; сирек жағдайда – Туберкулезбен ауырған үй жануарларының сүтін шикілей ішкенде, етін шала пісіріп жегенде жұғады. Организмге Туберкулез таяқшасының енуі ауруға себепші болғанымен, оның толық дамуы үшін жеткіліксіз. Адамдар Туберкулезбен бұрын науқастанып, организмнің иммунитеті төмендегенде, дұрыс қоректенбегенде (әсіресе мал өнімдерінің белоктары, витаминдер тапшы болғанда), санитарлық-гигиеналық жағдайлар дұрыс сақталмағанда, сондай-ақ аурумен ұзақ уақыт бойы араласқанда ауырады. Туберкулез көбінесе 3 жасқа дейінгі балаларда пайда болады, өйткені оларда ауруға қарсы иммунитет әлі де нашар дамыған, сондай-ақ жасөспірімдерде жыныстық жетілу кезеңінде пайда болады. Туберкулез негізінен тұқым қуаламайды. Туберкулезбен ауыратын адамдардың, әдетте, балалары ауру болып тумайды. Бірақ Туберкулезбен ауыратын ата-ана дер кезінде емделмесе, аурудан сақтану ережелерін дұрыс сақтамаса, дертті баласына жұқтырып, баланың Туберкулезбен ауруы мүмкін.
Туберкулездің ашық және жабық түрлері болады. Ашық түрінде қақырықта Туберкулез таяқшалары болады, сондықтан Туберкулездің мұндай түрімен ауыратын адамдар өте қауіпті деп есептелінеді. Ал жабық түрінде қақырықта Туберкулез таяқшалары болмайды, бірақ дерт асқынатын болса, Туберкулездің мұндай түрімен ауыратын науқастар да ауру жұқтырады. Туберкулез таяқшалары әр түрлі органдарды, көбінесе өкпені зақымдайды. Аурудың біліну сипаты Туберкулездің түріне, науқастың жасына, организмнің жалпы жағдайына байланысты. Аурудың ортақ белгілері: дене қызуының көтерілуі, түнге қарай көп терлеушілік, ұйқының қашуы және тәбеттің нашарлауы. Науқас жүдеп, ашуланшақ келеді, жұмысқа қабілеті төмендейді. Туберкулез таяқшалары түскен жердің тінінде кішкентай төмпешіктер пайда болады. Адам организмі сауыға бастаса мұндай төмпешіктер жойылып кетеді. Кейде бұл төмпешіктердің сырты қатты затпен қоршалып, беріштенеді. Мұны некроз ошағы деп атайды. Адам организмі әлсіреп, некроз ошағына қолайлы жағдай туса, сол жерде каберна (қуыс) пайда болады. Осы қуыста Туберкулез таяқшалары дамып, кеңірдек арқылы өкпенің басқа бөліктерін зақымдайды. Мұндай науқастардың қақырығында микобактериялар мол болып, қақырыққа қан араласуы, тіпті қан кетуі де мүмкін.
Ауруды әр түрлі әдіспен анықтайды. Туберкулезді ертерек анықтау мақсатымен балаларға тері астына дәрі жіберіп, жаппай тексеру жүргізіледі (Манту реакциясы). Халықты жаппай флюорографиялық (рентгенологиялық жолмен) тексерудің маңызы зор.
Туберкулезге қарсы арнайы егу (БЦЖ) жүргізіледі, ол сәби дүниеге келгеннен 3 – 5 күннен кейін іске асырылады. Ауруды емдеудің терапиялық, хирургиялық, т.б. әдістері табылып, күнделікті дәрігерлік жұмыста қолданылатын болды. Санаторийлерде емделу өте пайдалы. Қазақстанда Туберкулезге қарсы жұмысты Туберкулез мәселері ұлттық орталығы үйлестіріп отырады. Әрбір облыс орт-нда арнаулы диспансер, жергілікті жерлерде олардың бөлімшелері жұмыс істейді. Республика Туберкулезге қарсы қажетті дәрі-дәрмекпен, емдеу орындары төсек-орынмен жеткілікті қамтамасыз етілген.
ТУБЕРКУЛЕЗ
- Бұл aғзағa туберкулез бактериялары түсіп дамитын жұқпалы ауру.
- Ең алдымен өкпе залалданады, кейде ми мен оның қабықшалары, омыртқа, бүйрек, лимфа туйіндері, буын, жыныс мүшелері және басқалары залалданады.
- Жұқтыру негізі туберкулезге шалдыққан адам болып табылады.
ТУБЕРКУЛЕз НЕЛІКТЕН КАУІПТІ АУРУ БОЛЫП ТАБЫЛАДЫ.
- Жылсайын 8,8 миллион адам туберкулезбен аурады
- Ем қабылдамайтын әp6ip наукас 10 адамнан 15 адамға дейін ауруын жұктырады
- Туберкулезге шалдыққандардың 75% 20 - 40 жастағы адамдарды кұрайды
- Жылсайын 2 миллион адам қайтыс болады
- Туберкулезді дуниежүзінде әр секундта 1 адам жұктырады
- Жұқтырғандардың тек 5 -10%-ында ғaнa ауру дамуы мумкін
Егер ауру адам жөтеліп түшкірсе, туберкулез қоздырушысы ayaғa түседі. Залалданған ауамен айналадағы адамдар демалатын болса, бактериялар тыныс алу жолдарымен өкпеге түседі. Туберкулезді осылайша жүқтыруға болады.
ТУБЕРКУЛЕЗ БАКТЕРИЯЛАРЫ ҰЗАҚ САКТАЛАДЫ:
- қалыпты жағдайда күннің көзінің болмауы - бірнеше ай;
- жарық тapaлғaн болса - 1-1,5 ай;
- көше шаңында - 10 күн;
- кiтan беттерінде - 3 ай;
- суда - 5 ай;
- сүт тағамдарында - 8 ай.
ТУБЕРКУЛЕЗ БАКТЕРИЯЛАРЫ ӨЛЕТІН ЖАҒДАЙ:
- күн сәулесіне шалдығу - 1,5 сағат;
- ультракүлгін сәулесінің әcepi - 2-3 мин.;
- сүтті қайнатқанда;
- күнсайын бөлмені желдеткенде;
- ылғалды шүберекпен бөлмені сүрткенде.
АДАМ АҒЗАСЫНА ТУБЕРКУЛЕЗ БАКТЕРИЯСЫНЫҢ ТҮСУ БАРЫСЫНДАҒЫ НЕГІЗГІ МӘНДІ БОЛАТЫНЫ:
- Жұқпаның көптігі, мөлшері, адам ағзасына туберкулез бактериялары түcyiнің ұзақтығы.
- Иммунитет туберкулез бактерияларынан қорғануға қaншaлықты дaйын.
Туберкулез бактериялары кез келген мүшеде көбейеді, 6ipaқ. өкпенің жоғарғы бөлігінде жиі кездеседі. 2 - 10 аптада ағзаның иммундық жуйесі көбеюмен микробактериялардын әpi қарай таралуын тоқтатады.
АУРУДЫҢ ДАМУЫНА ӘСЕР ЕТУШІ ФАКТОРЛАР
- Жүргізілетін фактор-иммунитеттің әлсізденуі. Жеткіліксіз тамақтану;
- Қосымша ауыр түрдегі ауру (АҚТҚ, қант диабеті, ойық жара ауруы және т.б.);
- Қатты тоңазу;
- Зиянды әдеттер;
- Созылмалы күйзелу жағдайлар.
ЗИЯНДЫ ӘДЕТТЕР МЕН БАСҚА ДА ЖАҒДАЙЛАР ТУРАЛЫ
Кез келген зиянды әдеттер-темекі шегу, ішімдік iшy, наша шегу, дені cayaғзaғa да әcepi нашар.
Туберкулезге шалдыққандар аурудан айығып кетуі қиындыққа түседі.
ТУБЕРКУЛЕЗДІҢ ДАМУ БАРЫСЫНДА ТӨМЕНДЕГІДЕЙ БЕЛГІЛЕР ПАЙДА БОЛУЫMYMKIH:
- екі аптадан артық уақытқа созылған жөтел,
- әлсіздік,
- дене қызуының көтepiлуi,
- тершендік,
- тәбеттің нашарлауы,
- жүдеу,
- шаршағыштық,
- кеуде тұсының ауыруы.
- қан аралас қақырықтын түсуі,
Ағзаның жаксы қорғану күші барысында туберкулез бактериялары салауатты ұлпалардан жекеленеді, айнала тығыз қабықша дамып, аурудың дамуы токтатылады.
АУРУДЫҢ БЕЛГІЛЕРІН БАЙҚАҒАН ЖАҒДАЙДА НЕ ІСТЕУ КЕРЕК
1. Тексерілу үшін тұғылықты және оқу орны бойынша медицина мекемесіне бару.
2. Бұл қалалық емханалар, ОДА, студенттер үшін - №3 емхана.
3. Уақытында анықталған туберкулез - ойдағыдай айығып кетудің кепілдігі.
ТУБЕРКУЛЕЗДІ ЕМДЕУГЕ БОЛАДЫ
ТУБЕРКУЛЕЗ ТЕГІН ЕМДЕЛЕНЕДІ
ТУБЕРКУЛЕЗДІҢ АЛДЫН АЛУ СПЕЦИФИКАЛЫҚ ЖӘНЕ СПЕЦИ-ФИКАЛЫҚ ЕМЕС TYPЛЕРI
Спецификалық:
- вакцинация және БЦЖ ревакцинациясы
Спецификалық емес:
- салауатты өмір салты
- тиімді тамақтану
- дене шынықтыру белсенділігі
- зиянды әдеттерден бас тарту
Астана қаласы туберкулезге қарсы диспансердің 2011-2012жж. туберкулезге қарсы қызметті жетілдіруі.
Астана қаласы «Туберкулезге қарсы диспансері» МКҚК 2012 жылдың қаңтар айынан бастап:
1. Ересектер және балалар диспансер бөлімшесінің емханалық қызметі қайта құрылымдалды. Туберкулез дертімен ауыратындармен қатынаста болмау мақсатында Астана қаласының барлық емханаларында фтизиопедиатрлар қабылдауы енгізілді;
2. Омыртқа және ірі буындар туберкулезіне, перифериялық лимфа түйіндеріне операция жасап қайтадан қалпына келтіретін остео- хирургиялық бөлімше ашылды. Бөлімше 20 төсекке есептелген.
Остео - хирургиялық бөлімше меңгерушісі медицина ғылымдарының кандидаты, жоғары санатты дәрігер, Н.Ә.Назарбаев атындағы степендиат Дүйсенбаев Әділет Қизатұлы шетелден алған тәжірибесіне сүйене отырып, туберкулезбен зақымданып операция жасалған кез келген жастағы пациенттерді қайта қалпына келтіру мақсатында жоғары технологиялық шұғыл емдеу әдісін енгізді.
Бұл араласудың басты мақсаты тек қана патологиялық сүйек ошағын алып тастау ғана емес, тірек қабілетін, буын қимылын қалпына келтіріп, пациент өмірін сапалы жақсарту. Омыртқа мен ірі буын туберкулезі стадиясы процессіне диагностикалық және декомпрессивті араласудың жаңа әдісі енгізіліп, кеңінен пайдаланылуда. Омыртқаның барлық бөліктеріне, зақымданған омыртқа денесінің алдыңғыбөлігіне инплантант қолданып ауыстыруға қолайлы операция жасау тұрақталды (трансторкальді, жамбастантыс).
Бөлімшеде қосымша омыртқаның арт жағын ілгекпен жүйелеп бекіту әдісі енгізіліп қолданылуда бұл зақымданған омыртқа бөлімін тұрақтандырып,науқастың белсенділігін ерте арттырады.
3. Диспансердің клиникалық зертхнасында туберкулезді микробиологиялық диагностикалаудың заманауи тәсілдері қолданылады:
1) Туберкулезді микробиологиялық диагностикалаудың жылдамдатылған тәсілі және МБТ туберкулезге қарсы препараттарға (ВАКТЕК) сезімталдығын тездетіп анықтайды (микобактерияның детекциясы үшін және оның дәрілік препаратқа сезімталдығын анықтайтын толық автоматтандырылған жүйе ):
- жылдам және нақты нәтиже
- сезгіштігі жоғарыфлуоресцентті технология
- эксплуатациялаудың қарапайымдығы және ыңғайлылығы
- бактериологиялық зерттеу стандартизациясы
- дәріге сезімталдық нәтижесінің автоматты интерпретациясы (ЛЧ)
- 1- және 2- қатардағы препаратқа дәрілік сезімталдықты аықтау мүмкіндігі
- бір уақытта 960 үлгіні зерттеу ( жылына 8000тест )
- жұмыс кезінде персоналдың жоғары дәрежедегі қауіпсіздігі
- компьютерлік мәлімет базасына және зертханалық ақпарат жүйесіне қосылу мүмкіндігі
2
) Туберкулезді молекулярлы - генетикалық диагностикалау
әдісі (Наіn
-
тест). НаіnLіfescenіce тест - жүйесінің
артықшылығы:
- жұмыстың қарапайымдылығы
Реагент жұмысы үшін қажет барлық набор қосылады
- әсіл үмітті
Спецификалық процедура комбинациясы амплификация және гибридизациясы жұмыс кепілділігіне үміт арттырады
- нәтиже шапшаң алынады 1-2күн ішінде
- сезімталдық және тек өзіне тәндік жоғары екенін тәуелсіз мамандар бүкіл әлемде дәлелдеген.
Туберкулез - адам ағзасына туберкулез таяқшаларының енуінен пайда болатын жұқпалы ауру. Сондай-ақ туберкулез ге ми, ми қабықшасы, сүйек, буын, лимфа бездері, бүйрек , жыныс ағзалары, көз, ішек және басқа ағзалармен мүшелер шалдығады. Туберкулез бен ауырғандардың 75% 20-40жас аралығындағы еңбекке жарамды және балалы болатын жастағылар. Бүгінде туберкулез ге шалдыққандардың басым көпшілігін аурудан толық айықтыруға болатыны дәлелденген. Егер ауруды анықтау, емдеу жұмыстары дұрыс ұйымдастырылып, үзіліссіз жүргізілсе бұл ауру толық жазылады.
Туберкулез таяқшалары ауа арқылы тарап, оны жұқтырып алған адамдардың өкпесінде өсіп жетіліп, көбейеді. Алғашқы өкпе тіні қабынып, ыдырайды да орында қуыстар пайда болады. Осында қуыстарда сақталған миллиондаған таяқшалары ауру адам сөйлегенде, түшкіргенде ортаға шашырап тарайды.
Туберкулез таяқшасы ауада ұзақ
уақыт нашар желденетін орында болса, сол жердің ауасына көп тарап,
басқа адамдардың тыныс ағзасына түседі.
Туберкулез кез келген адамға жұғуы мүмкін, әсіресе балалар мен егде
жастағылар үшін қауіпті.
Туберкулез ауруы қалай басталады?
Бүгінде туберкулезбен ауырғандардың 50% кешігіп анықталуда, ал олардың 10% ауыруын өте асқындырып алғандар, арасында ауруы жазылмайтын түрге өтіп кеткендер кездеседі.
Өкпе тіні – туберкулез
таяқшаларының өсіп жетілуіне ең қолайлы орта. Алғашқыда өкпе
қабынып, онда туберкулез бұдырлары пайда болып, іріңдейді де, ірің
қақырық түрінде кеңірдек, қолқа арқылы сыртқа бөлініп шығады
Туберкулез -баяу дамитын, ұзаққа созылатын ауру. Бірақ оның жылдам
басталатын жедел түріде бар. Туберкулезді дер кезінде анықтап,
дұрыс емдесе, ауруды бастапқы кезде тоқтатуға, өкпені және басқа
ағзаларды үлкен көлемде қабынып бүлінуден сақтап қалуға
болады.
Туберкулез ауруының
белгілері.Туберкулез ауруы басталғанда мынадай белгілер білінеді
жөтел, әлсіздік, дене қызуының көтерілуі, кеуде тұстың ауруы,
тәбеттің, салмақтың, жұмысқа деген қабілетінің төмендеуі. Бұл
белгілердің бәрі үдеп күшейе түссе, науқастың қан түкіруі
мүмкін.
Жөтел туберкулезге тән ең алғашқы белгінің бірі Егер жөтел аптадан
артыққа созылса, міндетті түрде дәрігерге қаралып, туберкулез
ауруына тексерілуі керек. Туберкулезді тез арада қалай тез
анықтауға болады. Туберкулезді анықтаудың ең тиімді, сенімді
тәсілдері: қақырықтан туберкулез таяқшасын микроскоп арқылы
анықтау, рентген, яғни рентгенография, флюрографиялық әдіс,
балалармен жасөспірімдерге туберкулин сынағын, яғни Манту сынағын
қою, Туберкулез дер кезінде анықталса ем нәтижелі
болады
Қымызбен емдеу, қымыздың емдік қасиеті оның құрамындағы химиялық заттарға байланысты.
А
шу процесінде пайда болған сүт қышқылының және әр түрлі ас
қорыту ферменттерінің, т.б.
пәрменді катализаторлардың
әсерінен құрамдық заттардың
сіңімді түрлері пайда болады. Мысалы, сүт
қанты глюкоза мен галактозаға, сүт
белогі әр түрлі ұсақ молек.
қосындыларға, полипептидтерге (альбумоза, пептон) ыдырайды. Сөйтіп, олардың
зат алмасу процестеріне қатысу реакциясы артады. Сонымен қатар, бұл
процестердің нәтижесінде қымыздың дәмін, иісін, т.б. тағамдық
қасиеттерін жақсартатын және тағамға тәбет тарттыратын заттар пайда
болады. Құрамы осыншама бай және жоғары дәрежеде болғанымен
қымыздың энергетикалық қуаттыдығы 100 г-да 40 ккал. Қымыз ежелден
ас қорыту жүйесінің ауруларын, анемия, құрқұлақ, мешел, неврастения
және туберкулезді (құрт ауруларын) емдеуге қолданылып келеді.
Сондай-ақ, қымыз ішектегі іріп-шіру процестерін тежеуге әсер етеді.
Ондағы шіріткіш микробтарға, ішек
таяқшаларына, стафилококк
микробына антибиотиктік
әсері бары дәлелденді. Сол
сияқты, туберкулез таяқшаларының өсіп-өнуіне кедергі жасайтыны
анықталды.Қымызбен емдеу ережесі: алғашқы 3 — 4 күн бойы аз-аздап,
күніне 0,5 л-дей ғана ішіп, кейін 1 л, одан да көбірек ішуге
болады. Сөйтіп, 7 — 8 күнде аурудың асқа тәбеті артып, ас — қорытуы
түзеле бастайды. Қымызды тамаққа дейін 1 — 1,5 сағ бұрын ішу керек.
Жалпы туберкулездің қандай түрін болмасын қымызбен емдеуге болады.
Бірақ оның қайталап өршіп, қозып тұрған кезінде, яғни қан түкіріп,
дене ыстығы көтеріліп кеткен жағдайда Қымызбен емдеуді уақытша
тоқтата тұру керек. Гастрит ауруының қышқылдығы жоғары түріне
ұшырағанда қымыз ішуге болмайды. Қазақстанда қымызбен емдейтін
алғашқы ашылған санаторий — “Бурабай”. Аурудың даму барысына қарай
Қымызбен емдеу әдістерін Қазақ тағамтану академиясы
зерттейді.
Қ
азақтың ұлттық
сусындары – қымыз жайлы, олардың адам денсаулығына келтірер емдік
қасиеттері туралы ой-пікірлер мерзімді басылымдарда аз айтылып, кем
жазылып жүрген жоқ. Өкінішке қарай, бұл мәселе қазіргі таңда толық
шешілді деп ауыз толтырып айта алмаймыз. Тіпті, қымыз бен шұбаттың
сонау ерте заманнан-ақ қазақ халқының ұлттық сусын-тамағы болғанын
әлем жұртшылығына осы күнге дейін мойындата алмай жүргеніміз
көңілге қаяу түсіреді. Ол, сірә, мына біздің кеңдігімізден,
жайбасарлығымыздан болар. Әйтпесе, қазақтың ұлттық тағамы –
жылқының жал-жаясын, қазы-қартасын француздық даяшылар мен
аспазшылар «біздің ұлттық асымыз» деп кафе мен асханаларында
туристерге ұсынбас еді
ғой...
Қазақстандық ғалымдар қымыз бен шұбаттың емдік қасиеті бар екенін және бұл сусындардың өкпе ауруларына, әсіресе, туберкулезге қарсы қолданылатыны ерте кезден-ақ белгілі болғанын, оның құрамында А, В1, В12, Д, Е, С витаминдері бар қымыз адамның бойындағы туберкулез, гастрит, холецистит, энтерит пен энтероколиттің асқынған түрлеріне, жүрек қантамырлары, жүйке және асқорыту жүйелеріне, қан айналымы, тоқішек пен асқазандағы жараға ем екенін анықтағаны белгілі. Бұл бағытта академик Төрегелді Шарманов басқарып отырған Алматыдағы тағамтану ғылыми-зерттеу институтының еңбегі орасан екенін атап өткен жөн.
Ө
кінішке
орай, бүгінде қымыз бен шұбатқа емдеу-сауықтыру шараларымен
айналысатын шетелдік ірі компаниялар қызығушылық танытып
отырғанымен, экспорттауда арнайы күтімді қажет ететін ұлттық өнім,
тасымалдау барысында елеулі қиындықтар туғызып, жөнді шешімін
таппай отырғаны аян. Сондықтан, еліміздің ғалымдары қымыз бен
шұбатты экспорттауда әлемде кеңінен қолданылатын сублимациялық
тәсіл арқылы, яғни ұнтақ (порошок), немесе таблетка ретінде
тасымалдауды ұсынды. Егер бұл ой үкімет тарапынан қолдау тауып,
өнімді сублимациялық тәсілмен экспорттық тауарға айналдыра алсақ,
өте қуанышты жағдай. Осылайша халықаралық нарықта сұранысты
арттыруға септігін тигізері даусыз. Расында, қымыз бен шұбатты шет
елге шығарып, одан халқымыз пайда тауып жатса, қандай
жақсы?!
«Ақылдан жақсы дос бар ма?
Ашудан жаман қас бар ма?
Жиырма бестен артық жас бар ма?
Қымыздан дәмді ас бар ма?» – деп қазақ тауып айтқан. Ал, жүзге келген жыр атасы Жамбыл : «Үйірілген сары алтындай сары қымыз. Ауруға – ем, сауға – қуат, дәрі қымыз» деп ұлттық сусынымызды қадірлеп жырға қосқан. Ақтамберді жырау болса: «Биенің сүті сары бал – қымыздан асқан дәм бар ма?!»,– деп тамсанған.
Қымыз бен шұбаттың емдік қасиетін фармакологиялық химиялық дәрі-дәрмектермен, минералды сулармен және де басқа қышқыл сүттермен еш салыстыруға келмейді. Себебі, олар динамикалық, биологиялық препараттар қатарына жатады. Қымыз бен шұбат асқазан мен ұйқы безінің секрециясына, бауырдан өт бөлінуіне ықпал етеді, қызметін жақсартады. Соның әсерінен ас қорыту, оларды сіңіру процестері реттелінеді. Асқазанның ойық жарасына, гастритке, бауыр және өт жолдары ауруларына, панкреатит, энтерит, колит, қаны аздық ауруларына бие сүтінің емдік қасиеті ерекше екенін баса айтуымыз керек.
Қымыз құрамында С витамині мол болғандықтан өкпе ауруларына, әсіресе туберкулез ауруына таптырмайтын ем. Қант диабеті, атеросклероз және жүрек ауруларына қымыздың пайдасы мол екені көптеген ғалымдардың еңбектерінен белгілі.
Сол қымыз бен шұбаттың адам денсаулығына қаншалықты пайдалы екенін біз осы күнге дейін жалпы жұртқа жеткізе алмай, ішкі нарыққа енгізе алмай жүргеніміз өкінішті. Тіпті, Алматы, Астана сияқты ірі қалаларымызда қымыз бен шұбат ұсынатын, ұлттық ыстық тағамдар даярлайтын кафе мен мейрамхана жоқтың қасы (өз басым оларды кездестірмедім). Қайда бармаңыз «кәріс тағамдары», «дүнген финчозасы», «ұйғыр лағманы», «қытай асханасы», «өзбек палауы» деген сан түрлі жарнамалық жазулар алдыңнан шығады. Ал, енді қазақтың ұлттық ет тамағын келімсектер бір кезде келеке етіп, тамақты қасықсыз ішетінін құбыжық ретінде көрсетпек болып, құлаққа жағымсыз «бесбармақ» деп ат қойып, сол аты осы күнге дейін сақталып келе жатқаны, былай қарасаңыз, біздің ұлтқа деген барып тұрған қиянат емес пе?!
Ұлттық тағамдар мен сусындар жайы оңтүстік астана Алматыда қалай? Қуана алмаймыз. Осыдан 5-6 жыл бұрын Таразда облыстың сол кездегі басшысы ұлтжанды Серік Үмбетовтің қолдауымен қаланың әр тұсынан киіз үйлерде біраз қымызханалар ашылып, қала тұрғындарына бірер жыл қызмет атқарғаны есімізде. Содан көп ұзамай «даладан қалаға келген киіз үйлер» саны қожырап, бірте-бірте олардың барлығы «санитарлық нормаларға сәйкес емес» деген, басқа да әртүрлі сылтаумен жабылып тынғаны белгілі. Сөйтіп, несін жасырамыз, қалалықтар емдік, шипалы сусындардан алыстатылды. Олардың орнына көптеген сыраханалар мен спирттік ішімдіктің мол түрі бар кафелер, тойханалар етек жайды. Алматыда да осы көрініс көз алдыңа келе қалады. Ойлаңызшы, сырттан келген қонақтарды қымызханаларымызға ертіп барып, сусын орнына қымыз, шұбат беріп, қазақтың ұлттық тағамдарымен күтсек несі жаман?
Бір кездері қазақтың ұлттық тамақтары дайындалады деген қала орталығындағы «Жерұйық» мейрамханасының өзінде бұл күндері қымыз бен шұбат бола бермейді. Ал, орталық базарда әркім сатып тұрған қымыз бен шұбаттың сапасына кепілдік жоқ.
Қала түгілі, ауылдық жерлерде де қымыз бен шұбат күрделі мәселе . Әлі есімде, өткен жүзжылдықтың 70-жылдары ауылға жол түсе қалса, үйір-үйір жылқыны, көгенде байлаулы құлындарды көріп «құлын байлап, бие сауған берекелі үй екен, соғып қымыз ішелік» деп атбасын бұрып, сәлем беріп, әңгіме-дүкен құра отырып, сусын қандыратынбыз. Ал, қазір сол бір ауылдағы ұлттық жақсы салт көмескіленіп, жылқы ұстап отырса да бие сауып, қымыз ішпейтін халге жеткені өкінішті.
Таяуда Қаратау жотасындағы шұрайлы Көкжон өңіріндегі туған ауылым Үшбасқа барып қайттым. Қасымда Алматыдан келген біраз қонақтар болатын. Олар бұл өңірдің табиғи сұлулығына сүйсінді. Қонақтарға ұсынған қымыз Жаңатастағы базардан алдырылған болып шықты. Бүкіл ауыл бойынша бие байлап, қымыз сапырып отырған бірде-бір үй болмағаны бізді таңқалдырды.
– Ертеректе қымыз әрбір үйде болатын. Соңғы жылдары қолдарында біраз жылқы болса да, бие байлап, қымыз сапырып отырған ешкім жоқ. Өйткені, бұрындары бие сауып, қымыз пісетін апалар қартайды, бойларынан қуат,
қолдарынан күш кетті. Қазіргі жас келіндер биеге жуымайды. Бие сауып, қымыз піскенді артық жұмыс санайды. Оның барлығы – қазіргі жастардың немқұрайдылығы, еріншектігі, жалқаулығы, тұрмысқа ебедейсіздігінен болар, – дейді ауыл үлкендері.
Өткен жылы Алматы облысының Ақши ауылында өткен семинар-кеңесте төрт түліктің төресі – түйе өсірудің түйткілдері қаралып, аталған саланы дамыту жолдары кеңінен сөз болды. Сонда 1990 жылдары құрылған «Дәулет-Бекет» ЖШС қызметкерлері бұл күндері асыл тұқымды түйе өсіріп, одан алынған өнімдерді өңдеп, халықаралық «Халал» сертификатымен әдемі безендірілген арнайы құтылардағы шұбатты тұтынушыларға ұсынуда. Қазір шаруашылық бір маусымда 317600 литр шұбат өндіруде екен. Ол өнімдер Алматы, Талдықорған қалаларының тұрғындары арасында әрдайым сұранысқа ие. Ал, басқа облыстарда бұл бағытта қандай іс атқаруда? Табиғаты мен жері түйе, жылқы малын өсіруге ыңғайлы қала маңындағы аудандардың шаруашылықтары неге қымыз бен шұбат өндіруге құнтсыз? Мүмкін, Үкімет алдына қымыз бен шұбат өндірісін кластерлік жүйеге енгізуді мәселе ретінде қойып (мәселен, сиыр сүті өндірісі кластерлік жүйеге жатады), жылқы мен түйе өсіруді қолға алған шаруашылықтарға мемлекет тарапынан бірер жыл дотация (көмек) берген жөн болар? Халқымыздың ұлттық сусыны – шұбат пен қымыздың емдік қасиетін айтпағанның өзінде олардың салауатты өмір салтын қалыптастырудағы орны ерекше емес пе?
Қымыз бен шұбаттың, бие сүті мен саумалдың емдік қасиеттері жайлы мәліметтерді қарапайым ел біле бермейді. Сондықтан, көпшілікке арналған әртүрлі ойын-сауық, мәдени іс-шараларында қазақтың ұлттық ойындарымен бірге қымыз бен шұбат сусындарын дәріптейтін шараларды неге дәстүрге енгізбеске? (Осыдан бірер жыл бұрын Алматы облысы, Райымбек ауданында қымызмұрындық берілгені, Түлкібас өңірінде «Саба» фестивалі өткені белгілі). Тіпті, елімізде тамақ мәселесімен ондаған жылдар бойы айналысып келе жатқан тағамтану ғылыми институты мұрындық болып ұлттық сусындар мәселесін елімізде қабылдануға дайындалып жатқан «Салауатты Қазақстан» мемлекеттік бағдарламасына енгізіп, арагідік тиісті мамандар арасында конференциялар, семинарлар өткізіп тұрса, артық болмас еді-ау?!
Бұл бағытта көпшілік болып ойласар мәселе баршылық.
27
ІІІ. Қорытынды
Қазақстанда туберкулезден көз жұматындар саны азая бастады. Ресми мәліметтерге сүйенсек, Қазақстан ТМД мен Еуропа аймағындағы туберкулез кең таралған елдер қатарына жатады. Статистика бойынша, Қазақстанда жылына 25 мың адам туберкулезге шалдығып отыратын көрінеді.
Бұл санды Қазақстанның туберкулез мәселелері жөніндегі ұлттық орталықтың директоры Ғалымжан Рақышев та қуаттайды:
- Ия жыл сайын сол маңайда болып отырады.
Тағы бір мәлімет, Қазақстанда
10 мың адамға шаққанда 153 адам осы ауруға шалдыққан. Дегенмен
мұндай сандар қазақстандық дәрігерлерді аса қобалжыта қоймайды.
Олардың айтуынша, бұл көрсеткіш елдегі туберкулезбен ауыратындардың
өскендігін емес, аурудың Қазақстандағы бұрын белгісіз болып келген
нақты ауқымын көрсетеді.
Ал оны анықтауға, мамандардың айтуынша, дүниежүзілік денсаулық
сақтау ұйымының туберкулезге қарсы DOTS атты стратегиясы
көмектескен. Қазақстан бұл стратегия аясында 1998 жылдан бері жұмыс
істеп келеді және дәрігерлердің айтуынша, бұл уақыт аралығында
туберкулезбен ауыратындардың саны 41,6 пайызға кеміген
көрінеді.
Туберкулезді бақылау және алдын-алу жөніндегі орталықтың Орталық
Азиядағы аймақтық кеңсесінің жетекшісі Михаил Фаворов DOTS
стратегиясы Қазақстанда тұратын ондаған мың адамның өміріне араша
болды дейді:
- Біздің есебіміз бойынша, DOTS бағдарламасы Қазақстанда жүзеге аспаған жағдайда, Қазақстан бүгінге дейін 20 мыңға жуық азаматынан айырылып қалар еді. Қазақстанның 15 миллион тұрғынына шаққанда аталған 20 мың адам елдің 1 пайызынан артығын құрайды. Бағдарламаның тигізген ең басты пайдасы да осы деп білемін.
Туберкулезбен ауыратындардың саны жөнінен Қазақстан ТМД елдерінің арасында алдыңғы орында тұруының себебін ауруды бақылау және алдын-алу жөніндегі орталықтың Орталық Азиядағы аймақтық кеңсесінің жетекшісі Михаил Фаворов, ТМД елдерінің көпшілігінде DOTS стартегиясының қолға алынбағандығымен түсіндіреді.
Михаил Фаворовтың айтуынша,
Ресей немесе Тәжікстанда Қазақстандағыдай туберкулез ауруы туралы
толыққанды ақпарат жоқ.
- Қазір Қазақстанда туберкулезден өлгендердің саны кемісе, 4-5 жыл
өткен соң туберкулезбен ауыратындардың саны да азаяды. Өйткені,
DOTS стратегиясының аясында алдағы уақытта, індеттің тарау
ошақтарының алды алынып отыратын
болады.
Созақ ауданы әкімдігі білім бөлімінің
Т.Әлімқұлов атындағы №14 мектеп
интернат-лицейінің 8х/б-сынып оқушысы Нұрмаханбет Әсия «Қымыздың туберкулезге емі»
тақырыбындағы ғылыми жобасының
жетекшісі Кәрібекова Гүлжан Серікбайқызы.
Пікір
Нұрмханбет Әсия Әбдіманапқызы өзінің ғылыми жобасында көп ізденгендігі байқалады.Алынған тақырыбы бойынша алға қойған мақсатына жеткен.Тақырыбы бойынша қымыздың туберкулез ауруының еміне байланысты тың деректер келтірген.Оқушының шығармашылыққа төселгендігі анықталды. Ғылымға деген ынтасы көрініс тапқан.Мектепшілік ғылыми жобалар жарысында жақсы бағаланып, аудандық ғылыми жобалар жарысында ұсынылды.
Ғылыми жетекші: Биология пәнінің мұғалімі
Кәрібекова Гүлжан Серікбайқызы
1.М.Сисекенов «өкпе аурулары»
Алматы- 1970. 58-76 бет [1]
2.Ә.Хасенов,З.Сейітов, Н Дүйсенбаев «Қымыз және шұбат» Алматы-1971. 52-66 бет [2]
3.Е.Шекенов,Р.Қазыханов «Зоотехния негіздері»
Астана -2007. 302-327 бет [3]
4.Б.Асылбеков «Қымыз шипалы сусын»
Алматы «Қайнар» 1986. 69-89бет [4]
5.К.А.Асқамбаев «Баланың өкпе қабынуы»
Алматы-1979. 4-14 бет [5]
6.А.Тірлікбаев.З.Рыспеков «Тубуркулез туралы не білу керек»
Алматы -1982. 12-18 бет [6]
7.Қалдыбек Сәбенов «Төрт түлік»
Алматы «Қайнар» 2002. 102-108бет [7]
8. Қазақ энциклопедиясы, 8 том [8]
9. Қазақ тілі терминдер сөздігі, 1 том [9]
10. Потологиялық анатомия терминрерінің орысша-латынша-
Қазақша түсініктеме сөздігі [10]
29
шағым қалдыра аласыз













